由心脏大血管外科主任叶一舟主导,在心内科、麻醉科、超声科、放射科、手术室、导管室等团队成员通力协作下,上海市第一人民医院南部成功为一例高危患者实施了经导管主动脉瓣植入术(TAVR)。手术仅耗时40分钟,就完成了主要操作步骤。术后,植入的瓣膜工作稳定,患者恢复情况良好且无相关并发症。这也是松江区完成的首例TAVR术。
TAVR手术为高危患者降低风险
今年64岁的患者金先生八年前因为突发心绞痛被诊断为冠心病,在市一南部由叶一舟实施了冠脉搭桥术,术后规范的药物治疗以及良好的依从性使得金先生重获新生。然而近一年来,金先生隐隐感觉到胸闷、气促的症状又出现了,尤其是近半年,曾经一口气能毫不费力爬三四层楼的他经常半途需要喘气休息。
忧心忡忡的金先生来到叶一舟的专家门诊,复查的结果让他心里五味杂陈。好消息是当年搭桥的血管仍然是通畅的,坏消息是这次心脏里的“一扇门”坏了,心超提示主动脉瓣重度关闭不全且合并左室增大,需要实施第二次心脏手术。

这让金先生和家属犯了两难,一边是对生活质量的追求和渴望,另一边是孱弱的体质很难承受高风险的二次开胸手术。为此,叶一舟及其团队成员仔细分析、评估患者的临床资料,决定采用经导管植入主动脉瓣的技术来治疗金先生的心脏瓣膜病。这是近年来发展的微创新技术,无需进行传统开胸大手术,仅通过大腿上的两个小切口即可完成人工心脏瓣膜的植入。本着对叶一舟团队和市一医院的信任,金先生及家属积极配合开始了紧锣密鼓的术前准备。
3D打印模型开展术前预演
术前讨论由叶一舟牵头,集结了心内科、麻醉科、超声科、重症监护室、杂交手术室等相关科室主任参加,经过讨论,大家一致认为该病例属于极高危风险的心脏手术患者,特别适合TAVR手术适应症。

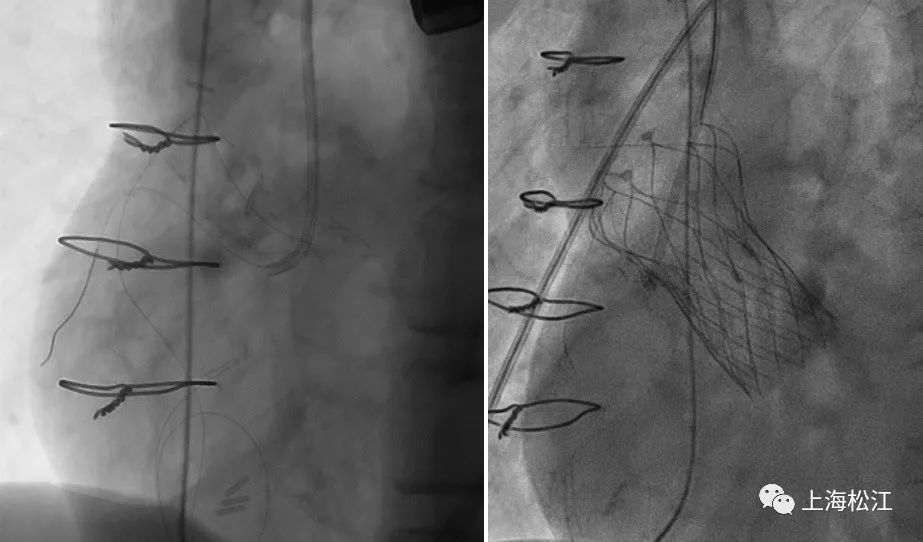
术前的CTA评估及心超提示,金先生的主动脉瓣膜以关闭不全为主,同时合并少量的钙化和瓣叶增厚,右冠开口仅有9毫米,有一定的冠脉遮挡风险。为了确保万无一失,手术团队采用3D打印的方式重建了主动脉根部,并在体外用真正的瓣膜支架预演释放介入式主动脉瓣,充分评估右冠状动脉开口遮挡的潜在风险。
多学科团队保障手术顺利
11月12日上午,手术进行。考虑该患者的右冠状动脉开口较低,首先由心内科李旭光操作,在右冠状动脉内留置了保护导丝及鞘管以备不测。随后,由叶一舟、施盛等团队成员经双侧股动脉做穿刺置管,成功建立了跨越主动脉瓣通往左心室的手术路径,在DSA影像和食道超声的辅助下,装载着瓣膜支架的输送系统缓慢送至预定释放位置,通过与麻醉医师的起搏配合,成功在主动脉瓣位植入瓣膜支架一枚。

手术后,医生们即刻通过超声及DSA造影确认:人工主动脉瓣膜开闭正常,无瓣周漏,无传导阻滞,冠脉血流通畅。术后患者返回ICU病房即刻拔除气管插管,意识清楚,术后第二日即下床活动,手术取得圆满成功。

经导管人工瓣膜植入技术在设计之初,正是为了拯救难以耐受开胸心脏手术的高龄、高危患者。目前,随着介入器械、手术技术的不断成熟,全世界越来越多的患者从该技术中获益。此次手术的圆满成功,既体现了市一南部多学科团队配合的雄厚实力,也进一步提升了南部心脏大血管外科的综合诊治水平。
文字:李天蔚 通讯员 路喆鑫
编辑:杨舒涵 许萍 李圆圆