近日,在上海市第十一批组团式医疗援藏专家的努力下,一项标志性技术突破在日喀则市人民医院成功实现。华山医院派出的胰腺外科援藏专家毛益申成功开展了日喀则市首例超声内镜引导下细针穿刺活检术(EUS-FNB)。此项技术的成功应用,不仅填补了日喀则地区在介入性超声内镜诊断和治疗领域的空白,更标志着当地医院在肿瘤精准、微创诊疗方面迈上了新台阶。
研判病情,诊断遇瓶颈
一位老年女性因“体检发现肝脏多发占位1周”至日喀则市人民医院普外科就诊。鉴于患者既往有卵巢肿瘤的手术及化疗史,门诊医生初步判断患者肝脏的多发占位为卵巢癌转移瘤的可能性较大。医生原计划入院后进行肝穿刺活检以明确病理,再进一步行抗肿瘤综合治疗。
然而,入院完善上腹部增强CT检查后,来自华山医院胰腺外科的援藏专家毛益申医生在阅片时发现了新问题:患者不仅肝脏有多发占位,胰腺也有异常表现,提示胰腺也可能存在肿瘤。
患者病情的复杂性陡然增加:肝脏和胰腺两处占位是否均为肿瘤?它们是否与既往的卵巢恶性肿瘤相关?肝脏的肿瘤究竟是卵巢癌转移、胰腺肿瘤转移,还是全新的原发肿瘤?
解答这些谜团的关键在于尽快穿刺获取肝脏和胰腺病灶组织进行病理检查。然而,传统经体外超声或CT引导下的穿刺活检术,虽然能穿刺肝脏病灶,但对位置较深的胰腺存在穿刺风险大、成功率低等问题,使诊断陷入困境。
引入新技术,精准破困局
面对诊断瓶颈,毛益申医生在详细分析患者的病情、检验、影像等各类资料后,决定为患者施行超声内镜引导下的细针穿刺活检术(EUS-FNB)。该技术能够通过超声内镜同时检查肝脏和胰腺的病灶,并在其引导下对两处病灶进行同步穿刺活检,实现一次操作解决两处病灶的诊断难题。同时,该手术可在内镜无痛麻醉下进行,极大提升患者的舒适度。
科普延伸:
超声内镜(EUS)是一种前沿技术,它将内镜与超声结合,从胃或十二指肠内对紧邻的胆管、胰腺进行“高清”扫描,图像清晰,定位精准。
超声内镜穿刺术(EUS-FNA/FNB)就是在超声内镜引导下运用一根纤细的活检针经过内镜活检孔道对相应病变进行抽吸活检。
对于胆管结石、胰腺囊肿、胰腺占位、壶腹部占位等疾病,超声内镜扫查具有极高的敏感度,能精准发现隐匿的微小病灶。对于不确定的病例,可以同步行穿刺活检明确病变性质。不仅如此,它更是一种高效的微创治疗平台:在明确诊断的同时,还可直接实施介入操作,例如引流胰腺假性囊肿(EUS-GE)、或为梗阻性黄疸患者建立新的引流通道(EUS-BD),避免了传统大开刀手术。
经过与患者家属充分沟通并完成术前准备后,在上海市第六人民医院麻醉科援藏专家张清福医生的保驾护航下,毛益申医生为患者施行了无痛超声内镜检查及穿刺。


张清福为手术进行无痛麻醉
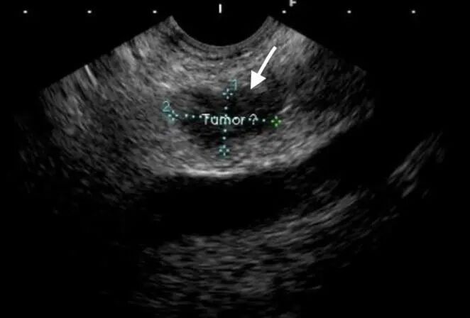
凭借娴熟的超声内镜操作技术,以及先进设备的清晰成像,毛益申医生快速明确患者胰腺颈部确实存在一处15×9mm的肿瘤,同时确认了肝脏多发病灶符合肿瘤性病变的表现。随后,他分别对肝脏及胰腺的病灶进行穿刺活检术,获取了充足的组织条送病理检查。整个流程仅耗时约30分钟,术后患者麻醉苏醒后除轻度咽痛外无任何不适。


毛益申为患者进行EUS-FNB手术(左)
讲解带教本地医生(右)

超声内镜下可以清晰地显示患者胰腺肿瘤
(白色箭头指向处)
3个工作日后,患者的病理结果顺利回报:肝脏、胰腺穿刺活检均见少量破碎低分化癌组织,结合病史及免疫组化结果,最终确定为既往卵巢肿瘤转移。随后,普外科及相关科室治疗团队以卵巢肿瘤的诊治指南为参考,为患者制定进一步的综合性抗肿瘤治疗方案。
填补空白,惠泽高原情
本次手术不仅是日喀则市完成的首例EUS-FNB,也是西藏自治区内拉萨以外的首例。该技术以最小创伤对靶器官进行活检采样,为临床制定治疗方案提供了关键依据。
在毛益申医生等第十一批组团式援藏医疗队员的带领下,此项技术的成功开展,打破了当地中晚期胆胰肿瘤患者难以明确病理诊断、无法针对性治疗的瓶颈,显著提升了日喀则市人民医院对肿瘤患者的综合诊疗能力。此次手术过程中,华山援藏专家团队与本地医生同台施治,通过手把手教学,致力于让日喀则市人民医院医疗团队更快掌握该项技术。
目前,日喀则市人民医院普外科已常规独立开展超声内镜诊疗。这是上海援藏医疗队持续引进先进技术、提高日喀则地区医疗水平的一个缩影,旨在通过“传帮带”培养一支“带不走的医疗队”,让高原群众永久享受到与内地同质的优质医疗服务。
喜欢就奖励一个“”和“❤”呗