在寒冷季节,涮肉火锅成了进食首选,然而,你绝对想不到,火锅也可能威胁生命!
涮肉烫不熟,小心“虫吃人”
对于吃货们来说,没有什么能比吃吃吃更幸福了。
在涮肉时为了贪那一口“嫰”,不少人把肉“烫”一下就入口,并没有完全熟透的食物,给了寄生虫钻空子的机会。
一顿火锅,大脑“生虫”
2019年,浙江46岁的建筑工人朱先生趁着发了工资,买了不少牛羊肉,准备犒劳自己一顿麻辣火锅。
由于红汤中很难判断肉片是否煮熟,朱先生也不管三七二十一,将肉片全部填塞下肚,一顿美餐后,问题来了。
不久之后,身体一向健康的朱先生白天时常觉得头晕、头顶胀痛,并且半夜熟睡状态中出现肢体抽搐、口吐白沫等癫痫症状。
就医检查后,医生发现,朱先生患了脑囊虫病。

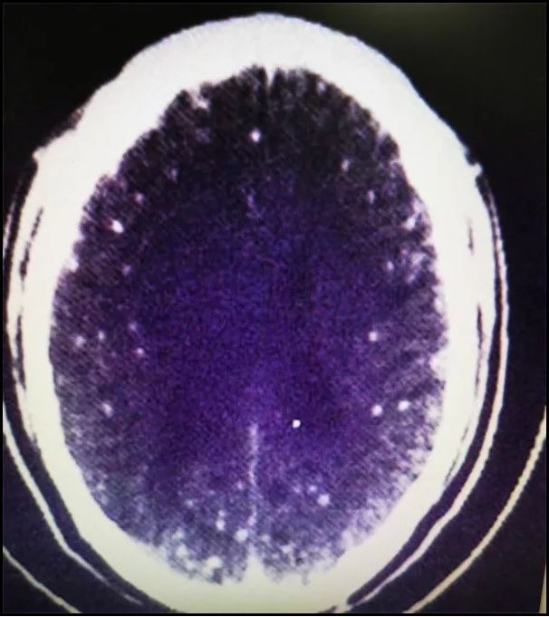
△颅内CT显示有多个白点病变(来源:浙大一院)
对此,医生解释,之所以寄生虫会出现在朱先生的脑子里,问题不是出在火锅本身,而是涮的猪肉、羊肉可能本身有猪囊尾蚴虫寄生,吃火锅时,肉没有涮熟透,导致猪囊尾蚴虫通过消化道进入了脑子。
常食鱼生,肠道生虫
广东中山17岁的女孩小青(化名)是个美食达人,非常喜欢食用鱼生等“鲜食”。
不过,最近两个月她遇到了一点麻烦——长期腹痛腹泻不止。
就医后,医生为小青进行胃肠镜检查,发现其肠腔内布满了多条活生生、正在蠕动的寄生虫!
连医生都被吓到了,因为随便在一个镜头下面都看到有五六条虫,有的甚至咬住了肠粘膜,引起肠道损伤出血。

至于小青为什么会感染寄生虫,医生表示,有可能是因为其长期食用刺身和鱼生等生食有关。
火锅不停,眼睛失明
最近,杭州的项大姐也受到寄生虫的困扰。
作为社交达人的她,由于经常与朋友火锅聚餐而感染了弓形虫,导致视力急剧下降,给生活带来了严重不便。

很多寄生虫,都是吃出来的!
寄生虫病并没有感冒多见,但生活中也不乏某些饮食中,因疏忽而出现感染寄生虫的情况。
尤其是下面这些食物,都有较大的寄生虫感染风险。
1
肉类
淡水虾蟹:肺吸虫
淡水鱼:肝吸虫
蛙肉或蛇肉:曼氏裂头蚴
牛肉:绦虫
地摊小螺:管圆线虫
黄鳝:颚口线虫
牛羊肉:弓形虫
……
2
蔬菜类
水芹菜:肝片形吸虫
荸荠:姜片虫
菱角:姜片虫
……
此外,茭白、香菜、青菜、京葱、白萝卜的寄生虫检出率也都比较高。
远离寄生虫,记好3句话
生活中,寄生虫无孔不入,我们无法完全避免和寄生虫接触,但想要防止感染,也是很容易的一件事,只要大家记好这3句话——
1
正规场所购买食材
买肉要到正规场所,有检验检疫保证。不要随便吃野外的各种野味。
2
彻底加热
不论是烹制肉类还是蔬菜,最好的预防寄生虫的方法就是——煮熟了再吃!煮熟了再吃!煮熟了再吃!
除此之外,并没有其它100%的预防方法。
尤其是我们经常用的芥末、白酒、葱、姜、蒜等根本就没有杀虫(卵)的效果,即使是90℃的热水,只要煮的时间不足也不能将之杀死。
在食用蔬菜时,我们建议尽量不生吃菱角、荸荠、莲藕等水生植物,即使要生吃,也不要用牙齿啃皮,一定要充分洗擦,并用开水烫泡几分钟或阳光下晒一天后再吃。
3
生熟要分开
生熟食物,无论是存放,还是切割,都要注意分开,避免生熟食交叉污染。
比如刀具、砧板、碗盘等器皿生熟要分开使用,不得混用。放生食的厨具必须清洗消毒后方可再使用。
T
注意
有一些人认为吃鱼生哪怕有寄生虫也没关系,每年打虫就行了,这也是错误的!
要知道,对于多种寄生虫来说,即使通过药物手段“消灭”了体内的活虫,其死后留下的尸体、排泄物等,依然对身体造成持续损伤。
因此,避免寄生虫危害的最好方法就是——注意饮食卫生。
资料:养生中国、科普中国、健康时报、检验医学
编辑:王雨思