
接近凌晨12点,消化内镜值班电话突然响起,新华医院急诊内科来了一名中年男子,面色发青、表情痛苦。
这名男子称,与同事喝酒,推杯换盏,觥筹交错之间,一口闷下,突感咽喉部有异物感,吞咽困难,伴随着不断加重的呼吸困难和咽部疼痛,患者急忙赶往就近医院就诊,被告知无急诊内镜,经推荐,遂辗转至新华医院急诊内科。

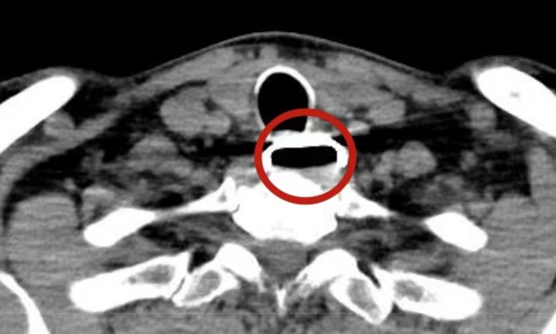
急诊团队迅速应对,颈部CT显示:直径3.2cm的高密度影正卡在食管狭窄处,紧紧压迫前方的气管……
消化内镜急诊团队蔡美洪医生和沈天犇护士接到急诊电话后,迅速赶往医院拆除这枚“定时炸弹”。在赶往医院的路上,蔡美洪医生考虑到啤酒瓶盖的直径太大,没有合适的内镜玻璃帽可以容纳,如果直接拉出,可能造成食道和咽部粘膜的严重撕裂及出血,甚至可能造成穿孔。
经过思考和查阅类似案例后,蔡美洪结合本次特殊的“炸弹”任务,巧秒使用橡胶手套及真丝胶布制作了一个简易的食道粘膜保护装置。

先用圈套器套牢异物,通过精准旋镜最大程度避免粘膜损伤后退镜至胃底,通过抖镜使橡胶保护套翻下来覆盖到异物外部,再将异物顺利拉出。拆除保护套再次进镜复查食道粘膜仅异物卡住处见轻微粘膜损伤,无活动性出血及其他异常。

想象一下,你正在享受一顿美味的大餐,突然一不小心,一块骨头、一枚硬币或是其他小物件就悄悄溜进了你的食管,卡在那里,让你感觉喉咙不适,吞咽困难,甚至疼痛难忍。这时候,你可得小心了,食管异物可能会给你带来大麻烦!
食管异物不仅会让你感到不适,还可能引发一系列严重的后果。轻者会感觉喉咙疼痛、吞咽困难;重者则可能导致食管穿孔、出血,甚至危及生命。因此,一旦怀疑有食管异物,千万不能拖延,必须尽快就医。
警示:吞馒头、吞蔬菜、喝醋这些做法千千万万不可信哦,轻则加重异物嵌顿,重则造成食管穿孔,得不偿失!
建议:误食异物后立即禁食、禁水、即刻就医!

上海交通大学医学院附属新华医院内窥镜诊治部,系中华医学会消化内镜学分会委员单位,上海市医学会消化内镜专科分会副主委单位,上海市医学会食管胃静脉曲张治疗专科分会名誉主委单位,中国食管胃静脉曲张诊治规范基地,中国ERCP技术标准化人才培养基地及中国医师协会ERCP医师培训中心。
门诊预约请点击☞:内窥镜诊治部门诊
门诊预约请点击☞:胃肠内镜专科门诊
