肖恩是一名来自新西兰的外国友人。最近,因为“急性心肌梗死”被及时救治后转危为安,而这场分秒必争的救治就源于他在眼科复诊时和医生的一句随口交谈。
近半年来,因为眼病困扰,肖恩视力明显下降,视物模糊,无法正常工作和生活。1月10日,肖恩到仁济医院宝山分院眼科就诊,被诊断为“双眼后囊下型白内障”。眼科专家为他实施了双眼白内障手术+高端人工晶体植入手术。

2月15日,肖恩到眼科复诊,当医生检查眼部恢复情况时,他向医生反映了这几天时常会胸闷,下颌还有些疼痛的情况。这一句随口交谈却引起了医生的警觉。
结合肖恩有高血压病基础,并且长期吸烟、饮酒,医生敏锐察觉到患者可能存在心脏疾病,立即邀请心内科专家会诊,通过心电图和心肌酶谱确诊为“急性心肌梗死”。
医院随即开通急性心梗绿色通道,进行急诊冠脉介入手术。医院心内科程文波医生表示,如果耽误最佳治疗时机,心肌坏死会引发比如恶性心律失常、心衰、低血压、休克等,危及生命。

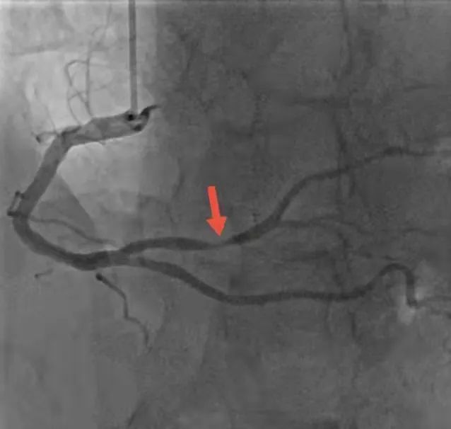
病变血管(右冠脉左室后支)

支架植入后,狭窄血管开通
在医院心内科和导管室医护人员全力配合下,短短半小时医生便完成手术,为肖恩顺利植入心脏支架,成功开通病变血管。
6天后,肖恩出院。出院时,肖恩反复致谢,感谢医生的仔细耐心和高超水平,让他避免了一场可能发生的意外。

肖恩在眼科复诊时的一句疑问,却让心内科医生救了他一命。这得益于仁济医院宝山分院的多学科“一站式”救治理念。
每一次跨学科的成功救治,体现的不仅是每个专科的实力,还有科室之间良好的协调配合。

小编提示:
大家应多警惕身体的任何不适,尤其是急性心肌梗死的疼痛症状,不一定都是典型的心前区或胸骨后疼痛,往往就表现为不典型的上腹痛、牙痛、下颌痛、颈部及肩背痛等,遇到不确定的情况,应及时就诊。
记者:孙子璎
编辑:葛静虹
校对:赵慧敏
*转载请注明来自上海宝山官方微信