5岁的承承一直是个乐观开朗的男孩,可最近这一个多月却把承承的妈妈愁坏了,因为承承一直反复发热,跑了很多家医院,做了无数次的检查,反复发热却未有丝毫好转,原因一直无法查明。
一种莫名的恐惧深深包围了承承的妈妈,当地医院的医生推荐最好去专科医院儿童风湿免疫科看一看。抱着最后的希望,承承的妈妈带着他来了新华医院儿肾脏风湿免疫科就诊进一步查找发热的原因。

儿肾脏风湿免疫科医生详细的询问承承的病史,除了有反复低热之外,没有皮疹、关节痛、口腔溃疡、反复腹痛、腹泻等其他阳性临床表现,医生建议住院详细检查查找发热原因。一听到还要做检查、抽血,承承妈妈有些担忧的说“我们在外院已经抽了好多血,我怕孩子身体吃不消”。
儿肾脏风湿免疫科朱医生和承承妈妈详细解释做这些检查的必要性,因为承承反复发热时间已经很长,除了感染性的原因外,还要考虑自身免疫相关疾病、恶性肿瘤等疾病,有些疾病早期可能一次检查不能完全明确诊断,有时候需要等待时间窗,有些检查是一定要做的,才能明确孩子的诊断、早点治疗。
很快承承的检查结果相继出来了,骨髓穿刺排除血液系统恶性肿瘤及骨髓感染,这让承承妈妈松了一口气,但是承承化验指标相继显示血沉增快、抗磷脂抗体滴度明显增高。
Tips: 磷脂是细胞膜、许多凝血因子、神经元髓鞘以及心肌磷脂的主要成份,抗磷脂抗体是一种自身免疫性抗体,主要作用于血管内皮细胞、血小板和神经元中的磷脂成份并与之发生反应, 从而改变细胞结构,影响细胞功能,导致包括偏头痛、血小板减少、复发性深静脉血栓形成、多发性脑梗死和脱髓鞘病等一系列临床综合征。
儿肾脏风湿免疫科郭桂梅主任判断,承承有反复发热、血沉增快、抗磷脂抗体滴度异常,需要进一步排查血管炎、颅内脱髓鞘病变等可能,在与家长沟通中医生还发现一个都被忽略的现象:承承自从生病后不像以前那么爱说话了,不怎么爱和小朋友玩耍,妈妈一直以为是因为孩子身体不舒服才这样。那承承会不会是颅脑本身的问题导致的性格变化呢?
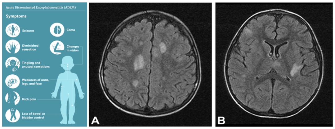
医生又对承承进行了更深入的神经系统查体,除了跟腱反射略亢进外并没有显著异常,然而这时头颅MR显示承承颅内多发片状T2高信号影,真相似乎就在眼前了。
儿童神经内科团队会诊后又给承承进行了脑脊液检查,结果显示MOG(髓鞘少突胶质细胞糖蛋白)抗体滴度升高,至此承承反复发热的病因终于浮出水面:急性播散性脑脊髓炎(ADEM)。

目前,承承经过大剂量激素及丙种球蛋白治疗后,体温恢复了正常,承承和妈妈又露出了久违的笑容。
7岁的左左和承承一样也反复发热一个多月,在外院多种抗生素治疗后体温及炎症指标一直不能好转,排除恶性肿瘤后考虑存在全身性炎症反应加用了激素治疗,左左的体温及炎症指标恢复了正常,可是出院没多久左左又开始反复发热,同时炎症指标也明显升高,妈妈带着左左来到新华医院儿肾脏风湿免疫科就诊。
医生初步询问了左左的病史,建议住院进行系统评估。入院后详细询问病史发现左左在病程中出现了反复腹泻、腹痛的症状,伴有钙卫蛋白的增高,多种抗生素治疗无效且激素治疗后病情明显好转,不排除炎症性肠病可能,随即儿消化营养科团队会诊完善胃肠镜发现患儿的大肠、小肠呈鹅卵石样改变,考虑克罗恩病,至此左左反复发热的原因也找到了。

儿童发热原因很多,包括各种病毒、细菌等感染、恶性肿瘤、自身免疫性疾病、药物性因素等,一旦出现治疗效果欠佳、反复发热持续时间长等需要进一步考虑非感性性因素所致发热。因此长时间反复发热需要风湿免疫科在内的各亚专业多学科团队合作,为患儿的健康保驾护航。
专家特别提醒,当儿童反复发热病因不明时,家长需要关注患儿发热的热峰、持续的时间、发热的频率,是否对退热药有效果,发热时是否有伴随症状如皮疹、结膜充血、关节肿痛、反复腹泻、腹痛、头痛、精神状态改变、乏力等,有无旅游史、动物接触或者生冷食物食用史等,有助于帮助医生判断患儿的病情。
撰稿:儿肾脏风湿免疫科 倪佳佳
审校:儿肾脏风湿免疫科 郭桂梅
儿肾脏风湿免疫科介绍
新华医院儿肾脏风湿免疫科不但为慢性肾脏病患儿提供合理的治疗方案及并发症的管理,且为终末期肾病患儿选择合适的透析方案,同时还可以联合成人血液净化部为患儿提供全生命周期管理,保证患儿安全高效的透析,延长透析时长,提高患儿的期望寿命和生存质量。
专科特色:血尿蛋白尿表现的慢性肾脏病全生命周期管理、CAKUT及复杂泌尿道感染的诊治、过敏性紫癜、系统性红斑狼疮及关节炎的个体化治疗,先天性遗传罕见肾脏病、疑难重症免疫相关疾病等。
门诊预约:
请点击链接☞儿肾脏风湿免疫科门诊