

巨大垂体腺瘤的双镜联合手术治疗
编者按
一切科学的进步与发展都离不开创新的作用,医学更如是......记得瑞金医院内科奠基人邝安堃教授曾说,“做学问,不要只做人家做过的事情。”
是的,勇于创新就是所有瑞金人的精神内核,百十年来他们坚持完善科研体系,坚持把创新成果写在病人的健康本上。我们推出“瑞金医术”系列报道,深度揭秘这些前沿技术……
64岁的姚阿姨坐着轮椅被家人推进瑞金医院神经外科诊室时,显得了无生气——她的双眼几近“失明”,同时伴有的头晕、呕吐、四肢协调性越来越差等症状让她备受折磨。原来,5年前她就开始出现视力下降,以为是老化导致的眼部病变,在老家辗转就医却并没有起色。随着视力的下降近乎失明后,姚阿姨“脑子的里的问题”渐渐浮出水面,家人决定还是去上海的大医院看看!
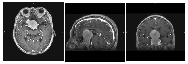
在瑞金医院神经外科,头颅磁共振的检查结果印证了医生的预判,姚阿姨颅内确有一个小苹果似的垂体肿瘤(53*45*59mm),因为肿瘤压迫到了视神经等才会引发上述症状。手术切除肿瘤是当务之急!

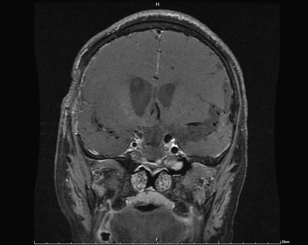
手术前
然而,一道难题摆在了身经百战的神外医生面前。据瑞金医院神经外科卞留贯主任介绍,对于颅内肿瘤而言,姚阿姨这样大小的垂体肿瘤已属非常巨大,按照传统的手术方案,这样手术一般会分开颅和经蝶2次进行,患者将面临术中脑组织牵拉、脑脊液漏及术后并发症等风险。但姚阿姨因为长期素食营养不够、又有严重的贫血,体内代谢也处于紊乱状况,身体机能很有可能承受不了分次手术,最好一次手术切除肿瘤!
患者的需要就是医者前进的最大动力,为了为姚阿姨制定最为周全的手术方案,神经外科团队在卞留贯主任的带领下,协同相关学科一起评估病情,讨论研究最佳手术方式,经过缜密的考量,最终决定为姚阿姨开展双镜联合手术治疗。

手术采用两组医生,分别用显微镜经颅和内镜经鼻的方法,同时实施上下联合手术。最终,姚阿姨的手术顺利完成,加上后期的康复治疗,出院时,姚阿姨已经恢复了部分视野,可看到前方并独立行走回家了。


手术后
“双镜联合手术的技术使用,可以在同一台手术中发挥取长补短的优势,充分利用内镜的纵深、角度优势与显微镜下的立体视野和操作空间优势,根据病变的位置、大小和性质,同时进行肿瘤的切除和双向修补,规避了单一手术可能会带来的等技术的不足之处。打个比方,显微镜就像海水表面的战斗机,内镜就像是海里的潜艇,双者联合作战就有了三维打击航空母舰的战斗力。”卞主任介绍说。

双镜联合手术成果简介
国内神经外科领域对于巨大颅底肿瘤的切除往往采用分次分期手术,随着显微外科、内镜技术的不断发展和外科理念的更新,同期联合手术切除巨大颅内肿瘤已逐渐发展为可行的技术方案。本学科对该项技运用于巨大垂体瘤进行了初步的探索,证实了该项技术的可行性,在上海乃至全国属首创的外科技术。
双镜联合手术技术要点
双镜联合颅底手术是联合运用显微镜和神经内镜技术。其中,显微镜下的显微神经外科技术目前是成熟的颅内肿瘤手术技术,尤其适合于传统开颅手术的实施。神经内镜技术是近几十年来逐步取代传统方式,成为中线颅底部位手术的常规治疗方式,尤其是对于侵袭性垂体瘤,改变了以往经蝶手术在中手术视野不足,操作不便的困难。但两种技术都存在一点的局限性,其中经颅显微镜下的手术由于视角、手术方向等因素,使其处理突向三脑室方向和鞍内方向的病变时,通常较为困难。而内镜技术在处理鞍内病变时具有明显优势,其次当病变往三脑室方向生长,经鼻入路是最佳的手术通道,无重要神经血管结构的阻挡。假若病变向侧方生长,内镜的操作将受到很大的限制,而显微镜由于是侧方视野,可以有效地处理此类病变,并且在立体视野的分离操作也是显微镜技术的优势。双镜联合手术的技术要点在于充分利用两种不同技术的技术特点,起到扬长避短的效果。
上下滑动查看更多
项目完成人介绍



素材 吴辛遥
编辑 唐文佳