刘博(同济大学附属同济医院泌尿外科副主任医师)
马佳兴(同济大学附属同济医院泌尿外科医师)
吴登龙(同济大学附属同济医院泌尿外科主任医师、学科带头人)
35岁的王女士,被高血压缠上一年多了,反复头晕,每天按时吃降压药,可血压就像“顽固分子”,怎么压都压不下来。更让她困扰的是,最近三个月,没由来地双腿发软、浑身没劲儿,夜里还总频繁起夜。王女士辗转了好几家医院,换了多种降压药,可血压依旧居高不下。直到医生建议她做肾上腺CT检查,谜底才算彻底揭开——原来,她的肾上腺上,悄悄长了一个小小的肿瘤!
王女士当场就懵了:“我就是个普通高血压,怎么还要上手术台?”其实很多人都不知道,咱们身体里那个不起眼的肾上腺,一旦长了瘤,就可能成为导致高血压的 “罪魁祸首”。为啥有的高血压患者,吃点药就能稳稳控制,而像王女士这样,吃药完全没用,还得靠手术解决?接下来,带你揭秘肾上腺背后的秘密。
什么是肾上腺?肾上腺是肾脏上方的一顶“小帽子”,别看他个头比拇指还小,这顶小帽子可是很多激素的大本营,其中就包括醛固酮激素。
平常醛固酮的作用就是让水和钠乖乖待在身体里,维持水和电解质的平衡。可一旦有个不速之客——瘤子闯了进来,肾上腺就开始“发疯”了,不停的产生醛固酮激素,身体怎么拦都拦不住。不断分泌的醛固酮激素让越来越多的水钠待在身体里排不出去,最终血容量增多,血管被撑大,高血压就来了。
更可怕的是,醛固酮它本身就是有害的,它不止会升高血压,还会偷偷“伤害”你的心脏,让心脏慢慢变“硬”,本来心脏柔软又有活力,能蹦蹦跳跳,但在醛固酮的折磨下,它变得越来越僵硬,最后连跳都费劲了。这样下去,醛固酮对心血管的危害会远超普通高血压。多项研究一致表明,醛固酮瘤患者的心血管并发症(如心肌梗死)的风险显著高于原发性高血压。现在你终于明白为什么一定要趁早“铲除”这个瘤子了吧?

人体中的肾上腺
原发性高血压就是血管壁长期受到了各种有害因素的伤害,导致原本具有弹性的血管慢慢变得“僵硬”,血液流过时,挤压着“僵硬”的血管壁,血压就升高了。而常用的降压药就是帮助“僵硬”的血管放松舒张,所以原发性高血压患者一吃就管用。
但是醛固酮瘤这个“坏蛋”,它完全是另一回事,它不停地让身体留住多余的水和盐分,结果血容量增多,把血管壁越撑越紧。一个是血管硬,一个是血太多,病根不一样,用舒张血管的药物,去治疗“血容量撑出来”的高血压,当然没用了!
确诊高血压后,服用降压药却没有效果,血压依然“顽固不降”,这时候你就要警惕醛固酮瘤了。
更典型的表现是同时伴有低血钾的表现,例如四肢无力,浑身没劲。除此之外,也会出现夜里频繁起夜、口渴、想喝水的情况。如果出现以上症状,就别只当成普通高血压了,可能是醛固酮瘤在背后“作祟”,一定要前往医院进一步确诊。
答案是:看看你是不是高危人群。
早一点筛查、早一步确诊醛固酮瘤,既能减轻心、脑、肾等靶器官的损害,又能省钱省心。所以现在医学界越来越主张:高血压患者都应该筛查原发性醛固酮增多症,特别是下面这几类高危人群,一定要重视起来:
(1)持续性高血压(>150/100mmHg)患者;或使用3种常规降压药(包括利尿剂)无法控制血压(>140/90mmHg)的患者;或使用≥4种降压药才能控制血压(<140/90mmHg)的患者;
(2)高血压同时还出现低钾,例如没怎么用利尿剂就乏力,或者是用了利尿剂出现明显低钾的人;
(3)确诊高血压,同时做检查时又发现了肾上腺长了意外瘤的人;
(4)年纪轻轻就患上高血压(<40 岁),或家里有年轻时就发生脑梗、脑出血家族史的人;
(5)直系亲属里有人确诊过原发性醛固酮增多症,自己又有高血压的人;
(6)高血压同时还伴有睡觉打呼噜、呼吸暂停的人。
醛固酮/肾素比值是醛固酮瘤筛查的首选指标,通过血浆醛固酮浓度与肾素浓度的比值判断醛固酮分泌是否异常。
正常情况下,人体有一套“自动刹车系统”,也就是肾素-血管紧张素—醛固酮调节系统,当醛固酮过多时,身体就会留住更多的水和钠,血容量一多,血压就升高了。面对这种情况,肾脏可不是“吃素”的,它一旦“察觉”到血容量增多了,就会减少肾素的分泌,进而使血管紧张素生成也减少,最终抑制醛固酮分泌,让身体的血容量维持平衡。但这个瘤子可不听身体的话,它会自主分泌大量醛固酮激素,导致血压升高。在这种情况下,这套“刹车”系统仍在努力工作,拼命把肾素压得很低很低。可即便如此,这个瘤子依旧在持续制造大量醛固酮。因此,这类患者会有高醛固酮和低肾素的特征,醛固酮/肾素比值显著升高。

