
暑假里,大小朋友纷纷来到游乐园尽情玩乐。这里一个接一个的刺激项目,其实小编内心是非常害怕的。天旋地转、头晕腿发软,强烈的失重感,命运不可控的感觉......MY GOD!
我们或许只是体验过程当中会出现这种感觉,但是有些人每天都会出现这种感觉,偶尔一次是兴奋刺激,天天如此,周而复始,那是要命的节奏啊!而下面这位患者就是......

患者王先生以农作养家糊口,日出而作日落而息。2017年开始,坐起或躺下等体位改变后容易头晕,休息后好转。一开始并没有重视,以为是累了或者低血糖,后来逐步加重,每天发作,说来就来,每次发作时头晕、天旋地转,伴有恶心,呕吐,严重影响正常生活。当地医院就诊,考虑美尼尔综合征,给予药物治疗,效果不佳。眩晕的症状越来越严重;每日发愁以后该怎么生活......

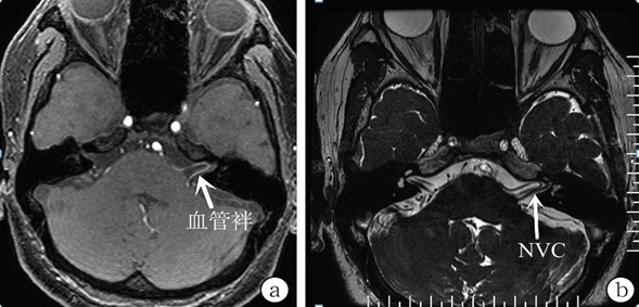
经人介绍,王先生来到上海市同仁医院神经外科就诊。医生详细询问病史,入院完善检查排除了耳源性眩晕可能、心源性头晕可能、颈椎病可能和脑血管病脑缺血性头晕可能,头颅MRTA提示有血管压迫:考虑为体位失能性眩晕,可以通过手术治愈。
尽管王先生对手术有所顾虑,但是,被疾病长期折磨的他,终究不愿放弃这最后一线希望。他接受了神经外科李心远主任的建议,决定进行手术。
治疗需要解除前庭神经的血管压迫才能治愈该疾病,因此只能行微血管减压术才能治愈该疾病。手术治疗前需进行一系列检查排查其他病因的眩晕,具有典型的间断性体位相关的眩晕症状,磁共振检查有明显血管压迫前庭神经。
这一天,手术如期进行。李心远主任信心满满的进入手术室,在全麻状态下,术中颅内操作时使用显微镜观察,使手术视野内神经血管放大十余倍。尽管如此,依旧需要李主任非常细心、耐心的去寻找“事发点”。当发现血管压迫前庭神经,立即使用垫片将血管与神经隔开,术中使用国外先进的电生理监测仪器保驾护航,有效保护面、听神经,避免术后并发症。
手术操作在人体最为复杂的脑、神经、血管之间进行,操作十分精细,对主刀医生技术水平要求极高,李心远主任虽然经验丰富,但始终小心翼翼,确保万无一失。术后患者眩晕没有再发作,一周后康复出院。
头颅MRTA提示有血管压迫

眩晕临床表现
眩晕主要表现为患者自觉视物不稳、天旋地转,站立或走路时难以保持平衡,严重者甚至不敢睁眼,恶心呕吐,静止休息后可逐渐缓解。不同类型的眩晕其表现不同。

发病原理
体位失能性眩晕是前庭神经受到血管压迫,血管与神经外层相互磨损,发生短路,神经放电过度,造成前庭神经障碍产生眩晕。
手术优势
我院神经外科使用先进的显微镜,电生理监测仪器,成熟的微血管减压操作技术,具有手术切口小、损伤少、治愈率高、恢复快,并发症发生率低等优点,是最安全、最有效的方法,获得患者及家属对疗效一致好评。

专家介绍

李心远,医学博士,上海市同仁医院神经外科行政主任,世界华人神经外科协会颅脑创伤专家委员会委员,中国医师协会脑血管组委员,上海医学会神经外科功能组、区县组委员,上海交通大学颅神经疾病诊治中心核心专家。长期致力于脑肿瘤和颅神经疾病的基础与临床研究,擅长以微血管减压治疗面肌痉挛、三叉神经痛、痉挛性斜颈、舌咽神经痛、顽固性耳鸣、眩晕等颅神经疾病,擅长微创治疗垂体瘤、脑胶质瘤、脑膜瘤、脊髓肿瘤,各种复杂脑动脉瘤夹闭手术。
【专家门诊时间】
每周一、周三上午
预约就诊请关注公众号:

(配图源自网络,如有侵权请通知删除)
供稿:神经外科 陈莹莹
编辑:宣传科