7月15日,瑞金医院高益鸣主任团队实施了一例口腔手术机器人辅助下的上前牙美学区种植手术,这是上海首例机器人辅助下的口腔种植手术。

接受该手术的患者是一位年轻女性,她因意外事故导致前牙缺失,迫切希望能够重拾笑容。高益鸣主任详细了解她的病史及美学诉求,决定采用数字化技术,为她订制个性化种植方案。
以往,前牙美学区的种植及修复只能依靠医生的临床经验,简单来讲就是“手感”,但前牙美学区对术者技术要求极高,若是出现毫米级偏差,就无法达到理想的粉白美学(修复后的牙冠和牙龈美学指数)效果,还会导致牙龈萎缩、种植体颈部暴露等诸多问题。
口腔手术机器人对此提出了新的解决方案,它可以通过术前可视化体外模拟,术中精准定位、动态导航、人机随动等功能,极大提升种植手术的精度和质量。医生可以借助口腔手术机器人,精准完成口腔种植手术,缩短手术时间,实现标准化种植。

术前:可视化的体外模拟
术前,医生将患者的影像学资料导入机器人系统,进行种植体植入全过程的体外可视化模拟,这样手术团队能充分了解患者牙槽骨的骨量及解剖结构走向,更详尽地制订手术方案。
术中,高益鸣主任、李小曼医生共同按既定方案,在机器人全自动模式下,精准标定种植位点并逐级扩孔备洞。而且,机械臂的减速区设定,让机器人在入口时动作不会过快,“温柔”且“迅速”地有序按照指令进行手术。手术过程相比传统方式来说缩短了近一半。如今,这位女士恢复良好。

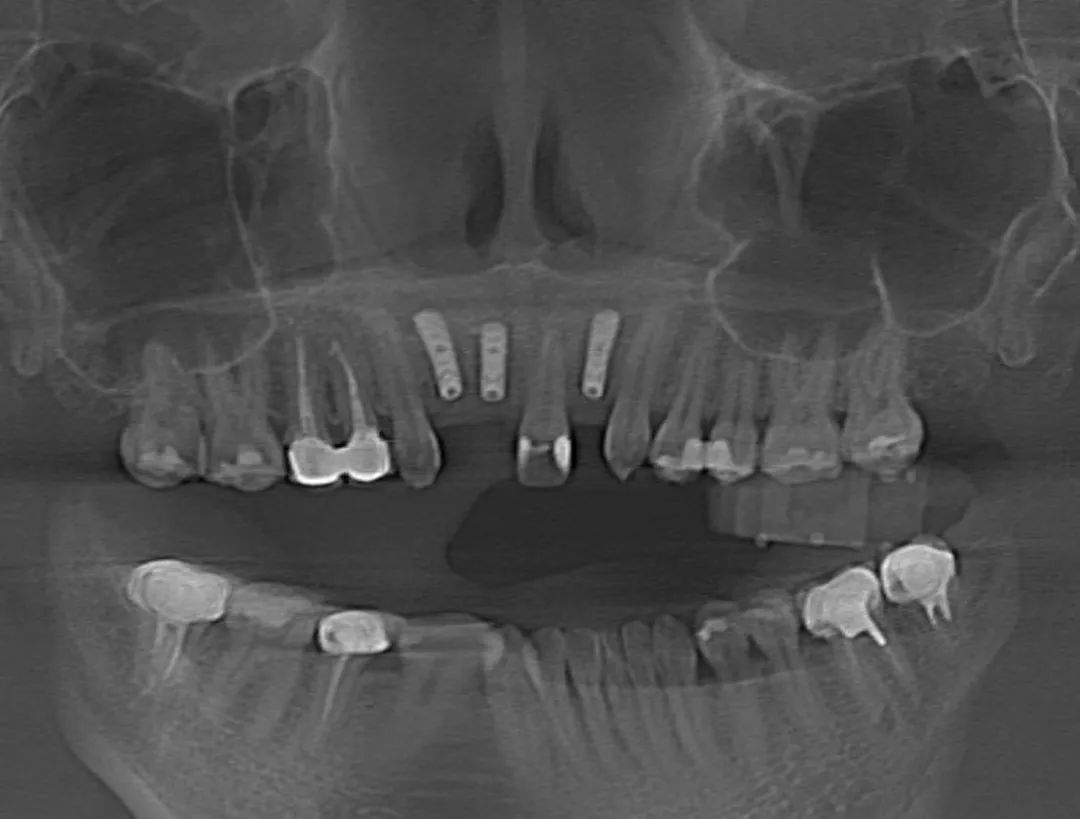
患者术后影像图
其实,手术过程中,患者头部肯定会有轻微移动,而此次使用的“瑞医博”口腔手术机器人(Remebot Dental Robot)是首款获国家药品监督管理局(NMPA)认证的口腔领域手术机器人,它具备的机器人随动功能,可以检测患者位移,保证下钻过程中轴向准确性,加上虚拟影像空间和实际机器人空间的映射匹配,实现手术信息实时共享,确保预备窝洞及植入植体精确至毫米级水平,使手术精度控制在1°和0.5mm以内。
随着数字化口腔的发展,口腔治疗将会迎来更多可能,成为实现精准、微创、智能化医疗的重要组成部分。

高益鸣,瑞金医院口腔科主任,主任医师。他是国内首批开展种植手术的专家之一,从事口腔专业领域30余年,对于复杂情况下的口腔种植有丰富的临床经验,至今已完成上万例相关手术,也是运用口腔手术机器人的首批专家。
瑞金医院口腔种植专病门诊
每周二,周四上午

作者:米热阿力木·米阿迪力
编辑:韩康妮