

拇外翻,俗称“大脚骨”,不仅影响足部美观,更因长期的疼痛与畸形,让许多中老年人步履维艰。
近日,上海市同仁医院骨科关节专业组成功为一名受困三十余年的高龄患者实施了Spear Plate(髓内板)微创矫形手术。这一新技术为我院足踝微创治疗再添利器,为广大拇外翻患者带来了“创伤小、恢复快、更稳定”的全新选择。
病例回顾:77岁老人的“重生”步履
77岁的李奶奶(化名)受拇外翻困扰已有三十多年。随着畸形加重,大脚趾严重挤压第二趾,形成了典型的“叠趾畸形”。长期的摩擦疼痛让她每走一步都钻心地疼。

图注:术前检查:明显的第1跖趾关节外翻,伴随第2趾受压形成的“叠趾畸形”
考虑到李奶奶高龄且病史长,骨科程千主任,熊李、张弓皓主治医师团队经过严密评估,决定采用创新的 Spear Plate 髓内板植入技术。

图注:术后效果:足部轴线恢复正常,叠趾畸形得到彻底纠正,外观改善显著
什么是 Spear Plate 髓内板技术?
Spear Plate是一种专为微创拇外翻矫正设计的髓内固定系统。它由高强度医用合金制成,因形状似“矛”(Spear)而得名。

图注:Spear Plate 拇外翻矫形内固定器:专为亚洲人骨骼解剖曲线设计
与传统钢板固定在骨头表面的方式不同,该技术具有以下核心优势:
·亚洲定制设计:基于亚洲民族骨骼数据库进行 3D 重建设计,更贴合亚洲人的骨骼解剖曲线 。
·髓内支撑:将钢板植入第一跖骨髓腔内,提供极强的生物力学稳定性 。
·精准矫形:提供 1mm、3mm、5mm 多种偏心距选择,实现“量体裁衣”式的精准矫正 。




图注:手术原理示意:通过微小切口进行截骨,并将髓内板精准植入以重建足部力学结构
微创髓内板手术的优势
1. 切口更小:标准手术切口仅约 2.5 厘米,极大减少了对软组织的损伤 。
2. 稳定性强:采用双锁定螺钉固定,有效降低螺钉松动或复位丢失的风险 。
3. 恢复更快:稳固的髓内固定允许患者术后早期即在辅助下下地行走。

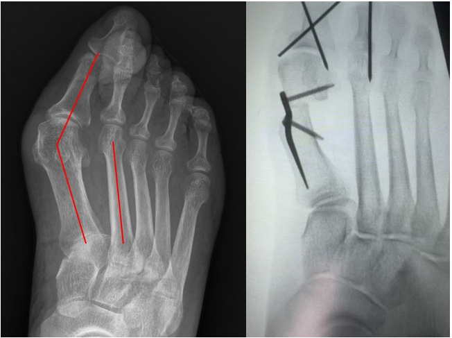
图注:术前 vs 术后的 X 光影像对比:术后拇外翻角(HVA)和第1、2跖骨间夹角(IMA)矫形至正常范围
上海市同仁医院作为上海市第六人民医院国家骨科医学中心足踝外科专科联盟的首批成员单位,始终致力于推动足踝诊疗的规范化与精准化。本次技术的成功应用,正是联盟力量下沉、造福本地区患者的生动体现。
专家简介

程 千
骨科行政副主任,主任医师,医学博士,博士后合作导师,上海交通大学骨关节医疗科技与医学人文交叉创新人才培养基地主任,上海市医学会运动医学专科分会青年委员会副主任委员,上海市中西医结合学会运动医学专委会常务委员,上海市中西医结合学会运动医学专委会保膝学组组长,全国卫生产业企业管理协会骨科分会常务委员,中国老年保健协会骨关节分会委员,中华志愿者协会中西医结合专家志愿者委员会运动医学科专业组常务委员,中国医药教育协会科普健康教育工作委员会委员,自我保健杂志骨运动性疾病科普组委员,上海市中医药学会运动医学分会委员,上海市科学技术普及志愿者协会健康科普骨科与运动医学科普专委会委员,上海市长宁区卫健委科普专家,亚洲人工关节学会《Arthroplasty》特约审稿专家,中文核心期刊《中国骨质疏松杂志》常务编委,中文核心期刊《实用医学杂志》、《中国组织工程研究杂志》审稿专家。从事骨科工作20余年,擅长骨关节疾病微创治疗关节置换及关节镜技术。2024年赴英国牛津大学,2013年赴德国 Johanna Etienne Hospital交流,学习关节置换与关节镜技术。主编骨科专著2部,高校来华留学生英文骨科教材1部,上海交通大学医学院“十四五”规划骨科教材1部,副主编1部,参编骨关节炎专家指南2项,发表SCI、核心期刊论文30余篇,获国家发明专利1项,实用新型专利10项,主持省厅课题2项,上海市科委课题1项,上海市卫健委课题1项,上海市柔性医疗机器人重点课题1项。
擅长:骨关节疾病微创治疗关节置换及关节镜技术,熟练开展保膝治疗单髁置换术,尤其在肩袖损伤、肩周炎、膝关节半月板及交叉韧带损伤的关节镜治疗上有一定造诣。
专家门诊时间:周一、三、四上午
特需门诊时间:周一下午
供稿:张弓皓
审核:程 千
校审:戴 云
预约就诊请关注公众号:
(配图源自网络,如有侵权请通知删除)
欢迎关注同仁医院官方微信服务号