
“胸背痛得像被撕裂一样……”79岁的张爷爷(化名)怎么也没想到,一场突如其来的剧痛,竟是“血管炸弹”引爆的致命危机。
近日,上海市奉贤区奉城医院多学科协作,成功救治一名突发主动脉夹层(Stanford B 型)破裂的79岁高龄患者。医院通过急诊绿色通道快速诊断、多学科联合会诊制定微创方案,历时3小时精准手术,成功为患者 “拆除”体内“血管炸弹”,目前老人已转危为安、平稳康复。
撕裂痛突袭,高龄老人命悬一线
“医生!快救救!他疼得快不行了!”张爷爷在家中突发胸背部撕裂样剧痛,伴随呼吸困难,家人立刻拨打120求助。抵达奉城医院急诊科时,老人的情况已万分危急——心率飙至101次/分,血压却低至休克,意识逐渐模糊,随时可能因失血过多猝死。
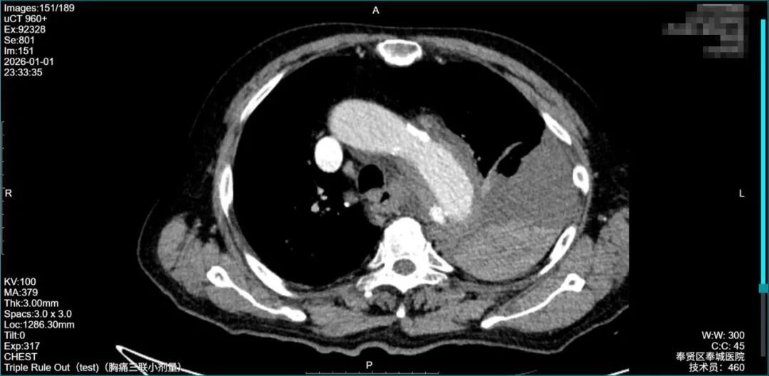
急诊团队凭借多年急危重症救治经验,瞬间判断这绝非普通胸痛!“立刻启动紧急救治绿色通道!”随着指令下达,吸氧、补液、心电监护等一系列生命支持措施同步进行。在患者血压极不稳定、无法长时间耐受检查的情况下,影像科团队火速到位,急诊增强CT血管成像(CTA)仅用15分钟就锁定“元凶”:主动脉夹层(StanfordB型)破裂!血液已涌入纵隔及左侧胸腔,形成巨大血肿,如同“血管破了个大洞”,每分每秒都在吞噬生命。


“血管炸弹”难破,多学科连夜会诊寻生机
主动脉夹层被称为“血管上的炸弹”,而StanfordB型破裂出血,更是“炸弹中的炸弹”——死亡率极高,传统开放手术创伤巨大,79岁的高龄老人根本无法耐受。时间不等人,医院当即启动最高级别应急响应,血管外科、手术麻醉科、输血科、重症医学科(ICU)专家火速集结,一场紧张的多学科紧急会诊(MDT)在急诊办公室同步进行。
“必须第一时间保命!”团队一边争分夺秒讨论方案,一边紧急联系上海市第九人民医院血管外科陆信武教授。远程+现场双重研判后,专家团队敲定了一套“个体化微创方案”:先通过“胸主动脉腔内修复术(TEVAR)+激光原位开窗+左侧锁骨上动脉支架植入术”堵住破口、重建血管,等患者情况稳定后,再择期进行“胸腔血肿清除引流”。这套方案最大限度减少手术创伤。

微创“补血管”,精准操作隔绝致命出血
“麻醉准备就绪!”“DSA设备调试完毕!”“支架到位,随时可以释放!”深夜的手术室灯火通明,一场与死神赛跑的微创手术正式开始。在麻醉团队的严密监护下,血管外科医生通过股动脉穿刺,将纤细的导管精准送入主动脉。
数字减影血管造影(DSA)的屏幕上,每一个操作都关乎生死。医生如同“血管里的拆弹专家”,在毫米级空间内操控器械,将覆膜支架稳稳输送至破裂处——“释放!”随着一声指令,支架瞬间展开,精准“堵”住主动脉破口,出血立即得到了有效控制!紧接着,团队再经左侧肱动脉穿刺,通过激光原位开窗技术为左侧锁骨上动脉“开辟通路”,成功完成血管重建。
术后影像显示:覆膜支架定位精准,主动脉破口被完全隔绝,血管血流恢复正常!


从危急到平稳,生命之花重燃
手术成功只是第一步,术后监护同样关键。张爷爷被立即转入重症医学科(ICU),这里的医护团队早已严阵以待,展开全方位生命支持与监护:精准调控血压、监测胸腔引流、预防感染……每一个细节都做到极致。
在ICU团队的精心照料下,张爷爷的生命体征逐渐平稳,意识慢慢清醒,胸腔引流液逐日减少。几天后,他顺利转出ICU,进入普通病房。如今,老人已能正常交流,身体正在稳步康复中,家人握着医护人员的手连连道谢:“是你们没放弃,才给了老爷子第二次生命!”

以患者为中心,构筑生命防线
此次成功救治,并非单一科室的“独角戏”,而是奉城医院多学科协作(MDT)模式的生动实践。从急诊科的快速响应、影像科的精准诊断,到血管外科的微创攻坚、麻醉科的全程护航,再到九院专家的即时指导、ICU的精心守护,每个环节环环相扣、无缝衔接,彰显了医院高效的应急处置能力和高超的专业技术水平。
“主动脉夹层B型破裂出血,对高龄患者来说堪称‘致命一击’。”奉城医院血管外科宋菊民主任介绍,此次采用的腔内微创技术结合激光原位开窗的个体化方案,最大限度减少了手术创伤,为高龄危重患者赢得了生机。
未来,奉城医院将继续深化“以患者为中心”的服务理念,强化急危重症救治体系建设,完善多学科协作模式,不断提升复杂疑难疾病的综合诊疗能力,为区域百姓的生命健康筑起一道坚不可摧的“防护墙”!

上海市奉贤区奉城医院
血管外科Vascular Surgery




奉城医院血管外科是首批奉贤区特色专科、奉贤区周围血管疾病临床诊疗中心,拥有奉贤区名医师宋菊民工作室、上海九院血管外科名医工作站。常规开展大隐静脉腔内激光闭合术、下腔静脉永久性滤器植入术、下肢深静脉血栓“一站式”清除术、下肢动脉血管腔内成形术、主动脉瘤腔内隔绝术(EVAR)、主动脉夹层腔内修复术等新技术,并将临床研究项目成果进行推广应用。
咨询电话:021-57522565转8511
报送:区卫生健康委(沈群)
奉城医院(黄家麒)
编辑:夏阳
•end•
更多精彩内容,请关注“美谷奉贤”APP
往期精彩回顾
从射击到索降,直击奉贤特警春日“硬核”练兵场
服务升级,就在家门口!四团镇镇西村“中医特色卫生室”提档升级、全新亮相!
189个岗位,招聘710人!奉浦街道专场招聘会“职”等你来
海湾森林公园美人梅含苞待放,本周末迎最佳观赏期
“全球第一”背后的“奉贤制造”!PEEK新材料为机器人减重超5公斤丨营商环境 “优”无止境