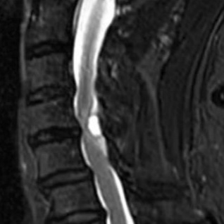
近日,奉贤区中心医院多学科团队紧密协作,成功救治一名因颈椎椎管内占位伴血肿形成、突发剧烈臂痛险些瘫痪的六旬患者。经精准诊断、精细手术及系统康复,患者一周内顺利康复出院,彰显区域医疗中心急危重症救治能力。 患者王老伯数日前突发右上臂剧烈放射性疼痛,右侧肢体迅速无力,持物、行走均受严重影响,病情进展极快。家人紧急将其送至区中心医院就诊。经初步检查,医生高度怀疑为颈椎椎管内占位性病变伴血肿形成。该病若脊髓长期受压,极易造成不可逆神经损伤,甚至导致瘫痪。 区中心医院随即启动多学科会诊(MDT),集结骨科、神经外科等相关科室专家进行联合评估。 神经外科团队率先为患者施行脊髓血管造影,明确病灶位置与范围,排除脊髓血管畸形的可能,为后续手术方案的制定提供了精准依据。 然而术前评估带来了新难题:王老伯还合并有睡眠呼吸暂停综合征与阻塞性肺病,这增加了手术与麻醉的风险。呼吸与危重症医学科随即为其量身定制了呼吸调理方案,并指导术前呼吸训练;耳鼻咽喉科协助排查气道梗阻隐患,优化呼吸道管理策略。在多学科协作下,王老伯的呼吸功能被调整至可耐受手术的状态。 颈椎手术被誉为脊柱外科“皇冠上的明珠”。颈椎椎管内部空间狭窄,神经结构密集,加之肿物与神经粘连紧密,手术操作难度极大。骨科林在俊主任医师团队综合多学科会诊意见,经过反复研讨,最终制定了个性化的精细手术方案。 手术当天,麻醉科团队精准实施麻醉,并全程动态监测患者生命体征;手术室护理团队默契配合,严格执行无菌操作,为手术安全保驾护航。在多学科团队的紧密协作下,林在俊主任医师在手术显微镜下以毫米级精度逐步操作,完整清除了肿物及血肿,并切开硬膜进行探查,确保无病灶残留。手术在最大程度保护神经功能与脊柱稳定性的前提下顺利完成,术中出血少,创伤小。 术后第二天,患者臂痛明显缓解,可自主翻身、抬手。疼痛理疗科同步开展个体化康复训练,术后一周,患者已能独立行走、生活自理,顺利康复出院。 专家提醒:这些信号别当“小毛病” 颈肩腰腿痛不可轻视。如出现突发剧烈疼痛、肢体麻木无力、步态不稳等症状,可能是椎管内病变信号,务必尽早到正规医院就诊,避免延误最佳治疗时机。 专家信息 各种复杂脊柱疾患的手术治疗及微创治疗。尤其擅长:脊柱肿瘤手术治疗及综合治疗;椎管内(外)肿瘤切除手术;各种颈、腰椎疾患(包括颈椎病、腰椎间盘突出症、椎管狭窄症、腰椎滑脱症等)及脊柱骨折的微创治疗。 奉贤区中心医院骨科 专家门诊信息一览 上海市第六人民医院 *根据出诊时间排序 奉贤区中心医院 *根据出诊时间排序 门诊预约电话 021-375385222(8:00—16:00)






编辑:何琪
•end•
更多精彩内容,请关注“美谷奉贤”APP
往期精彩回顾
从射击到索降,直击奉贤特警春日“硬核”练兵场
服务升级,就在家门口!四团镇镇西村“中医特色卫生室”提档升级、全新亮相!
189个岗位,招聘710人!奉浦街道专场招聘会“职”等你来
海湾森林公园美人梅含苞待放,本周末迎最佳观赏期
“全球第一”背后的“奉贤制造”!PEEK新材料为机器人减重超5公斤丨营商环境 “优”无止境