颅底肿瘤手术,是神经外科手术中难度最高的一类,对于一些复杂肿瘤,3D打印技术不仅可以1比1“克隆”颅内肿瘤形态,也可显示毗邻的神经和血管走行。
近日,患者小成在瑞金医院通过术前3D打印技术,成功切除了颅内近拳头大小的肿瘤。事情还要从三个多月前说起。
巨大&罕见的颅底肿瘤
小成,今年38岁,是一名网约车司机,家住重庆。3个月前的一天,小成出现头晕,原以为是工作劳累,休息两天就会好转,但症状却逐渐加重。
春节前,甚至莫名摔倒过几次。与此同时,小成的视力也出现下降,右眼皮也开始耷拉下来,这严重影响了他开网约车的工作。
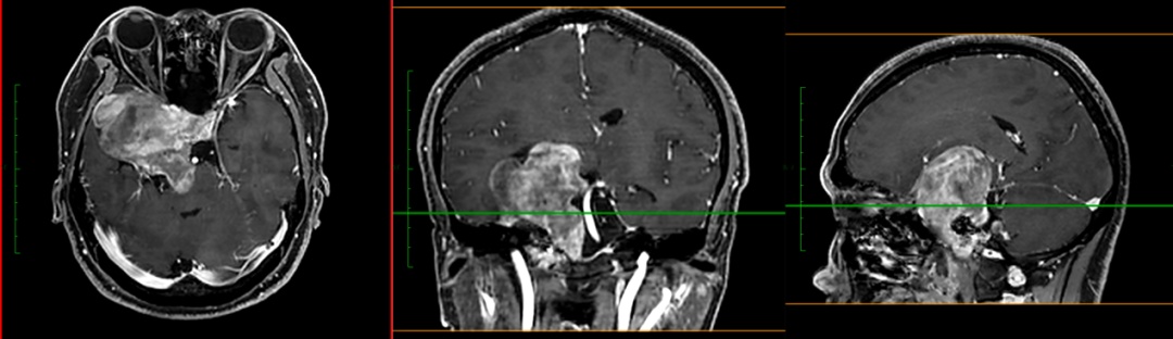
当地医院对小成头颅进行MRI检查,提示:鞍区、中颅窝及后颅窝巨大占位,脑干受压明显,且部分已侵袭突破颅底骨质,肿瘤大小约8.2*7.3*5.8cm,此外,电子视野检查发现右眼鼻侧视野、左眼颞侧视野严重缺损。
“这个肿瘤太大了,很有可能下不了手术台…。”当地医院不敢接,推荐小成去上海看看。
难缠的对手
小成夫妻坐上高铁来到上海,赶到瑞金医院门诊时,已临近门诊结束,神经外科卫永旭医生接诊了小成,仔细询问检查了一遍。当即决定,紧急安排小成住院,因为小成颅内肿瘤巨大,脑干受压移位,随时有生命危险。
瑞金医院神经外科医生共同术前讨论,大家认为“盘踞”在小成颅内的肿瘤很大,且对中颅底及斜坡的骨质破坏明显,很有可能为软骨肉瘤,要延长生命,就得尽全切除肿瘤并辅以放疗或质子重离子治疗。
颅内软骨肉瘤是一种恶性肿瘤,较为罕见,仅占颅内肿瘤的0.16%。主要来源于颅底的软骨层,且这种类型的肿瘤侵袭力和破坏性较高,处理起来很棘手。
小成的这个肿瘤除了个头巨大,还很“难缠”,肿瘤和周围的血管、神经、脑组织的关系错综复杂,颅底骨质已经被肿瘤侵蚀破坏,且部分神经功能已经受到影响。

3D打印知己知彼
只有手术一条路,病情不允许他再等下去。肿瘤很大,但颅内空间狭小,手术难度很高。
更难的是,这个肿瘤的位置也很“刁钻”,横跨了中颅窝和后颅窝两个不同的区域。如果我们把大脑看成一座两层楼的房子,那就意味着,小成的肿瘤从二楼沿梯而下,一直蔓延到了一楼。

