大家好,我是上海长征医院超声诊断科的“小超人”。今天的科普时间,我来给大家讲讲心脏辅助检查项目如何选择。

“81号患者请进来,您哪里不舒服?”
又是忙碌的一天,小超人们紧张地做着心超检查,随着一个个切面的观察、测量,这位患者的检查完成了。
没想到患者又递上一张检查单,“医生,你帮我看看,我就是觉得有点胸闷,为啥做了心脏彩超还要再做心电图?两个不一样吗?还建议我再做一个冠脉CT,做这么多检查是不是想坑我的钱?”
小超人一头黑线,同时也意识到也许这位患者说出了大多数患者的心声,今天,就将心脏各项检查的内容和目的给大家简单介绍一下。
01
心脏说明书
心脏位于胸腔内,纵隔的前下部,两侧与肺相邻,外面由心包包裹,外表像一个圆锥体,实则为一空腔器官,包括了四个腔室及其附属结构,犹如一座房子。
虽然这座房子不大,却是拥有“两间两层”(两心房两心室)四个房间、完善的水管、电路系统的小独栋,随着它的运作,全身的血液在此汇聚又流向各级血管。


四个房间:左心房、左心室、右心房、右心室
房子门窗:二尖瓣、主动脉瓣、三尖瓣、肺动脉瓣
房子墙壁:房间隔、室间隔、组成房室各腔的游离壁心肌组织


房子水管:心脏的血管,包括冠状动脉及其各级分支和各级静脉血管,又称冠脉循环;通过动脉供应心肌活动所需要的氧气和养料,静脉则回收心肌代谢后的产物并送回心脏


房子电路:心脏的电传导系统,使窦房结产生的脉动传播至心肌,并刺激心肌使其收缩


众所周知,房子的不同部位出现问题要找相关的机构或专业人士进行评估或维修。比如房子结构出现问题需要找专业的房屋质量鉴定机构来评估;房子电路坏了找电工,管道坏了找水管工。同样的道理,心脏这座小房子若出现了问题也要根据问题所在的部位选择相应的检查方法。
02
心脏常用检修方法

房屋质量鉴定机构
——心脏彩超
又称为超声心动图。
可以观察心脏各个“房间”的大小、形态是否正常,“门窗”、“墙壁”是否完整,功能是否正常;在此基础上添加彩色多普勒和频谱多普勒,可以观察心脏的血流是否正常,有无异常分流,并测量血流速度,评估心脏的血流动力学参数。
适合心脏彩超检查的疾病
先天性心脏病:房、室间隔缺损;动脉导管未闭;法洛四联征;大动脉转位、主动脉瓣二叶畸形等
获得性心脏结构病变:各瓣膜狭窄、关闭不全;腱索、乳头肌断裂;室间隔穿孔;室壁瘤;附壁血栓、心脏肿瘤等
心肌病:肥厚性、扩张性、限制性心肌病等
功能性心脏疾病:左、右心室舒张和收缩功能异常、节段性室壁运动异常等
心脏彩超能够直观看到心脏的内部结构,准确评估结构病变的特点和严重程度,是心脏手术患者术前必不可少的检查手段,被誉为心脏外科医生的“眼睛”。

心尖四腔心切面

彩色多普勒血流成像

电路检查
——心电图
人体心脏规律有序的活动有赖于电传导系统将心脏窦房结处产生的电刺激按一定路径有序地传导给每一处心肌,并促使其收缩。如同电线埋在墙壁里一样,心脏电传导系统走行在心肌组织内。通过胸部及人体表面的导联连接心电图机,心脏的电路活动就会被放大并记录下来,呈现出特定的波形,即心电图,这就好比电工师傅检查电路时用万用表连接到电路的不同位置一样。
当电传导系统出现问题,如异位起搏、传导阻滞、异常通路等,就会出现早搏、心动过速、心动过缓、传导阻滞等心律失常,这些疾病及分类和严重程度都会在心电图上显示出特定的波形,由此就能做出明确诊断。
另外,心肌组织及细胞的病变例如冠心病导致的心肌缺血、梗死,心肌肥厚,钾离子浓度异常等都会影响到电路或电位的变化,因此这些疾病也可以由心电图做出提示性的诊断。

正常心电图

水管检查
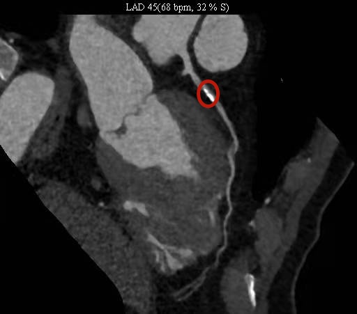
——冠状动脉CT
冠脉CT是利用CT快速多层扫描和图象重建技术,对患者的冠状动脉进行检查的方法。
冠脉CT检查快速无创,不需要注射造影剂就可以得到较清晰的冠状动脉图象,医生可以对冠脉病变部位及狭窄程度进行初步了解。
如果发现有严重的冠状动脉狭窄,则需要进一步行冠状动脉造影检查。这是明确冠状动脉疾病及严重程度的“金标准”,但它是一个有创伤的检查,需要将导管经大腿股动脉或其它周围动脉送至主动脉,通过碘对比剂的注入使冠状动脉显影,将冠状动脉阻塞的位置、程度与范围更为清晰明确地显现出来。
另外,造影过程中还可同期完成支架植入术或冠脉球囊扩张等操作,是一种集诊断和治疗为一体的方法。

冠脉CT示钙化斑块导致管腔狭窄(红圈处)
以上是心脏最常用的三种检查方法,明白了它们的原理和侧重点,就能正确选择适合自己的检查方式了。
另外,一种疾病的诊断也不局限于一种检查方式,比如冠心病冠状动脉狭窄程度的诊断依赖于冠脉CT或冠状动脉造影,但冠心病的并发症,包括乳头肌断裂、室间隔穿孔、室壁瘤等的诊断就是心脏彩超的用武之地啦!
当然,心脏的辅助检查还包括核磁共振、心肌核素显像等,虽不常用,也都有各自的优势和侧重点。医生会根据每个患者的主诉、症状、体征,针对性地选择适合患者的检查方法,最终目的只有一个:帮助患者尽早发现疾病、尽早治疗、尽早痊愈!
心脏就像每个人拥有的一套无价的房子,我们要爱惜自己的心脏,做到定期检查和保养。检查的时候要相信专业医生的建议,遵循“只选对的、不选贵的”原则。
作者|黄彦栋 宋家琳(超声诊断科)
监制|季莹
编审|王丹琳
编辑|方梅兰
主管|长征医院政治工作处
投稿|2577239181@qq.com