近日,同济大学附属同济医院援滇医疗专家、脊柱外科主治医生徐委,在当地为一位颈脊髓损伤患者开展颈前路减压植骨融合零切迹内固定手术,成功挽救了患者的神经功能,术后患者感觉运动功能获得了显著恢复。
此次手术是云南省麻栗坡县人民医院完成的首例颈脊髓损伤救治手术,是我院医疗专家成功开展首例颈椎退变手术后的又一次突破,做到了从“慢”到“急”的跨越,实现了颈椎退行性疾病到创伤性疾病的全覆盖,推动了当地医疗技术进步。
52岁的老张某天和朋友小酌后,回家半路不慎摔倒,颜面着地,瞬间感觉上肢犹如火烧,又痛又麻,失去了力气,艰难的爬起来想赶回家中,谁料双下肢如同失去了指挥,踉踉跄跄,没走几步就又要摔跤,万般无奈只好求助路人,路人通知家属叫来车子将患者送进了当地医院。患者额面部损伤,头皮裂伤,加之酒意渐浓,描述不清,急诊担心患者潜在的颅脑损伤,将患者收治外一科观察。
患者第二天醒酒后诉症状未见好转,外一科医生立即发起了紧急会诊。我院援滇医疗专家医师徐委参与了会诊,查体发现患者额面部伤口,颈椎有压痛,双上肢痛觉过敏,双手肿胀明显,握力仅有1级,双下肢行走不稳,患者上肢已几近瘫痪,生活完全无法自理。经过症状、体征的全面检查,徐医生考虑患者存在颈椎过伸伤伴颈脊髓损伤可能,建议立即完善颈椎核磁共振(MRI)检查。


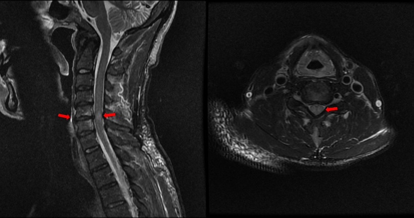
检查结果印证了徐医生的判断,患者颈5/6椎间盘水平脊髓已经出现了信号异常,表明已经存在颈脊髓损伤。结合患者的病史、症状、体征及影像学检查,考虑患者为颈椎过伸伤伴颈脊髓损伤,AIS B级,依据同济医院脊柱外科学科带头人程黎明教授撰写的《过伸性颈脊髓损伤诊疗临床循证指南》,该患者伴有椎间盘韧带复合体(Disco-Ligamentous Complex, DLC)损伤,属于程氏分型C3型,亟需尽早手术解除压迫,挽救受损的神经。
时间就是神经功能(Time is spine)。对于颈椎过伸伤伴颈脊髓损伤的患者而言,尽早手术可以挽救更多的神经,可以有效地减少脊髓损伤相关并发症和后遗症,从而获得更好的恢复。在与患者及家属充分沟通后,患者接受手术治疗。
麻栗坡县人民医院立即启动危重症患者治疗的紧急预案,一方面立即从昆明调配相关手术器械,另一方面,徐委医生在县医院外二科冯再友主任及刘丽仙护士长的陪同下,邀请麻醉科、手术室、神经外科、重症监护室(ICU)、输血科、影像科等开展了病例讨论,制定了颈脊髓损伤的救治方案及各环节的细节,重点讨论了术中、术后潜在风险及相关应急预案,最大限度降低手术风险。讨论完毕后,徐医生将患者病情及讨论意见向我院脊柱外科带头人程黎明教授进行了汇报,在程黎明教授的指导下,进一步优化了手术及康复方案。
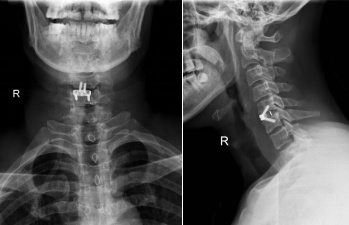
经过积极周密的术前准备,在麻醉科、护理部等的密切配合下,在ICU、输血科等的支持下,徐医生与冯主任联合为患者施行了“颈前路减压植骨融合零切迹内固定术”。由于患者受伤后,软组织肿胀明显,解剖层次不清晰,徐医生克服重重困难,顺利为患者开展手术,术中减压彻底,使用零切迹内固定,避免了传统钢板对食管等压迫造成的异物感。手术切口2cm,术中出不足20ml,历时1.5小时完成手术,真正做到了“微创化手术”。术后患者痛觉过敏及行走不稳明显改善。


术后5天,在康复指导下,患者可自行下地行走去洗手间,双上肢肌力恢复至4级,已能自己使用餐具吃饭,实现生活完全自理。患者及家属对手术效果非常满意,顺利出院。
同济医院脊柱外科对颈椎过伸伤颈脊髓损伤有着深入研究,学科带头人程黎明教授先后在中华创伤杂志发表了《过伸性颈脊髓损伤影像学分型及其临床指导价值》、《过伸性颈脊髓损伤诊疗临床循证指南》等论著,详细阐述了颈椎过伸伤颈脊髓损伤的诊疗意见。徐委医生师承程黎明教授,作为我院第十三批援滇医疗专家,在颈椎过伸伤伴颈脊髓损伤患者的救治过程中,将我院脊柱外科“微创化手术、全过程康复、精细化护理”先进理念引入当地临床工作,实现“外科-康复一体化”的诊疗布局,做到了从“慢”到“急”的跨越,实现了颈椎退行性疾病到创伤性疾病的全覆盖,是继成功开展首例颈椎退变手术后的又一次突破,扩大了该院骨科诊疗服务范围,推动麻栗坡县人民医院外科诊疗水平的发展,为当地患者带来了健康福音。
\ 专 家 名 片 /

徐委
骨科脊柱外科主治医师
医学博士
同济大学讲师,上海市康复医学会脊柱脊髓专业委员会脊柱微创学组青年委员。主持上海市卫健委临床专项面上项目、青年项目、同济大学优秀培育项目、同济医院优秀人才计划“甘泉新星”等多项课题及人才项目。以第一作者发表SCI、中华及核心论文十余篇。获得上海市科技进步奖一等奖、上海市优秀发明选拔赛金奖、上海市星光计划一等奖、2020年度全国椎体成形病例大赛冠军等奖励。目前受上海市卫健委及上海市同济医院委派,进驻云南省文山苗族与壮族自治州麻栗坡县人民医院开展医疗对口支援工作。
图文 | 第十三批援滇驻麻栗坡医疗队
编辑 | 赵思思 王北墨
校审 | 谢壮丽