42岁的郝先生,不小心摔了一跤,虽然是臀部着地,但伤后却出现右膝肿痛和活动受限,于金山区亭林医院急诊拍片显示右侧髌骨骨折(图1),遂住院接受了右侧髌骨骨折切开复位内固定术(图2),并留取了活检标本,看似非常普通的一个病例,已经准备出院了,这个简单的故事,似乎一开始就马上要结束了。

图1 图2
根据图1可见,除了髌骨粉碎性骨折之外,还可见右侧股骨中下段透亮度明显增加、骨小梁稀疏、骨皮质也显著变薄。追问病史,患者于1年前因右大腿疼痛检查发现右股骨骨囊肿形成并接受了内固定手术治疗(图1b可见内固定钢板)。患者出院之后病理报告才出来(图3),显示骨组织很少,绝大部分被纤维组织代替,同时可见大量多核巨细胞,病理科的同事立即意识到这不是一例简单的外伤引起的骨折,而是一种病理性骨折,高度怀疑甲旁亢引起的纤维囊性骨炎或骨巨细胞瘤。
同济检验科利用患者遗留下的血标本检测PTH,结果显示PTH高达1233pg/ml(正常15-65)。随后在病理科和内分泌代谢科倡导下组织了一次全院多学科病例讨论,回顾患者住院期间的检查发现,其已存在明显的钙磷代谢紊乱,血钙3.21mmol/L(正常范围:2.1-2.6)明显升高,同时血磷0.63mmol/L (正常范围:0.85-1.51)降低,典型的高钙、低磷和PTH升高非常符合原发性甲旁亢的表现。肝功能检查当中有一项指标“碱性磷酸酶”也特别高,为647U/L(正常范围:50-135U/L),单纯的碱性磷酸酶升高,如果排除了肝胆疾病,首当其冲要考虑到代谢性骨病可能。
任何疾病都是有蛛丝马迹的,如果对疾病的本质没有深刻的理解,即使面对很明显的迹象也会熟视无睹的。同时,其他影像学检查显示,胸部CT报告心、肺和纵隔无异常发现。

