便血,在很多人看来只是“上火”或痔疮的小病,忍一忍或用点药就过去了。但对65岁的老张(化名)来说,这一次“便血”却意外揭开了体内埋藏已久的两枚“定时炸弹”:一边是疯狂生长的直肠癌,一边是随时可能破裂夺命的主动脉夹层。
近日,上海市杨浦区中心医院普外科团队在多学科协作(MDT)的支撑下,利用先进的机器人手术系统,在短时间内连续“拆弹”,最终成功帮助患者绝地翻盘。
两枚“炸弹”随时爆发
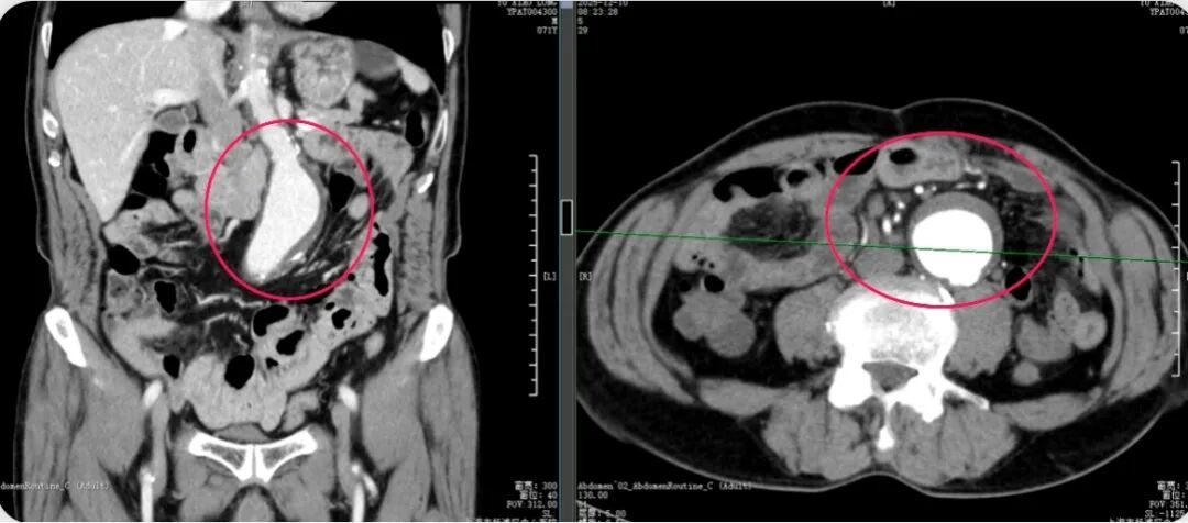
因便血入院时,老张并未意识到问题的严重性。然而,胃镜、肠镜、增强CT……一系列检查后,诊断结果如晴天霹雳:直肠中段腺癌;更令人倒吸一口凉气的是,检查竟意外发现老张的腹主动脉存在孤立性夹层,且直径已超过5厘米。


直肠中段腺癌

主动脉夹层
“这在医学上极其凶险。”主治医师李清华打了个形象的比喻:“把主动脉想象成一根三层结构的水管。正常情况下三层紧密贴合,一旦内层破裂,血液就会像洪水一样钻进夹层,像轮胎鼓包一样越撑越大。老张的血管‘鼓包’已达5厘米,随时可能‘爆胎’,一旦破裂,患者可能在几分钟内因大出血死亡。”
此刻,老张的身体里仿佛装了两枚倒计时的炸弹:一枚是随时可能引爆的“血管炸弹”,一枚是不断侵蚀健康的“癌魔”。
按常规思路,若先进行癌症手术,术中的应激反应和血压波动极易导致脆弱的主动脉夹层破裂,风险极大;若先处理血管夹层,再行传统开放手术或腹腔镜手术,因手术创伤较大,难以在短时间内承受二次手术,这被迫拉长的等待期,极易导致直肠癌病情进展甚至转移,从而延误最佳治疗时机。
MDT多学科“双剑合璧”
面对这一棘手难题,普外科迅速启动应急机制。普外科副主任刘海龙牵头,第一时间组织了胃肠外科、血管外科、麻醉科、影像科等多学科专家进行紧急MDT多学科会诊。
“既然传统手术创伤大、间隔久,那我们能不能利用机器人手术系统的微创技术优势,缩短间隔,实现‘快速接力’?”会诊现场,专家们经过激烈的讨论和严谨的评估,最终制定了一个大胆而周密的方案——短期内分期微创联合手术。