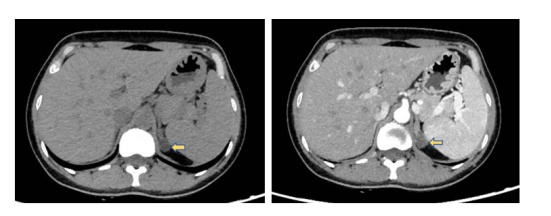
肾上腺肿瘤在CT上的表现
答案是:到泌尿外科!
很多人听到都懵了,治疗高血压不是应该去心内科吗,为什么要到泌尿外科?
这我们就不得不提到一个很多人不了解的专业领域——高血压外科。简单来说,当一个患者有顽固性高血压,吃药效果不佳,而病根又在肾上腺或肾脏时,就可以通过外科手术解决血压问题。除了上述的醛固酮瘤,还有库欣综合征、嗜铬细胞瘤等肾上腺疾病,以及肾积水、肾肾肿瘤等部分肾脏疾病也会引发高血压,所以要想“根除”这类高血压,往往是需要手术的。
针对这类可通过手术治愈的高血压,专业的诊疗团队尤为重要,同济大学附属同济医院率先设立高血压外科,并组建了专门的高血压外科团队,汇集了泌尿外科、内分泌代谢科、医学影像科、介入科、心血管内科等多个科室的资深专家,致力于继发性高血压的诊断与治疗。而且大家也不用担心手术要在肚子上划“大口子”,现在已经采用腹腔镜微创手术,只需要在肚子上打几个孔,把引起高血压的病根去除,术后患者的血压通常会有明显改善,甚至有的患者不用长期吃降压药。

继发性高血压的常见病因
高血压可分为原发性高血压与继发性高血压,我们生活中常见的高血压多数为原发性高血压,这种高血压就是天生遗传和日常不规律的生活饮食所导致的结果,并且长期的高血压对心脏和血管等器官有严重损害,因此原发性高血压患者要终身服药。
根据2015年的调查,在我们国家每四个人中就有一个是高血压患者,而在这些看似普通的高血压患者中,其实还悄悄隐藏着一部分继发性高血压。继发性高血压,就是被别的病“带出来”的高血压。过去由于重视程度不足以及检测手段有限,人们曾认为继发性高血压发病率很低,连5%都不到。但现在医学技术发达了,各种检测手段越来越精确,继发性高血压的检出率也随之提高了。
而原发性醛固酮增多症是继发性高血压中最常见的“罪魁祸首”。这类高血压对心肾脑等器官的损伤更狠,如果只是当作普通高血压吃降压药治疗,不仅不能“铲除”病根,还会延误病情,加重器官损害。对于很多继发性高血压,我们只要找到病根,一刀解决,血压就会恢复正常!这下你能分清得了高血压后,到底是吃药还是开刀了吗?