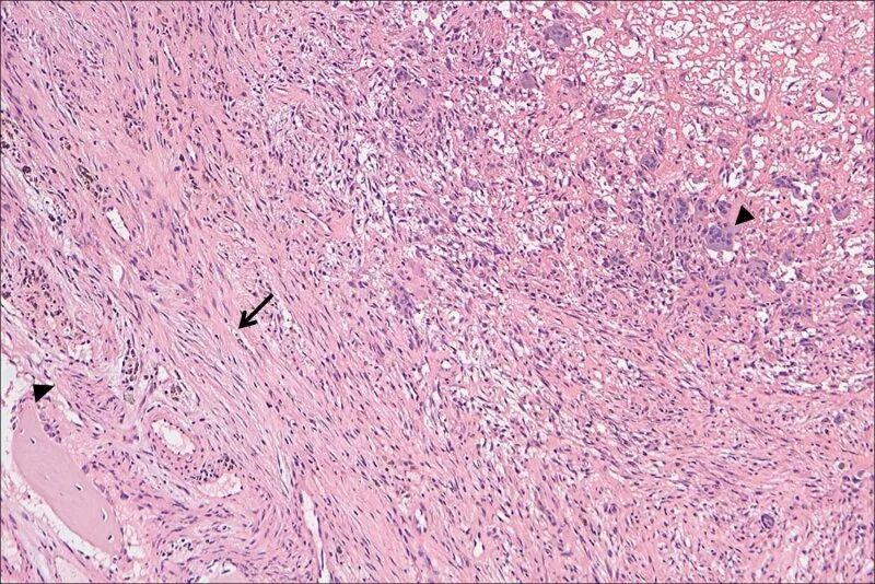
图3.组织病理:少量骨组织(左下三角),大量纤维组织(中间箭头),巨细胞(右上三角)
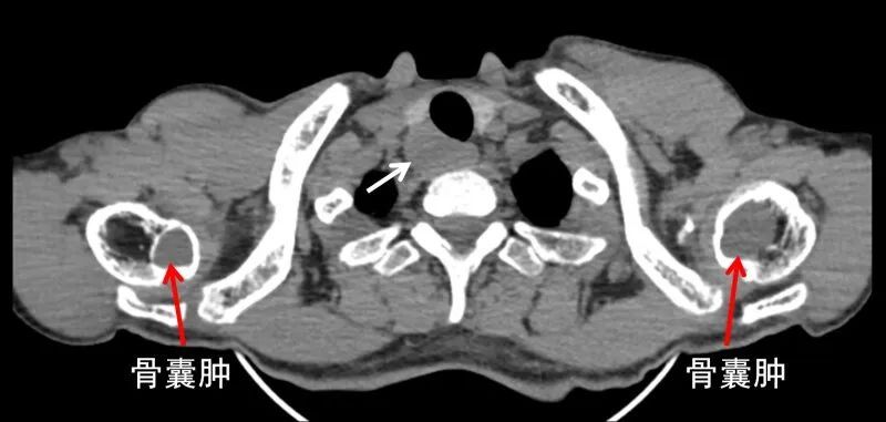
查看胸部CT横断面,可以看到双侧肱骨骨囊肿形成,同时还可以看到右侧甲状腺背后存在一个很明显的低密度软组织肿块(图4),这个才是真正的罪魁祸首,正是这个隐藏很深的甲状旁腺腺瘤持续分泌超高水平的甲状旁腺激素(PTH)引起一系列临床表现。
PTH就像一名勤劳的搬运工不断地把骨骼中的钙搬到血液当中,导致血钙升高,升高的血钙持续不断的从肾脏和尿液当中排除到体外,久而久之,骨骼中的钙被掏空,骨组织被大量纤维组织代替,甚至形成骨囊肿,这就是所谓的纤维囊性骨炎,因骨囊肿里面含有大量棕色的液体,因此又叫“棕色瘤”。
在经济发达和医疗资源丰富的地区,由于诊断意识和水平的提高,多数甲旁亢得到了早期诊断和早期治疗,这种典型的表现目前很难见到。另外还见到多处肋骨破坏(图5),这也属于甲旁亢引起的代谢性骨病,这种骨破坏很容易被误诊为恶性肿瘤骨转移。

图4.胸部CT:右侧甲状腺背后甲状旁腺腺瘤(白箭头),双侧肱骨骨囊肿(红箭头)

图5.胸部CT见多处肋骨破坏
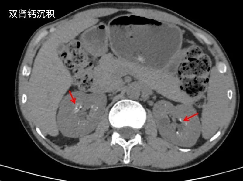
胸部CT可以查看到,部分上腹部可见双侧肾实质多发钙质沉着(图6),这是甲旁亢典型的肾脏表现。甲旁亢患者由于血钙升高和尿钙排泄增加,肾结石和肾钙质沉着的发生率明显增加,不明原因的肾结石、复发性或多发性肾结石应常规排除一下甲旁亢,一次血钙测定只需花5元钱,有可能早期发现甲旁亢。

