说起便秘,
几乎是大部分人都有过的经历,
有的人很快恢复,
有的人却成了“持久战”。

黑龙江佳木斯的陈女士
被便秘折磨了20多年,
直到肚子剧痛,
才发现肚子里,
竟然藏着一条“巨蟒”,
相关话题还冲上热搜!

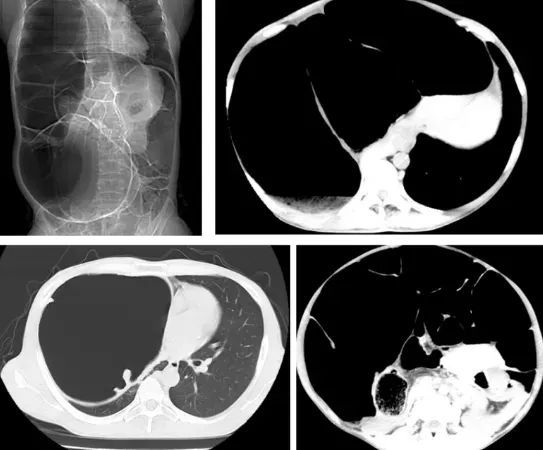
女子腹痛腹胀20多年
肚子掏出60cm长巨形结肠
40岁的陈女士被便秘困扰20余年,长期遭受便秘的折磨。近年间症状持续加重,排便周期长达7日,并伴随剧烈腹胀。
陈女士在哈尔滨医科大学附属第一医院进行CT检查后,医生发现她腹腔内盲肠、升结肠、横结肠、降结肠及部分乙状结肠严重扩张积气,移行段位于乙状结肠,以造成右侧膈肌上移压迫右肺,诊断为特发性巨结肠。

医生介绍,特发性巨结肠是由于直肠或结肠远端无神经节细胞而发生萎缩,丧失蠕动和排便功能,使近端结肠蓄便、积气,而继发扩张,逐渐形成巨结肠改变。主要表现为便秘、呕吐、腹胀等,会严重影响患者的生活质量,若想彻底根治,必须通过手术切除病变肠管。
经过腹腔镜微创手术,历时3小时,术中出血量5ml,医生从陈女士体内成功切除60cm长、20cm粗的结肠。医生表示这是十分罕见复杂又巨大的结肠。
如遇顽固性便秘
一定及时到医院就诊
像陈女士这样的情况并不少。据报道,去年杭州一名29岁的王女士,也被便秘折磨多年。
经过检查,发现她的结肠巨大,属于成人巨结肠,而剧烈的腹痛很有可能是肠梗阻导致结肠坏死所致。由于已发生了肠坏死,医生只能切除王女士1米左右的肠子,结肠全部切掉,并做人工肛门造口。
多数情况下,便秘通过适当的饮食调整或简单保守治疗可得到缓解,但如果是巨结肠引起的便秘就特别顽固,且一般治疗无法改善。巨结肠患者十分痛苦,一直遭遇大便排出困难,但常被误诊为单纯性便秘、肠梗阻,而延误治疗。
医生提醒,如遇到反复不治的顽固性便秘,一定要尽早去医院检查。
不想便秘
请记住这8点
①多喝水
每天1.5-2升的水摄入可有效改善便秘。另外,建议早上起来空腹先喝些水,这样有助于促进胃肠蠕动。
②注意饮食
定时进餐,特别是早餐要重视。不要盲目节食,粪便的形成,首先要有一定的体积,吃的太少太精细,大便量就会少。
增加膳食纤维摄入,比如绿叶蔬菜、水果(比如火龙果、香蕉、苹果、西梅)、红薯、燕麦、荞麦、玉米等谷物类。

③建立良好排便习惯
晨起和餐后是肠道活动最活跃的时段,建议晨起或餐后2小时内尝试排便。排便时长也有讲究,每次排便不宜超过10分钟。
不要随意控制便意,当便便到了直肠,且达到一定的体积时,直肠接收到信号,会把这个信号传给大脑,从而产生便意,此时尽快去上厕所,不要憋屎。
④适度运动
运动过少、经常卧床、久坐不动更易发生便秘。运动有助于促进肠蠕动,改善便秘症状。运动方式和运动量需根据自身情况选择,量力而行。
⑤排便体位
排便的姿势有讲究——
■蹲着拉和在坐便器上拉两者相比,蹲着拉更有利于排便。
■如果只有坐便,那可以在脚下垫个小凳子,上身微微前倾,有利于大便排出。

⑥避免压力过大
压力大、生活节奏快、负面情绪多,会影响胃肠运动节律、干扰排便等。因此,要注意自我调节,找到适合自己的解压方式。
⑦按摩腹部
按摩腹部有一定的促进肠蠕动的作用。可顺时针轻柔腹部,或从上自下按摩腹部。

⑧保持充足睡眠
保持充足的睡眠,有助于保证胃肠道正常的运动节律。
综合整理自新闻夜航、健康广东等
本期编辑:茅轶婧