“白肺”,这个词大家已不陌生。然而,鲜为人知的是,大脑也可能出现类似的“白化”,即广泛的白质病变。这种改变原因十分复杂,往往难以诊断和治疗。
2024年5月份,李先生出现了不明原因发热,伴随认知功能断崖式下降,时常迷失在自己思维的世界里,并出现幻觉,还有大小便失禁。随后在当地医院就诊,头部核磁显示广泛的脑白质病变,大脑简直就像全部“白”了一样。
随后,李先生积极接受了常规的免疫治疗(激素+丙球),但遗憾的是,李先生的症状并无明显改善,家人陷入了无助与失望。

在李先生家人一筹莫展之际,经多方打听,他们了解到,瑞金医院神经内科的陈晟主任医师在神经免疫疾病方面有着丰富的经验,便慕名而来。
陈晟主任详细查看了李先生的影像资料后,认为该患者脑白质病变严重,可能存在中枢神经系统活跃的炎性反应;建议完善颅内“炎性PET核磁”,即18F-DPA714 PET/MRI,这是一种当下国际先进的可展示中枢神经系统炎症的影像技术。
结果不出陈晟主任所料,该患者全脑区均见到炎症的异常增高,就像大脑里燃起了看不见的“鬼火”。那么导致“着火”的原因是什么呢?进一步的检查发现李先生血清和脑脊液中存在一种罕见的抗体:GFAP抗体。随即,一种罕见的疾病浮现出来了,GFAP抗体相关脑炎。

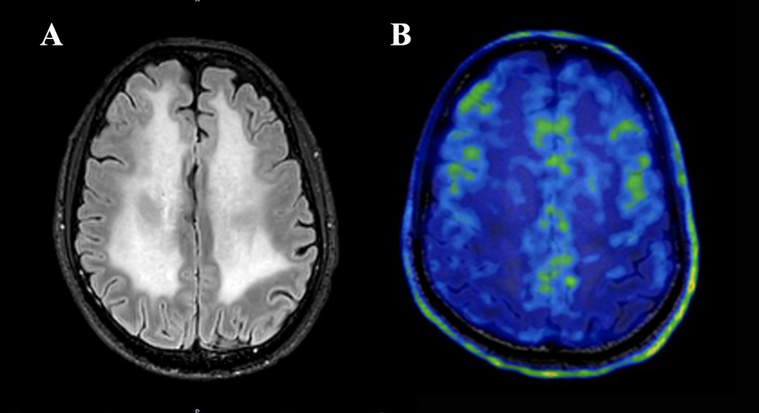
图1 治疗前,传统的核磁发现李先生大脑白质区域几乎完全变“白”,瑞金医院进一步采用全球先进的“炎症核磁”发现了“端倪”,李先生脑内“炎症活跃”(绿色区域表示炎症活跃)。
据主治医师周勤明介绍,这种疾病极为少见,GFAP抗体可以导致大脑,脊髓,甚至视神经“发炎”。如不及时治疗,患者极有可能面临严重的残疾甚至死亡。
那该如何去挽救患者呢?陈晟主任团队在传统免疫治疗基础上,尝试了新型的“单抗”序贯“灭火”,挽救“白化”的大脑。
经历半年左右的时间,接受了4次“单抗”的治疗后,李先生的症状逐渐恢复,认知功能明显改善,幻觉消失,大小便失禁完全缓解,生活重回正轨。

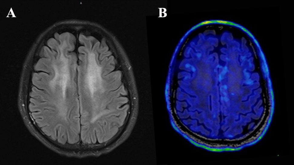
图2 治疗后,“白”脑逐渐恢复正常,炎症逐渐消退(绿色区域消失)。
复查影像也显示,曾经变“白”的大脑也在快速恢复,炎症核磁发现炎症范围大幅缩小。如今,回归工作岗位的李先生感慨:"感谢陈主任医疗团队,他们不仅治病,更重建了我的人生。"
全程参与治疗的河南新乡进修医生韩英博,将这场战役的每个细节都刻进了笔记本:从陈主任对影像数据的精准解读,到大胆启用前沿疗法的魄力,再到对患者每个细微症状的敏锐捕捉。韩医生坦言,“就像上了一堂顶级临床思维课。”
从“白肺”到“白脑”,医学的边界不断被拓展。李先生的重生,不仅是医患携手闯关的成功病例,更展现了精准医学与创新疗法的巨大潜力。瑞金医院神经免疫团队将继续探索罕见病诊断和治疗的“瑞金方案”,为更多患者点亮希望之光。
神经内科主任医师 陈晟 门诊时间:
专家门诊:周三下午
特约门诊:周五上午