图6.双肾实质泥沙样钙质沉着
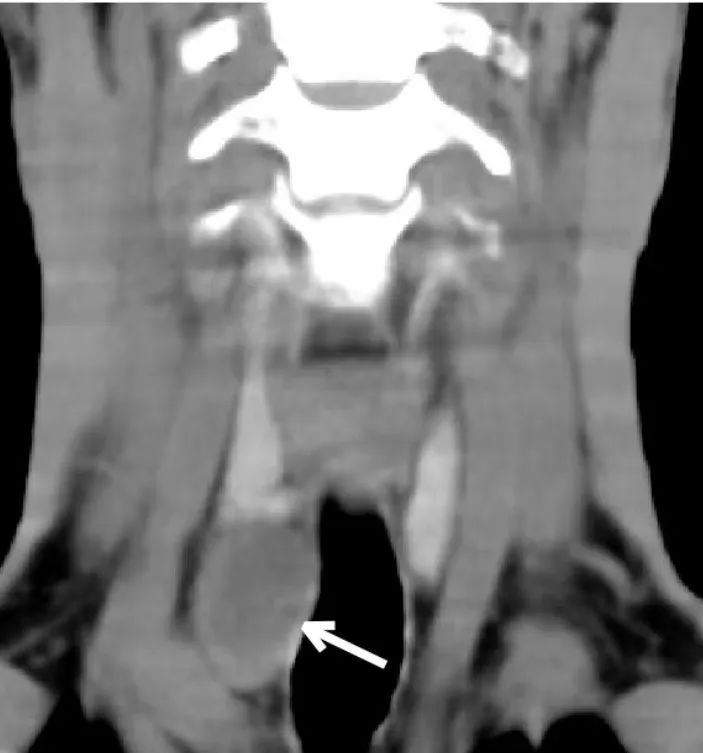
为了进一步寻找疾病的元凶,我院内分泌代谢科专家赵家胜主任医师亲自打电话给患者,建议他到同济医院来进一步检查。普通外科甲状腺中心吴社华主任接诊了患者并将其收住入院,甲状旁腺同位素检查显示右下甲状旁腺明显增大,放射性核素摄取功能明显增强(图7),证实了甲旁亢的诊断。颈部CT冠状面重建显示右侧甲状腺下方低密度软组织肿块(图8),完整切除该肿块(图9),病理证实为甲状旁腺腺瘤,患者的血钙从术前的3.23mmol/L降至术后的2.26mmol/L,甲状旁腺激素从术前的1830pg/ml降至10.6pg/ml。至此,隐藏在患者体内真正的元凶终于被绳之以法。为了弥补骨钙的“历史欠账”,术后长期补充维生素D和钙片,以防治“骨饥饿综合征”的发生,目前患者仍在随访当中。

图7同位素显像显示右下甲状旁腺功能亢进

图8.右下甲状旁腺腺瘤(白箭头)

图9.右下甲状旁腺腺瘤标本
原发性甲状旁腺功能亢进症(甲旁亢)
甲旁亢是由于甲状旁腺增生或腺瘤自主分泌过多甲状旁腺激素(PTH),导致骨钙动员增加和血钙升高,肾脏排磷增加和血磷降低,所以原发性甲旁亢典型的生化改变是高钙、低磷、高PTH。
甲旁亢经典的临床表现是反复发作的肾结石、消化性溃疡、精神改变和广泛的骨吸收(即所谓的甲旁亢骨病)。由于体检的普及、血钙测定的常规化和诊断意识的提高,甲旁亢经典的临床表现目前很难看到,更多的患者表现为无症状高钙血症,尤其在经济发达和医疗资源充足的地区,比如欧美国家内分泌门诊除了糖尿病和甲亢之外,第3位常见的内分泌疾病就是甲旁亢。
该例患者的临床表现如此典型,堪称教科书样的表现,一方面加强了我们对该病的认识,另一方面值得深思的是,患者病情到了如此严重的地步才得以确诊,令人惋惜。这也提醒我们临床医生应加强对该病的认识,提高诊断意识和诊断水平,同时也有责任加强疾病常识的科普宣教。
专家名片/

吴社华
普通外科副主任医师
医学硕士
从事普腹外科工作20余年,在甲状腺良、恶性肿瘤以及中晚期消化道肿瘤的手术、综合治疗方面积累了丰富的经验,尤其在甲状腺癌颈部淋巴结清扫手术方面有丰富的经验。主要研究甲状腺肿瘤和中晚期消化道恶性肿瘤的手术治疗方法研究。从2000年始,每年均承担大学五年制和七年制医学生的部分理论课和临床带教等教学工作。

赵家胜
内分泌代谢科副主任 主任医师
专家门诊:周二下午 周日全天
兼任上海市金山区亭林医院大内科主任;上海市医学会内分泌分会委员,垂体与肾上腺疾病学组副组长。上海市医学会糖尿病分会外周血管及足病学组副组长。擅长糖尿病,垂体、甲状腺、肾上腺疾病和骨代谢疾病等多种内分泌代谢疾病的诊治,尤其在内分泌代谢疑难危重病和内分泌性高血压诊治方面积累了丰富的经验。主编《内分泌代谢急症》(人民卫生出版社)和《糖友日记》等专著,曾先后获得同济医院首届青年岗位能手、同济名医和上海市用户满意服务明星等称号。
文 | 普通外科 内分泌代谢科
编辑 | 赵思思
校审 | 谢壮丽