我国是肺癌发病率最高的国家之一,据世卫组织国际癌症研究机构统计,2020年,中国新发癌症病例约457万,肺癌病例数约82万,相当于每100个患癌的人中就有18个人是肺癌。肺癌,仍是我国死亡率最高的癌症,每100个因癌症失去生命的中国人中,就有23个是肺癌所致。近些年,随着CT筛查的推广,越来越多的人们通过CT体检发现了肺结节,CT在提高肺癌的早期检出率同时也给人们带来了更多的焦虑。肺结节就是肺癌吗?

不少人体检报告上有写“磨玻璃小结节”。那这是什么意思呢?是不是肺癌,为什么前两年体检没发现,今年突然有了?
要搞清楚这点,我们先来了解下CT和X线的区别吧。
关于CT和X线,有些朋友们分不大清楚。其实很简单,若把待检查的组织(也就是我们人)比喻成面包,X线就是从前往后压扁了看一块还未切开的面包,在最前面一层隐约可以看见一些内部的情况,但不太清晰。
而CT检查就像是把面包切成片来看,里面每一个小细节都可以准确看出。既然是切面包,则有些面包片会切得更薄一些,我们常说的薄层CT就像是这些更薄的面包片。




那什么是肺结节呢?
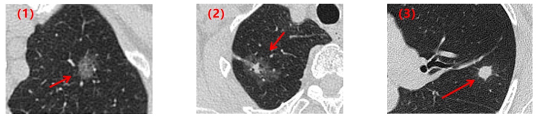
肺结节为小的局灶性、类圆形、影像学表现密度增高的阴影(直径≤3cm),可单发或多发。肺结节通常分为三种类型:
(1)纯磨玻璃结节:指在薄层CT上病变边界清楚的类圆形肺内密度增高影,但病变密度不足以掩盖其中的细小血管和细支气管影。
(2)混杂磨玻璃结节:指纯磨玻璃结节内出现明显实性成分。
(3)实性结节:指主要明显实性成分的结节。

我们来更直观的感受下这三种结节的差异,如果说纯磨玻璃结节是个大馒头,那么实性结节就像是个完完全全的豆沙馅,混杂磨玻璃结节就像是个豆沙包。



在恶性概率上:混杂磨玻璃结节 > 纯磨玻璃结节 > 实性结节
肺结节到底是不是肺癌?
这是大家最关心的事了,我们来看几组肺结节随访病例模式图。
第一组:实性结节
患者1:2019年左肺发现一枚实性肺结节,两年后CT复查,肺内的这枚实性结节大小和形态没有明显变化。

患者2:2019年左肺发现一枚实性肺结节,两年的CT复查,肺内的这枚实性结节逐渐变小至消失不见了。

患者3:2016年右肺发现一枚实性肺结节,两年后复查CT,这枚结节明显增大,形态逐渐不规则,最后病理结果提示为肺癌。

第二组:磨玻璃结节
这是两例磨玻璃结节病例,肺结节既可以在三年的随访中保持不变,也可以在随访7个月后吸收消失了。


第三组:混杂磨玻璃结节
这是一例混杂磨玻璃结节,我们可以看到随着一次次的随访,结节的大小不断的增大,其中的实性成分也随之增多。该患者术后病理为肺癌。

所以,很显然,肺结节不等于肺癌。除了早期肺癌,肺部炎症、局灶性间质纤维化、出血等良性病变都可表现为磨玻璃结节。随访的结果决定了我们对“肺结节”的处理方式:继续随访、手术干预、或其他处理方式……
不同类型的肺结节的动态变化可以一样,也可以不一样,相同类型的肺结节也可以出现各种各样的变化,增大,缩小,或者是不变。这就是我们影像学上常说的同病异影,异病同影,影像学检查有其复杂性及局限性。所以,定期随访,动态观察更有助于影像诊断。
我到底该做哪种胸部CT检查呢?
医院常见的胸部CT检查有如下几种:
(1)胸部CT平扫: 用于体检、筛查,初步发现肺内病变。
(2)肺部小结节薄层CT: 一种专门的检查,与常规胸部CT平扫检查拆薄重建的图像不同,辐射剂量约是胸部CT平扫的三倍,显示图像细节上更清晰,用于进一步诊断以明确结节的类型,早期发现早期肺癌的首选。
(3)胸部低剂量CT:辐射剂量减少,但牺牲了一部分图像质量,适用于已经明确诊断且需要长期密切随访的患者,亦可用于年轻、低风险患者的肺结节初筛。
(4)胸部CT平扫+增强: 指的是给患者注射造影剂后再扫描检查。当病变较大时常伴随胸腔积液、肺不张等其他病变,增强检查可 1、增加病变组织与正常组织及血管之间的密度差,提高病变的检出率;2、根据病变血供强化程度,分析病变的性质;3、有利于区分纵膈内增大的淋巴结与血管,辨别异位血管及动脉瘤、血管畸形等。
辐射剂量:胸部CT平扫+增强 > 胸部小结节薄层CT扫描 > 胸部CT平扫 > 低剂量CT。
图像细节:肺部小结节薄层CT显示图像细节上具有显著优势,亦可行肺结节CT动态增强扫描。

文末小贴士
(1)就诊时建议带上往年的影像报告及片子,尽可能给就诊的医生提供更多有效的信息。
(2)查出来没有肺结节:我们仍然不能掉以轻心,近年来肺癌有年轻化趋势,规律体检依然有必要。
(3)查出来有小结节:我们需要关注是否为薄层CT?结节类型以及随访时间?对于密切随访的结节,我们要正视它,当然也不要过于畏惧它,要遵医嘱定期随访。
(4)尽量在同一家医院随访检查,方便前后CT片对比。
作者:鲁鸿飞 中山医院放射科基地住院医师
审核:余情 中山医院康复科副主任医师