在和疾病较量的过程中,瑞金始终勇往直前,创造了无数个奇迹,积累了众多独创性的经验。正因为一个一个成功救治的案例,才使得今天的瑞金成为病人信赖、员工自豪、同行尊敬、社会满意的医院。
老章(化名)今年刚过半百,一直以来身体硬朗,唯一的“隐疾”就是先天性的“张不了口”——嘴巴最多只能张开一横指的大小。原来老章因患有先天性颌面部发育不良而张口受限,平时除了需要小口进食外,还导致了睡眠呼吸暂停综合征,后来在呼吸机的帮助下,老章的睡眠问题也得到了缓解,“张不了口”看似对生活影响并不大。

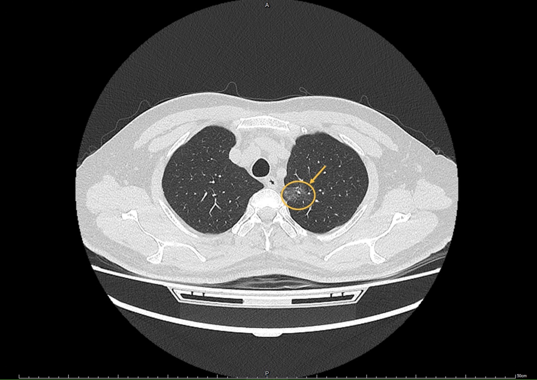
几个月前,一份体检报告打破了老章平静的生活。报告上“肺部结节,建议进一步检查”的字样,让老章着实紧张了一把。火急火燎地在当地医院进一步检查后,医生考虑早期肺癌可能性比较大,建议尽快通过微创手术予以切除。
然而在术前评估阶段,老章却因“麻醉困难”被“拒之门外”,原因竟是那个从小就有的隐疾——张口受限。医生解释,因为老章的张口成都太小,麻醉科常规使用的插管方法和器械设备对他并不适用。而且胸外科手术通常需要插双腔管(双腔管的直径比普通气管导管粗很多,而且有两根),这对本就“空间有限”的患者口腔部的操作来说,无疑是雪上加霜。一旦双腔管插不进去,就要被迫进行气管切开,存在很大的麻醉风险,甚而危及生命。
一边是“肺癌”的诊断,一边是麻醉风险高悬,该如何是好?抱着试一试的心态,老章和家人在好几家医院的互联网医院上挂了号,咨询是否可以手术。最终,他们遇到了瑞金医院胸外科的韩丁培医生。“哪怕只有一点希望,也不能放弃!”韩医生对老章的遭遇十分同情,也对医院麻醉团队颇有信心。他详细询问了老章的病史与情况,并让他发来张嘴的照片,及时请麻醉科评估张口受限的程度,认真讨论手术方案的可行性。

“病人虽然张口程度受限,但并非完全是手术麻醉禁忌,我们可以尝试自己改良硬质可视喉镜来辅助气管双腔插管,之前我们也有成功的案例。”有了麻醉科沈杰医生的“定心丸”,韩医生立即将好消息告诉了老章,请老章至胸外科门诊进行更完备的术前评估与入院准备。入院后,老章完善了颈部CT及五官科喉镜的检查,并由麻醉科再次评估插管条件,得到肯定答复后,老章悬着的心终于落下了。
手术时,老章的下颌后缩的确给麻醉医师带来很大的困难,不过在麻醉科沈杰、马鑫、彭素文医生的密切配合下,艰难地托起后缩的下颌骨,找准了老章一侧牙齿不齐形成的小缝隙,利用自己改造的硬质可视喉镜顺利插入双腔气管插管,还做了牙齿的保护。
随后,胸外科韩丁培和陈凯两位医生顺利完成了单孔胸腔镜微创手术,通过侧胸壁3cm的小切口,通过鼓肺-萎陷法清晰地显示出尖后段的边界,切除了患者左肺上叶结节所在尖后段。在胸外科、麻醉科、手术护士等多方默契配合下,使困难插管对手术的影响降到了最低。术后的老张情况平稳,考虑到他还有呼吸暂停综合征,回到病房后护士对他进行了严密监护;麻醉科还周全地准备了鼻插管,以备不时之需。
最终,病理结果提示老章切下的肺结节是肺部腺癌,但好在手术及时,淋巴结尚未转移,只要定期随访复查,长期生存率很高。这让老章心里的大石头终于落了地,满满的劫后余生之感让这个高大的汉子泪流满面。

“目前临床上还没有现成的适合老章这类胸外科患者的插管工具。胸外科手术常规使用的双腔管不仅管径粗,而且长度较长;而现有的临床上针对张口度小的患者的插管工具——硬质可视喉镜的设计是按普通气管导管来的,并不适用于双腔管”沈杰医生说,“所以,为手术顺利进行,我们对视可尼进行了手工改良——在保证双腔气管导管的临床功能完好的前提下,适当剪短双腔气管导管,同时重做双腔气管导管的呼吸机接口,保证机械通气。最后通过改良过的双腔管插到位,不仅保证手术的顺利进行,也避免了患者进行气管切开。”
麻醉科主任罗艳表示,双腔气管导管管壁比普通气管导管厚,透光性差,所以利用视可尼插双腔管要比普通气管导管困难很多。从麻醉诱导后,到插完管建立人工通气是有时间限制的,时间紧、任务重,这对麻醉医师的要求很高。“多年来,瑞金麻醉科一直倡导“麻醉无禁忌”的理念,想尽办法为每一位需要麻醉的患者保驾护航,但这背后是以充分评估、完备的预案和与手术团队完美合作为基础的,每一次麻醉,我们都是谨慎再谨慎,因为面对的是患者的生死,绝对容不得半点闪失。”
不辜负每一份信任——为了患者的生命健康,瑞金一直是全力以赴的。

资料提供 | 曹羽钦 董懂
撰文、编辑 | 唐文佳