
近日,上海交通大学医学院附属新华医院儿普外科成功为一名先天性食管闭锁患儿小亨利(化名)实施微创食管扩张术,重建食管通路,避免了二次开胸手术的高风险。这一案例再次彰显了新华医院在小儿消化道畸形诊疗领域的顶尖实力。
小亨利一出生就被确诊为III型先天性食管闭锁。2025年9月,他在当地医院接受了胸腔镜食管闭锁纠治术,本以为能就此摆脱病痛困扰,然而术后两个多月,小亨利开始频繁出现咳嗽、呛咳、溢奶等症状,家人带他就医检查,胸部CT结果显示双肺存在炎症,食管上段明显扩张,下段则呈现软组织密度影。食管造影检查显示近端食管近乎完全闭锁,造影剂根本无法通过;接连两次胃镜检查,医生都没能成功定位到近端食管的开口。
为了维持孩子的正常喂养,当地医院为小亨利实施了胃造瘘术,同时告知家属,孩子后续需要接受二次开胸食管重建手术才能彻底救治。可二次开胸手术不仅创伤巨大,还伴随着极高的风险,这让一家人陷入了深深的焦虑中。
几经辗转、多方打听,小亨利的家属终于联系上了新华医院儿普外科王俊主任团队,渴望能在这里为孩子寻求更安全、有效的治疗方案。

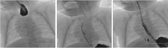
王俊主任组织多学科会诊,为小亨利制定精细化诊疗方案。介入血管外科俞炬明主任与儿普外科邬文杰副主任强强联合,对小亨利实施DSA引导下食管造影检查,明确核心病灶点——食管近段闭锁程度极高,造影剂完全无法通行。(A图)
面对疑难病情,团队摒弃传统路径,创新采用“自食管远段向近段逆行置入导引导丝”技术:从胃造瘘口入径,经食管下段逆行造影,启用超细微导丝在影像引导下探查食管细微开口。(B图)这一操作需要极致耐心与毫厘不差的操作精度,稍有失误可能引发食管穿孔。
团队历经精细探查,成功定位食管隐匿开口,并顺利将4mm球囊导管置入闭锁食管段,通过球囊扩张打通食管通路。(C图)整场手术创伤极小,却精准破解了原本需二次开胸才能解决的难题。

A图
B图
C图
以上图为DSA造影检查(A、近端食管几乎完全闭锁,造影剂无法通过;B、自食管远端逆行置入导丝;C、导丝引导下置入食道球囊,扩开食道)
此次手术的成功,体现了新华医院儿普外科在小儿食管狭窄微创治疗领域的三大优势:
技术领先,精准诊疗:依托DSA精准引导技术与超细微导丝操作,高效攻克复杂病例,实现微创条件下的精准救治。
勇于创新,个性施治:根据患儿病情定制方案,逆行导丝置入技术的成功应用,彰显临床创新能力。
积淀深厚,经验赋能:团队深耕小儿消化道畸形诊疗多年,累计救治大量疑难病例,形成成熟诊疗体系与丰富临床经验。
来源:儿普外科
作者:儿普外科 王伟鹏

就诊指南
王俊主任门诊:杨浦院区周三全天特需门诊
潘伟华主任门诊:杨浦院区周一下午特需门诊/周四下午专家门诊/周日上午特需门诊;奉贤院区周二下午专家门诊
新生儿外科门诊:周二下午专科门诊
门诊预约请点击链接☞:
杨浦院区儿普外科门诊
奉贤院区儿普外科门诊
