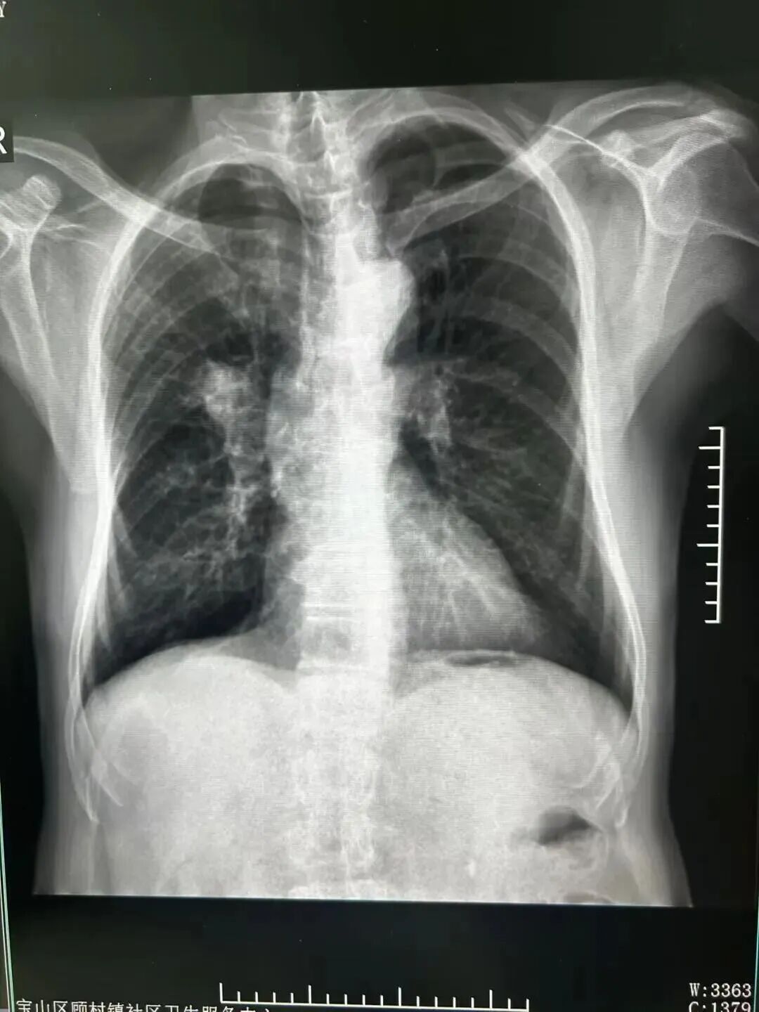
“以为就是普通咳嗽,没想到差点耽误大事!多亏了唐医生的坚持和负责!”近日,68岁的陈先生在宝山区顾村镇社区卫生服务中心家庭医生团队的精准诊疗下,及时发现肺门占位性病变,为后续治疗赢得关键时间。这一暖心案例,正是中心深耕“医起温暖一座城”党建品牌,守护群众健康的生动写照。 前段时间,持续咳嗽咳痰一周的陈先生来到中心就诊,本想简单开些止咳药缓解症状。接诊的唐医生是一位党员家庭医生,他凭借着多年基层诊疗经验和“较真碰硬”的工作作风,在细致问诊中发现异常:陈先生的咳嗽虽看似普通呼吸道症状,但伴随轻微胸闷,且自行用药后症状毫无改善。唐医生判断病情绝非简单感染,当即建议完善胸片检查。 “就是小感冒,拍片子既花钱又费事,没必要!” 陈先生起初十分抵触。面对群众的不理解,唐医生耐心细致地解释:“常规问诊和体格检查只能初步判断,胸片能直观看到肺部情况,避免漏诊误诊,很多早期病灶都是通过这类检查发现的。”经过真诚沟通和专业劝导,陈先生最终打消了顾虑同意检查。 胸片 很快,胸片结果正式出具,提示陈先生肺门处存在占位性病变。中心第一时间为其开通转诊绿色通道,目前陈先生已前往上级医院接受进一步检查治疗。 社区卫生服务中心是守护群众健康的第一道关口,中心始终以党建为引领,将“全心全意为人民服务”的根本宗旨融入医疗服务全过程,深化“健康‘顾’事360”党建品牌内涵,持续提升基层诊疗能力和服务水平,让居民在家门口就能享受精准靠谱的医疗服务,真正把党的温暖送到群众心坎上。 温馨提醒: 咳嗽、咳痰等呼吸道症状虽常见,但如果持续时间较长或自行用药后无改善,切勿盲目拖延。及时就医、配合检查是早发现、早治疗的关键,必要的医疗检查绝非 “过度医疗”,而是守护健康的重要保障。





