前些天,上海第六批援青干部人才、果洛藏族自治州人民医院副院长陈俏峰主任短暂返回上海与家人团聚,这本是难得的团圆时光,一名危重患者的求助,却让他毅然放弃休假,重返上海瑞金医院卢湾分院诊疗一线,以精湛医术成功挽救患者生命,用行动诠释了医者仁心与责任担当。
陈俏峰随援青干部人才集体回沪休整,正享受难得的家庭时光时,一名患者的病情却将他紧急召回医院。患者自述被不明原因的黑便、上腹隐痛困扰多日,身体日渐消瘦虚弱,连日常简单活动都倍感吃力。凭借多年普外科临床经验,陈俏峰敏锐察觉病情凶险,立即为患者安排全面检查。

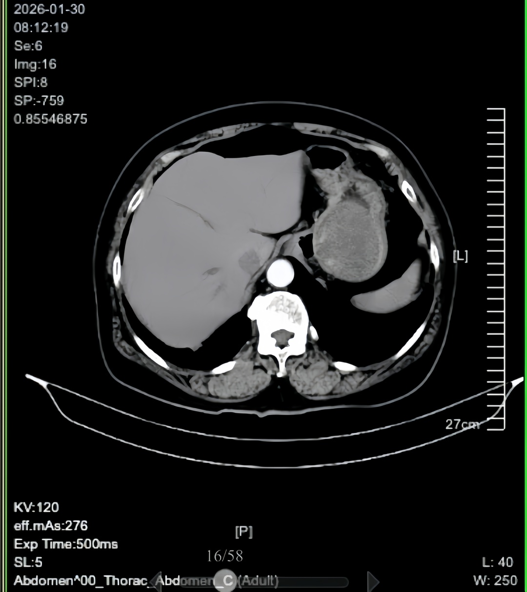
检查结果令人揪心:患者胃底部近贲门处有直径约 7cm 的巨大肿瘤,中央伴溃疡及出血,初步诊断为胃巨大间质瘤。更危急的是,患者入院时血色素仅 46g/L,远低于正常成人水平,属重度贫血,随时可能因失血性休克危及生命,救治工作刻不容缓。
患者的生命安危就是冲锋号令,陈俏峰当即放弃宝贵休假,全身心投入救治。他第一时间组织医疗团队,制定个性化救治方案,将纠正重度贫血、稳定生命体征作为首要任务。通过紧急输血、补液、营养支持等对症治疗,医护团队密切监测患者血压、心率及血色素变化,为后续手术筑牢安全基础。
经积极治疗,患者血色素回升、生命体征平稳,但手术难度与风险依旧巨大。肿瘤体积大且位置特殊,距离贲门仅1cm,切除时极易损伤贲门;而贲门作为消化道重要关口,一旦受损,极易引发术后狭窄,严重影响患者进食与生活质量。

面对难题,陈俏峰凭借扎实的专业功底、丰富的腹腔镜手术经验,以及对胃间质瘤诊治的深刻理解,反复研读影像学资料、推演手术流程,最终确定 “腹腔镜胃间质瘤切除术 + 胃镜支撑下贲门成型术”方案,力求在彻底切除肿瘤的同时,最大限度保护贲门功能。
手术如期开展,陈俏峰亲自主刀,带领团队默契配合、严谨操作。腹腔镜手术对精度要求极高,加之肿瘤特殊情况,每一步操作都需小心翼翼。术中,他凭借娴熟技巧精准分离肿瘤与周围组织,避开重要血管及神经,成功剥离肿瘤组织。

肿瘤切除后,贲门成型成为手术关键。为避免损伤贲门黏膜及肌层,陈俏峰创新采用胃镜支撑技术,在胃镜实时引导下精准缝合切口、重塑贲门结构,确保功能不受影响。整个手术紧张有序、精准高效,历时一个半小时顺利完成。
术后,患者生命体征平稳,未出现出血、吻合口漏等严重并发症。在医护团队精心护理下,患者恢复顺利,血色素逐步恢复至正常水平,进食、精神状态均大幅好转,最终顺利出院。术后病理检查确诊为胃恶性间质瘤,陈俏峰又联合肿瘤科,为患者制定了口服靶向治疗方案,为后续康复保驾护航。
出院时,患者及家属紧紧握住陈俏峰的手再三致谢,称赞他是 “援青为民的好医生,危难时刻的主心骨”。从雪域高原果洛州到黄浦江畔,陈俏峰始终将患者生命健康放在首位,此次放弃休假的紧急救援,是他医者初心的生动写照,更彰显了新时代医务工作者的使命与担当,让医者仁心在守护生命中熠熠生辉。
记者 / 王月华
编辑 / 黄骞文
图片 /区合作交流办
转载请注明来自上海黄浦官方微信