受岩骨嵴的阻挡,一期手术无法同时拆除两处“炸弹”,最终,神经外科团队医生反复推敲研判,决定分两期切除肿瘤,最大限度地降低手术风险。为此,卫永旭医生决定把通过3D建模并打印出来,这样可以看到一个很直观的病灶模型,便于术前规划。
有了这个想法,他随即找到瑞金医院转化医学中心负责3D生物打印的田信广副主任,了解到小成经济情况比较困难,田主任当即表示“只要真正有利于患者,其它困难我们都能克服。”
很快,卫医生就拿到了1:1的3D打印实物,肿瘤、神经、血管错综复杂的关系清晰可见。3D打印模型,给我们在手术设计上提供了更直观的参考,对肿瘤的形态和周围结构的关系一目了然。对手术入路、切除范围、可能的风险有一个更精准的研判。


柳暗花明
在做好各项术前准备工作后,这场超高难度的颅底肿瘤大手术开始了…
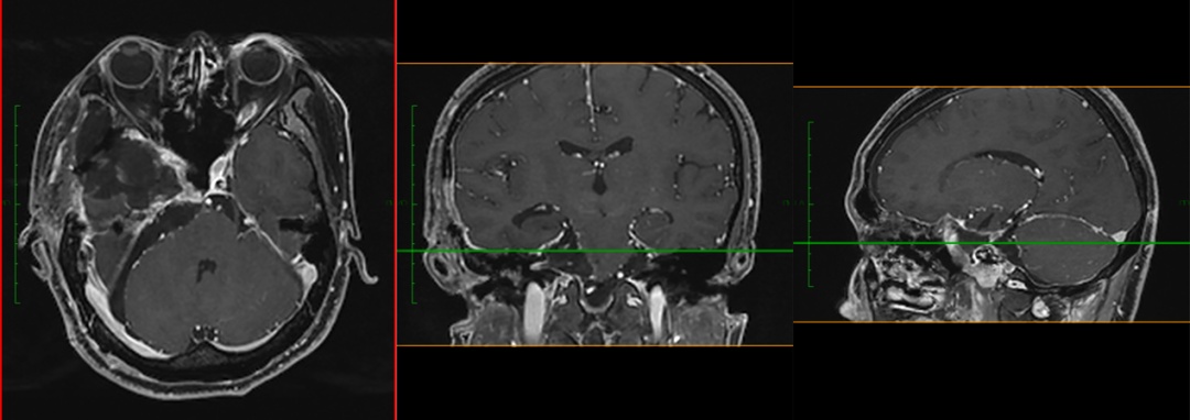
神经外科濮春华主任医师和团队在显微镜下娴熟地操作,在麻醉医师、手术室护士及输血科的密切配合下,11个小时后, “盘踞”在中颅窝处的肿瘤被近全切除,一个月后,残余在后颅窝的肿瘤也顺利被“摘除”,两次手术总计20余小时,最终获得成功。术后病理证实软骨及黏液基质的肿瘤,符合软骨肉瘤 II级。
病理结果回报后,神经外科第一时间邀请放疗科高云生主任协助会诊,根据术后复查MR的结果,为减少复发可能,决定为小成进行质子治疗。如今,小成恢复良好,头晕和视力下降等症状得到明显的改善,已经顺利从神经外科出院。

经过一系列检查,小成符合质子中心即将开展的一项临床试验入组条件,“这样下来就可以节省几十万的治疗费用,这对于本就拮据小成全家来讲,还是很有帮助的。”神经外科主任卞留贯提醒大家,头痛同时伴随视力下降,一定要引起重视,做个头部CT或MR检查即可,早期发现早期治疗 才是保持健康最重要的事。
来源:上海交通大学医学院附属瑞金医院