临近春节,不少女孩子都喜欢做一款漂亮的美甲,既赏心悦目,又迎合喜庆氛围。但有些款式的新年美甲,真的杀伤力满满,就有人因此进了医院。

图片来源:千图网
事件回顾
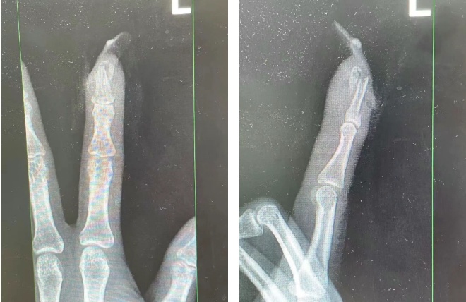
22岁的王女士前段时间做了一款美甲,为了让手指显得更修长还特意贴了延长甲片。但在骑电动车时,她意外摔了一跤,手指触地的瞬间,她就感觉到钻心的痛,食指上的延长甲片直接断裂渗出了鲜血,随后她立即前往医院就诊。
经检查,王女士指甲断裂,部分甲床外露。医生表示,如果没有美甲,伤害不会这么严重。万幸经过治疗,王女士恢复良好。

王女士受伤手指的X光影像。图源:杭州市临平区中西医结合医院
尽管王女士这样属于极端个例
但造型复杂的美甲
确实会对手部正常活动造成影响
这背后还有不少安全隐患
湖南湘潭,一女子在洗碗时自己的带钻美甲不慎卡进水槽漏斗的圆孔中,消防员在接到求助后,到场助女子脱困。
云南大理,一名女子不慎将长美甲嵌进洋芋刀缝隙中无法抽出,于是前往当地消防站寻求帮助,消防员使用专业工具,才将洋芋刀从女子美甲上取下。
黑龙江鹤岗,一女子吃棒骨时挖骨髓,结果骨头被美甲卡住取不下来。女子及时求助当地消防,才把这款“棒骨美甲”取下。
美甲款式不要过于复杂,突出的大颗装饰物也不宜过多,做完美甲以后,在日常生活及外出时一定要注意保护。若美甲断裂导致受伤,应及时清洁伤口、止血,前往医院进行处理;若美甲不慎被卡难以自行取出,请立即报警求助。
编辑:邱彩红
转载请注明来自上海徐汇官方账号