这一方案的核心在于“快、准、稳”与“微创优势”:先由血管外科团队通过微创手段拆除“血管炸弹”,短暂休整后,由胃肠外科团队利用机器人手术系统精准切除直肠肿瘤。机器人手术具有创伤小、恢复快的重要特点,能够帮助老张在处理完凶险的主动脉夹层后,以最短的间隔承接癌症根治术,这是传统开腹甚至普通腹腔镜手术难以做到的。
机器人手术微创拆弹
手术方案确定后,一场与时间的赛跑随即开始。
第一战,拆除“血管炸弹”。血管外科团队采用了EVAR(血管腔内修复)技术在老张的双侧大腿根部切开各一个约1厘米的小口,通过导管将覆膜支架精准置入主动脉病变部位。支架如同一层坚固的“补丁”,迅速将血液与破损的血管内壁隔绝,“炸弹”被成功拆除。全程无需开腹,出血少,血压平稳过渡。


第二战,切除“癌魔”。血管手术成功后,经过几天恢复与调整,胃肠外科团队接力跟上。在以往的腹腔镜直肠癌根治术中,由于盆腔空间狭窄,操作难度大,可能出血多,术后恢复慢,还容易损伤神经,影响患者术后的排便和排尿功能。而这一次,团队采用最先进的机器人手术系统彻底改变了这一局面。

操作台前,林谋斌教授通过目镜,看到了被放大10倍的高清3D视野。原本深藏于狭窄盆腔深处的肿瘤及其周围细微的血管、神经,此刻如同一张高清地图般呈现在眼前。他双手操控控制器,在机械臂的精准配合下,游离、结扎、切除,每一个动作都精准到毫米级。肿瘤被完整切除,周围神经功能得到了最大程度的保留,整台手术出血量少,仅在患者腹部留下了几个钥匙孔大小的创口。
“正是因为机器人手术创伤极小,才使得我们敢于在短时间内进行第二次手术。”刘海龙主任解释道。
精心护理加速康复
经过几天的恢复期,老张也迎来了崭新的生活。“真没想到,解决了两个大毛病,身上却没有大口子,恢复得还这么快。”

老张的惊喜,离不开医院的精心护理。医护团队为老张制定了详尽的围手术期管理方案:术前精准评估避免了不必要的禁食和肠道准备;术中微创操作减少了应激创伤;术后通过多模式镇痛和早期活动计划,老张很快便恢复了肠道功能,并能下床活动。
刘海龙主任介绍道,“我们不仅要把病治好,还要让患者活得有质量,这是我们的追求。”
专家介绍

林谋斌
院长
主任医师、教授、普外科学科带头人、博士研究生导师
专长:
各类胃肠肿瘤腹腔镜及机器人微创根治手术,尤其擅长超低位直肠癌的保肛手术;顽固性便秘的微创手术(改良Duhamel手术)、肛瘘的微创治疗(视频辅助肛瘘治疗VAFFT)、克罗恩病的微创手术、溃疡性结肠炎和家族性息肉病的IPAA手术、直肠脱垂的微创手术及直肠阴道瘘的手术治疗、功能性胃肠病的手术治疗等。
2004年在国内率先开展超低位直肠癌保肛手术(ISR手术),2015年完成上海首例完全经肛的腔镜下超低位直肠癌保肛术(NOTES手术),2015年5月完成国内首例视频辅助肛瘘治疗技术;作为国内膜解剖研究的先行者,提出了直肠癌“两间隙”侧方淋巴结清扫术等一系列创新术式。
特需专家门诊时间:
周一下午
总院(平凉路2200号)

刘海龙
普外科副主任(主持工作)
副主任医师、医学博士、硕士研究生导师
专长:
擅长胃肠肿瘤的腹腔镜及机器人微创手术,低位直肠癌保肛术,慢性功能性便秘的综合治疗,复杂性肛瘘、痔疮的手术治疗。
专家门诊时间:
周一上午
总院(平凉路2200号)

杨 力
副主任医师
专长:
下肢浅静脉疾病、下肢深静脉血栓及后遗症、下肢动脉硬化闭塞症、糖尿病周围血管病变的诊断和治疗。
专家门诊时间:
周五下午
总院(平凉路2200号)

蔺松若
副主任医师
专长:
擅长下肢动脉硬化闭塞症 糖尿病周围血管病变、大动脉病变、下肢浅静脉疾病、下肢深静脉疾病诊断治疗;擅长糖尿病足创面修复及序贯治疗。

李清华
主治医师
专长:
胃食管反流病的微创手术治疗,肝胆胃肠肿瘤的精准诊疗,熟练掌握单孔腹腔镜手术、无疤痕等技术,近3年发表数篇sci及核心期刊文章,主持上海区级课题等多个课题。
胃食管反流专病门诊时间:
周一上午
总院(平凉路2200号)

编辑:熊乙
资料:区卫健委
*转载请注明来自上海杨浦官方微信
