如果想要顺利怀孕,功能完好的三大件:即“子宫、卵巢、输卵管”。
随着生活和精神压力的增大,很多育龄期妇女孕育的道路不能一帆风顺,不孕的比例大幅度增加。
新华医院生殖医学中心出招了,用超声技术“黑科技”,监测它们的功能,帮助大家更好地了解自己的身体状态,把握最佳的生育时机。

场景一:卵巢分泌激素紊乱,种子卵泡不能顺利萌芽
卵巢就像女性体内的一座小花园,在小的时候就已经成形,里面藏着许许多多个“种子”,小小的卵巢就成了原始卵泡的安居之地。从女孩子的月经初潮起,这些卵泡一批批的开始发育,每个月经周期都会有20多个卵泡经过“优胜劣汰”,最后只有一个卵泡发育成熟,而且个头最大,它作为“优势卵泡”脱颖而出,有幸获得与卵巢外的精子结合的优先权,其余的卵泡则不能正常发育而闭锁,而所有的这一切,都在卵巢悄无声息的进行。
卵巢在成熟后会分泌雌激素和孕激素,相当于定期给卵泡施肥,保证卵泡更好的生长。如若出现激素分泌紊乱,给卵泡提供营养的卵巢便可能出现营养流失的情况,作为种子的卵泡也就不能顺利长大萌芽。换而言就是“不能排卵”。
若是卵巢里营养供应失衡,种子虽然也能发芽,但发芽的种子作为坏株,排出的泡泡质量也不过关。
黑科技:三维超声全方位监测
在检查女性卵巢功能时,往往一方面要做卵巢的检查,另一方面要做卵泡的检查。如何使用超声检查卵巢生殖功能呢?
1.三维超声:判断卵巢大小,判断卵巢整体活力情况;
2.三维超声:判断窦卵泡的数量,从而判断卵巢储备功能(窦卵泡过少,是否存在卵巢早衰的情况,卵泡过多,是否有多囊卵巢综合征);
3.三维超声:监测卵泡的发育情况,包括卵泡壳血流参数分析,卵泡张力分析,以此判断卵泡是否为优势卵泡。

三维超声图例:可见卵巢内卵泡数量只有两个,可判断卵巢可能减退
场景二:输卵管有问题,精子和卵子"相亲"之路不顺畅
卵泡长大成熟之后,离开了卵巢,开启了她的相亲之旅,来到了输卵管等待精子的到来。
倘若输卵管因为病理原因不通畅,就像马路上设置了路障,精子和卵子也就没法相遇,卵子的受精就没法完成,造成了生育的问题。
一般情况下,输卵管“不通”的主要原因有输卵管近端远端阻塞,输卵管积液,输卵管痛而不畅,输卵管伞端粘连。万一输卵管心情不好,还有引发宫外孕的风险。
但是这些症状通常一般没有明显症状,偶尔有个别人有腹痛症状,大多也会被当作妇科普通炎症进行治疗。
黑科技:3D/4D子宫输卵管造影
想知道输卵管健不健康,通不通畅,必须做一些专项超声检查才行。
目前常用的检查就是3D/4D子宫输卵管造影,输卵管造影就是在医生的超声监视下,将代谢快、无毒性的新型微泡超声造影剂通过“宫腔置管”注入子宫腔,动态观察造影剂在子宫输卵管显影并流入盆腔,经过四维成像处理再现盆腔器官结构,输卵管腔得到实际的立体图像,输卵管阻塞具体位置也能一目了然了。
整个检查无任何辐射等伤害,检查后只需避孕至下一次月经结束即可开始备孕。

输卵管造影(左):双侧输卵管通畅/输卵管造影(右):左侧输卵管不通
场景三:精子和卵子相亲成功,奈何子宫内膜出问题影响胚胎发育
我是精子,为了遇见卵子,几乎花光了所有的力气,我熬过了酸性环境,碰巧遇到宫颈打开,碰巧躲过了白细胞的追杀,小心翼翼过了输卵管这座可怕的桥,碰巧挤进了卵膜,遇见了我心仪的卵子,和卵子相亲成功后,携手来到宫腔这所房间里,准备在子宫内膜上安营扎寨,开启属于我们人生的新篇章,奈何之后的生活也非一帆风顺,内膜这所房子很容易出现问题,影响胚胎的正常发育。
子宫内膜是胚胎着床的位置,子宫内膜允许胚胎黏附,侵入并诱导内膜间质发生一系列的变化,最终使得胚胎得以植入的一种能力叫子宫内膜容受性,子宫内膜容受性好不好,决定了胚胎是否成功着床并发育的关键。
黑科技:超声检查子宫内膜容受性
1.二维超声:观察子宫内膜的厚度,内膜回声是否均匀。
2.三维超声:计算宫腔的容积,内膜血流参数分析(包含血流指数,血管指数,血流血管指数),判断内膜是否准备好着床条件。
3.三维超声:冠状面观察宫腔的结构形态(确定宫腔粘连位置,宫腔畸形情况)
4.子宫内膜弹性成像:判断内膜软硬程度,内膜内部状态是否是受精卵着床的最佳状态。
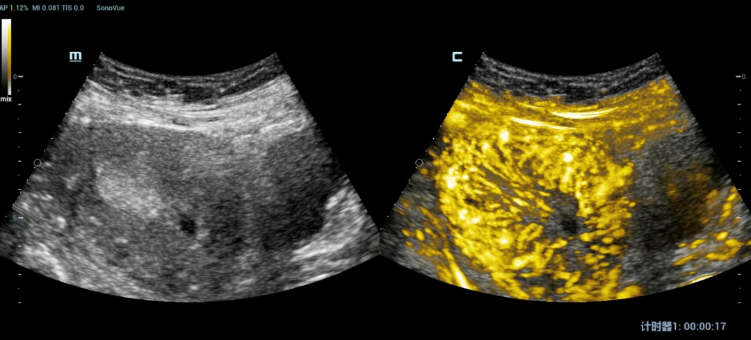
5.子宫内膜静脉造影:判断内膜的微循环灌注,有无血供异常情况。

子宫内膜静脉造影图例:可见内膜血供灌注僵直,血管走形变异
科室介绍
上海新华医院生殖医学中心作为生命全周期的第一站,从源头把控,以“成功抱婴”为辅助生殖治疗终点,擅长针对有生育需求的夫妇进行个体化助孕+保胎治疗,致力于发现生育问题、优化生育过程、解决生育障碍、提高生育能力。
同时,与新华优势学科互补,多科室联合,配合“生命早期千天计划”,从呵护生殖细胞开始,构建全面疾病筛查、预防、诊治与远期随访体系,全程关注母婴健康。
开设特色门诊:备孕及生育康复门诊、反复流产及种植失败门诊。
开展多科室合作项目:
环境与儿童健康科(检测环境因素对生育力的影响);
中医科和营养科(调养身心,获得最佳备孕状态);
临床遗传中心(遗传病基因检测、产前筛查和诊断,预防出生缺陷);
产科、胎儿宫内疾病科(宫内介入治疗有发育缺陷的胎儿、患儿);
儿科(正确喂养、快乐育儿、及时诊疗儿科疾病);
乳腺外科(重视育龄妇女乳腺问题与疾病);
内分泌科(重视备孕夫妇糖尿病、甲状腺等疾病诊疗)。
门诊预约请点击链接
☞:生殖医学中心门诊
专家介绍
