点击蓝字 关注我们


近日,区中心医院耳鼻咽喉科接诊了一位被牙痛与面部肿胀困扰多时的患者李先生(化名)。李先生自述左侧面部肿痛多日、牙龈反复溢脓,自行服药后仍无缓解。经系统检查,确诊为“牙源性颌骨囊肿”。在学科带头人、上海市第六人民医院易红良主任医师的指导下,李先生已顺利完成手术并康复出院,面部外形与口腔功能均恢复良好。
大多数人以为牙痛只是小毛病,吃点药,忍忍就过去了。殊不知颌骨囊肿这个“隐形炸弹”,很可能在身体里悄然生长。
颌骨囊肿主要由牙齿感染、发育异常或外伤等因素引起,随着囊肿逐渐增大,可导致颌骨骨质吸收、牙齿松动、面部变形,甚至引发感染、视力障碍或病理性骨折,对健康造成严重威胁。
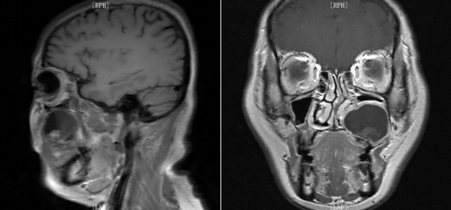
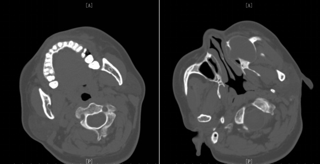
李先生就诊时,查体可见左侧牙龈肿胀,触之有乒乓球样感;影像学检查提示左侧上颌骨内存在一直径约4厘米的囊性病变,已压迫周围骨质并影响上颌窦空间。如不及时干预,病变将进一步扩大,增加治疗难度与风险。



术前影像学检查:MRI检查及CT检查示左侧上颌骨内囊肿样病变,直径约4.0厘米,周围骨质呈压迫性吸收,左侧上颌窦腔被压迫缩小。
易红良主任医师团队组织了细致的术前评估。易红良主任医师指出,该囊肿与长期存在的残根炎症密切相关,手术需在彻底清除病灶的同时,尽可能保留健康骨组织,避免损伤相邻重要结构。凭借丰富的颌面外科经验,团队为患者制定了个体化精准手术方案。
术中,易红良主任在全身麻醉下为李先生施行了“左侧上颌骨囊肿刮治术+残根拔除术”,操作精准,过程顺利。术后病理证实为颌骨囊肿伴感染。李先生恢复迅速,肿胀消退明显,疼痛彻底缓解。

家属赠送的感谢信
易红良主任医师提醒:

长期牙痛、牙龈肿胀、面部不对称或牙齿松动等症状,可能不仅是简单的口腔问题,建议尽早就医,进行专业检查,排除颌骨深部病变,做到早发现、早诊断、早治疗。
奉贤区中心医院耳鼻咽喉科

专家门诊信息一览
上海市第六人民医院

奉贤区中心医院

*根据出诊时间排序
专家简介
易红良
上海交通大学医学院附属第六人民医院耳鼻咽喉头颈外科副主任,奉贤区中心医院耳鼻咽喉科学科带头人,主任医师,博士研究生导师。中华医学会耳鼻咽喉头颈外科分会咽喉组顾问,中国睡眠研究会常务理事,中国医师协会睡眠医学专业委员会委员,中国医疗保健国际交流促进会睡眠医学分会委员,上海医学会耳鼻咽喉头颈外科学分会咽喉组副组长,兼任《中华耳鼻咽喉头颈外科杂志》《临床耳鼻咽喉头颈外科杂志》及《中国耳鼻咽喉头颈外科杂志》《山东大学耳鼻喉眼学报》等审稿专家。
擅长:阻塞性睡眠呼吸暂停低通气综合征、咽喉及头颈肿瘤和颌面骨折的诊断与治疗。尤其掌握娴熟的喉显微外科技术、鼾症外科技术、头颈颌面肿瘤切除及缺损修复术等。