同仁医线系列⑥
气温在秋雨后转凉,又到了心脑血管疾病高发的时候。
USUZAKI先生是在沪工作的日籍人员,由于反复胸痛到上海西区某医院看病。
正在看病时,意外发生了!他突然两眼上方、四肢抽搐,随后倒在了地上,昏了过去!
医务人员判断他发生了心脏骤停,第一时间进行了抢救——胸外按压、心脏电除颤、气管插管……经过努力,患者恢复了自主心跳,但是昏迷不醒。医生查看心电图后,考虑是急性心肌梗死!由于这所医院缺乏心梗的急诊手术条件,与病人家属沟通后,迅速呼叫120急救车,将患者转运至距离最近的并有能力开展急性心梗救治的医院——上海市同仁医院。

当病人到达我院时,接到预报的胸痛中心医护人员及心内科导管室早已就位。

结合病人的病情及心电图等检查,心内科邱朝晖主任高度怀疑患者是右冠状动脉急性闭塞。
虽然病人昏迷不醒,依赖呼吸机辅助通气,病情重而手术风险极大,但若能及时开通闭塞血管,仍存一线生机。
胸痛中心医师当即启动患者的心梗急诊手术绿色通道。病人被迅速护送至导管室,快速开始手术,进行动脉穿刺、血管造影,静脉用药并密切监测生命体征。

手术充满了危险,病人时刻处于生死关头。“嘀嘀嘀......”心电监护又报警了——室颤!手术医生和护士迅速而熟练地给病人胸外按压和电除颤,病人的心律再次稳定了下来。
病人的救治必须争分夺秒!
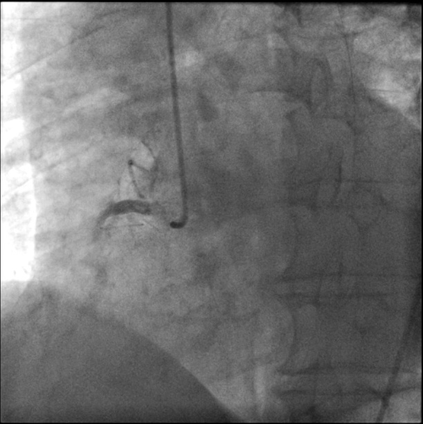
经验丰富的潘慧超主任快速地完成了冠状动脉造影,结果是右冠状动脉完全闭塞伴大量血栓——就是这些血栓堵住了关键的血管,导致了这次严重的急性心肌梗死发生!造影结果也证实了邱主任的判断。

(造影所示右冠状动脉近段闭塞,血栓远段不显影)
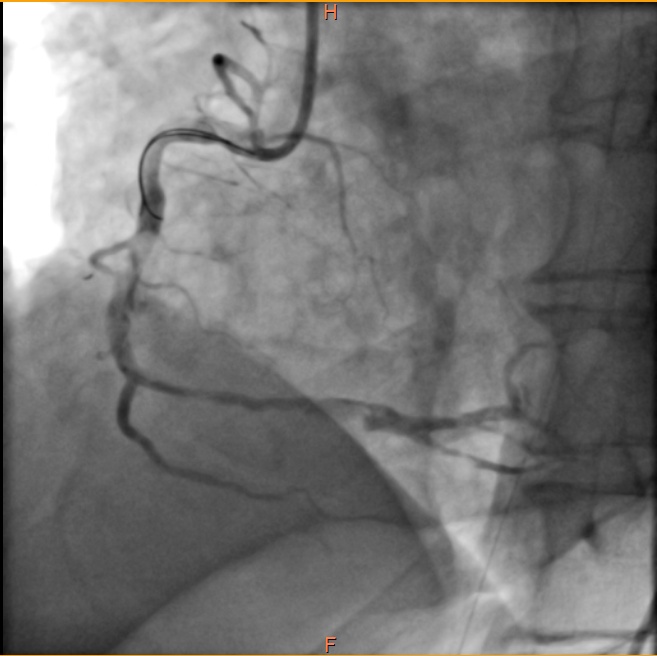
通过反复抽吸血栓并注射抗血栓药物,闭塞的血管再次有血流通过,病人心率、血压也稳定了下来。

(血栓抽吸后血管远段显影)
由于患者血栓负荷过重,短期内发生支架内急性血栓的风险较高,且闭塞血管已再通,生命体征都稳定,手术医生结合急性心肌梗死指南综合判断后决定先结束手术,将病人转入监护病房充分抗血栓治疗,待情况稳定后再行支架植入术。
病人虽然暂时脱离鬼门关,但仍未安全。为了减少心脏骤停后的并发症,还请了呼吸与危重症医学科和神经内科协同给予积极综合的治疗。经过不懈努力,病人逐渐恢复了意识,术后第二天脱离了呼吸机。

(心内科医师、翻译与患者及家属进行病情沟通)
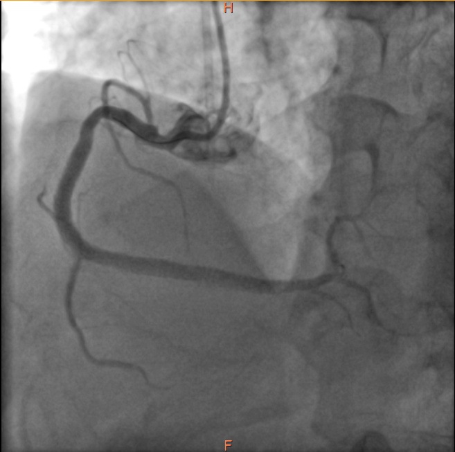
虽然如此,病人右冠状动脉的危险情况仍未完全解除,如同达摩克利斯之剑悬在头顶,不知未来哪天还会再发心肌梗死。经过心内科医师与患者家属的积极沟通解释,几日后再次送至导管室,于右冠状动脉病变处植入了心脏支架,保障了血流通畅。
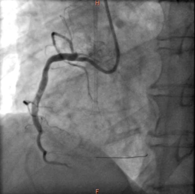
01

右冠复查造影
02

介入术后的右冠

(出院前心电图恢复至几乎正常)
转危为安的USUZAKI先生一天天好转了起来,出院那天他为所有医护人员翘起了大拇指。
上海市同仁医院设置有胸痛中心,有5组急诊冠脉介入人员时刻准备着,可以迅速启动急性心梗救治的绿色通道,能在患者进医院大门90分钟内行急诊PCI术开通闭塞冠脉,挽救更多患者的生命。
为了帮助急性心肌梗死患者出院后的恢复治疗,我院心血管内科设立了介入门诊,方便患者前来门诊随访和配药。
【心内科介入门诊时间】
周一下午、周三下午、周五全天
【心血管内科门诊时间】
周一至周日全天
【胸痛中心】
周一至周日0:00-24:00
供稿:心血管内科 徐颖杰
编辑:宣传科