





肺结节:别慌!
看懂这朵“肺部小云彩”

在日常门诊和体检报告中,“肺结节”这三个字出现的频率越来越高,很多人一看到它就紧张不已,仿佛被贴上了“肺癌”的标签。今天,我就带大家科学、轻松地认识一下肺结节——这朵藏在肺里的“小云彩”。
PART.
01
肺结节到底是什么?
是肺癌吗?
首先请大家放宽心:肺结节不等于肺癌。
用通俗的话说,肺结节就像是肺部CT影像上的一小片“磨砂玻璃”或“棉花团”。它指的是直径≤3厘米的局灶性阴影,可以是实心的,也可以是半透明的(医学上称为磨玻璃结节)。据统计,在检出的所有肺结节中,超过90%都是良性的,可能是炎症、结核、疤痕或良性肿瘤等。只有不到10%的结节可能是早期肺癌。
所以,发现肺结节,第一步是“淡定”,第二步是“科学评估”。
PART.
02
结节从哪里来?
哪些人该警惕?
肺结节通常有两种来源:
1.体检筛查发现:
尤其是每年做低剂量螺旋CT(LDCT)的高危人群。
2.因其他疾病就诊时偶然发现:
比如因为咳嗽、感冒做CT时顺带看到。
哪些人是肺癌高危人群,需要定期筛查呢?根据2024年中国专家共识,建议年龄≥40岁,且符合以下任一条件者,每年做一次低剂量CT:
吸烟≥20包年(比如每天1包、吸了20年);
有职业暴露史(如接触石棉、铀等);
有慢阻肺、肺纤维化或肺结核史;
有恶性肿瘤或肺癌家族史。
特别要提醒的是,中国肺癌有年轻化趋势,不少不吸烟的年轻女性也发现磨玻璃结节,可能与遗传、环境等因素有关。
PART.
03
诊断:综合考量,
精准判断“好坏”
如果发现结节,医生会像侦探一样多角度审视它:
1. 影像观察“以貌取结”
大小:
结节越大,恶性风险越高。≤5mm的微小结节大多良性。
长相:
边缘光滑的常为良性;边缘有“毛刺”、分叶或胸膜牵拉的需警惕。
质地:
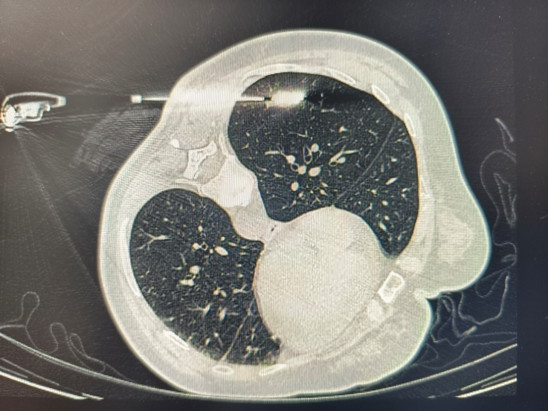
纯磨玻璃结节多为良性或极早期癌变;混合型磨玻璃结节若实性成分增多,风险上升。

纯磨玻璃肺结节

混合性肺磨玻璃结节

实性肺结节
2. 影像辅助诊断,
更准更稳
现在,影像辅助系统已成为医生的“超级助手”。影像辅助系统能精准测量结节大小、体积、密度,还能三维重建、智能比对历史影像,计算生长速度。我们提倡“人机MDT”——医生结合影像辅助,做出更个体化的判断。
3. 必要时进一步检查
如果结节可疑,可能会建议:
肿瘤标志物:抽血查CEA等指标辅助判断。
PET-CT:帮助鉴别良恶性,适合≥8mm的实性结节。
穿刺活检:用细针取一点组织化验,明确性质。
PART.
04
治疗:从“观察等待
”到“精准微创”
肺结节的治疗,完全取决于它的“性格”:
1.良性或低危结节:
定期复查即可
很多结节是“懒人型”,长得慢甚至不长大。医生会建议3-12个月复查CT,观察变化。长期稳定的小结节,可以和它和平共处。
2. 高危或恶性结节:
手术仍是首选
若高度怀疑是早期肺癌,尤其是实性成分增多或体积明显增大时,胸腔镜微创手术是根治的主要方式。创伤小、恢复快,早期肺癌术后10年生存率可超过90%。
3. 不能/不愿手术?
还有热消融等新选择
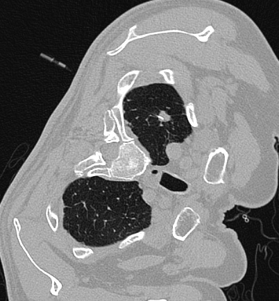
对于年龄大、心肺功能差、多发性结节或拒绝手术的患者,现在有了热消融技术(包括射频、微波、冷冻消融)。它像一根“魔法针”,在CT引导下精准刺入结节,用高温或低温让肿瘤细胞“凋亡”,创伤极小,可重复治疗,且能保留更多肺功能。

CT引导下经皮肺结节微波消融术

消融针穿过肺结节
PART.
05
记住这几句话,
管理肺结节不焦虑
1.肺结节很常见,绝大多数是良性的,不要自己吓自己。
2.科学随访是关键,听医生的建议定时复查,别轻易“断更”。
3.治疗个体化,手术不是唯一出路,消融等微创技术提供了新选择。
4.心态放轻松,焦虑反而影响健康。早期肺癌治愈率很高,积极面对才是正解。
肺结节就像是身体给我们的一封“提醒信”,而不是“判决书”。借助现代医学的“慧眼”和“巧手”,我们完全可以做到早发现、早判断、早处理。
希望这篇小文能帮助大家更从容地面对肺结节。如有疑问,请务必到正规医院呼吸科门诊就诊,找专业医生为您量身定制方案。

上海市健康科普专项计划项目
(编号:JKKPYC-2024-B09)
苏奕亮主任医师
专家门诊:周二下午
特需门诊:周四上午
预约就诊请关注公众号:
(配图源自网络,如有侵权请通知删除)
上海交通大学医学院附属同仁医院
欢迎关注同仁医院官方微信服务号