
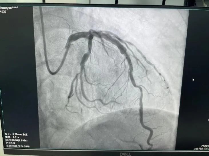
老胡10年前发生过一次心肌梗死,当时医生告诉他,他的血管和一般人不一样,冠状动脉有异常扩张。今年6月,老胡又感到胸痛加重,来同济大学附属同济医院心血管内科就诊,诊断为急性非ST段抬高型心肌梗死,急诊造影显示闭塞的是回旋支远段的分支。
在球囊扩张开通闭塞血管的同时,可以看到患者的前降支非常发达,近段弥漫的瘤样扩张、血管钙化合并中段重度狭窄。使用血管内超声可以看到患者狭窄存在360°钙化。这样的病变是心血管内科介入医生最为头痛的。重度钙化可导致支架通过困难、支架膨胀不良等情况,容易发生支架脱载、急性支架内血栓、围术期心肌梗死等并发症。
结合老胡的病变特点,心血管内科医生们进行了术前讨论和准备,决定给老胡使用冲击波球囊。这是同济医院使用冲击波球囊治疗钙化病变的第一例患者。

此次使用的冲击波球囊是我国自主研发的产品,通过冲击波将血管表层和深层的钙化斑块震裂,使得后续的支架能够更好的通过和膨胀。老胡在充分了解这一手术后签署了知情同意书。

此次手术由心血管内科主任刘学波教授、来晏主任医师和叶梓医师共同参加。在冲击波球囊发放了10次脉冲后,医生们通过腔内影像看到原来厚厚的钙化层出现了明显的裂隙,血管轻易的就被扩张开了,后续的支架植入也非常的顺利。冲击波球囊是冠脉介入治疗对付钙化病变的又一大利器,一定能够给更多的患者带来福音。



厚厚的钙化斑块

钙化斑块中可见明显裂隙

支架植入前

支架植入后
专家名片/

刘学波
心血管内科主任
主任医师 教授 博士生导师
专家门诊:周三上午
同济大学附属同济医院心血管内科主任,上海医学会心血管病分会副主任委员,中华医学会心血管病学分会全国委员,中国卒中学会心血管病分会副主任委员,美国心血管病学院委员(FACC),欧洲心脏病学会委员(FESC),美国心血管造影和介入协会委员(FSCAI)。
具有丰富的心血管疾病诊治的临床经验;擅长心血管疾病介入诊治;擅长腔内影像等技术精准诊治疑难冠心病。以第一或通讯作者发表SCI论文30余篇;编著专著15部;主持或参与“863计划”、国家科技部、卫生部重点课题、国家自然科学基金及上海科委等科研项目14项;作为主要参与者获得上海市科学技术进步一等奖(2项)、上海市科学技术发明一等奖、教育部科学技术进步一等奖和中华医学科技三等奖各1项等荣誉。获“国之名医”、“上海市医学领军人才”、“上海市优秀学术带头人”和“首届上海市医务工匠”等称号。
专家名片/

来晏
心血管内科主任医师
专家门诊:周一下午、周五上午
上海市医学会心血管专科分会青年委员、秘书长,上海市医学会心血管专科分会动脉粥样硬化学组成员。作为专家组成员参与《血管内超声中国专家共识》编写发表。发表SCI文章10余篇,影响因子30分,发表核心期刊论文10篇。作为项目负责人承担上海市科委项目一项、上海市卫生局项目一项。擅长各种复杂冠脉病变的介入治疗,能够将腔内影像技术用于复杂的冠脉介入手术的指导和优化,提高手术的成功率并改善患者的预后。对于急性心肌梗死后患者的长期管理和随访有丰富的临床经验。
文 | 心血管内科 来晏
编辑 | 赵思思
校审 | 谢壮丽