
斑秃是一种常见的自身免疫性皮肤病,主要症状是突然出现的一个或多个圆形、椭圆形或不规则形的脱发区。脱发区域皮肤通常光滑,无鳞屑和炎症反应,少数人可能会感觉到轻微的瘙痒或灼热感,但多数患者并不会感到不适。斑秃不仅影响头皮,有时也会影响眉毛、睫毛甚至体毛。

典型的斑秃根据临床表现和皮肤镜检查即可诊断,无需进行特殊检查。
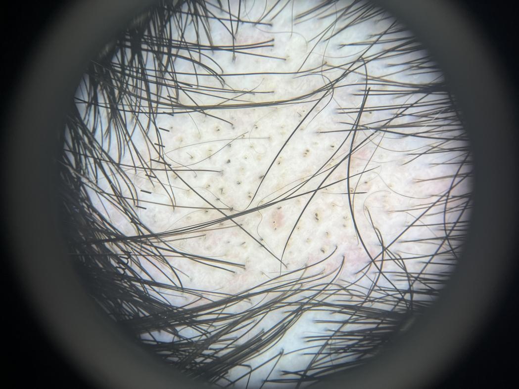
在斑秃的诊断过程中,皮肤镜检查扮演着关键角色,它不仅有助于确诊,还能用于区分其他脱发类型,以及评估病情的活动程度。在受影响的脱发区域,毛囊开口仍然保持完整,皮肤镜下可观察到特征性的表现,如感叹号样发、黑点征、黄点征和锥形发等。特别是感叹号样发,它被认为是斑秃的一个典型皮肤镜特征。

皮肤镜(×10):蓝色箭头提示感叹号样发
目前,斑秃的病因尚不完全清楚。普遍认为斑秃是一种具有遗传素质和环境激发因素的自身免疫性疾病。在遗传易感个体诱发因素导致T细胞自身免疫反应,该免疫反应攻击毛囊,导致临床上急性脱发。最近的研究表明,当身体处于高度压力状态时,可能会加剧病情。
同济大学附属同济医院皮肤与性病科主治医师彭霖提醒您:斑秃的治疗包括外用或口服药物治疗、光疗、局部注射等。此外,保持良好的生活习惯,避免精神紧张,保持健康的生活方式和充足的睡眠,均衡饮食,适当参加体育锻炼,有助于控制病情的发展。
图文|皮肤与性病科
编辑|张鹰妮
责任编辑|谢壮丽