近日,演员杨幂在接受时尚芭莎最新采访时透露,此前滑雪时发现右胳膊难抬起来,去检查发现有些地方已经钙化。她谈对这件事的看法:“会找到一个快乐点,比如我会说‘我变身了!’比起钙化这件事,找到快乐的角度很重要。”

公开资料显示,杨幂,1986年9月12日出生于北京市,毕业于北京电影学院表演系本科班,中国内地影视女演员、歌手、制片人。2011年,杨幂凭借穿越剧《宫锁心玉》赢得广泛关注,并获得了第17届上海电视节白玉兰奖观众票选最具人气女演员奖。

而在评论区,不少网友疑惑,
胳膊有些部分存在钙化,
是什么意思?
自己在也曾体检报告中
看到“钙化”二字,影响大吗?

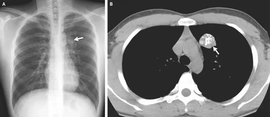
体检报告上的“钙化”,是什么意思?
事实上,在X线片、 CT、钼靶、超声报告中,常常会出现“钙化”“钙化灶”的字样。据生命时报,钙化,指人体内的钙离子以磷酸盐或碳酸盐形式,发生沉积的过程。很多钙化是在人体病变修复过程中形成的,整个过程和伤口愈合结疤类似。通常表现为钙盐沉积在受损组织中,使这些组织变得坚硬。
有些钙化本就是人体正常生理过程的一部分,比如头颅内的松果体(生物钟调控中心)钙化,一般2岁开始就可能发生,到了青少年时期发生率为40%,40岁后发生率高达70%。

人体绝大部分组织和器官内都可能出现钙化,比如头颅的脑膜、基底节区,胸部的肺、肋软骨、胸骨剑突,腹部的肝脏、肾脏,以及甲状腺、乳腺和前列腺等腺体,还有遍布身体的大多数动脉和静脉血管。钙化存在的广泛性也使得它成为体检和平时检查中影像学报告上的“常客”。
钙化不是疾病,而是体征
航空总医院影像科副主任申太忠介绍:“钙化不是疾病,而是一种体征。”钙化是否影响健康要根据其出现的部位、影像学特点、患者临床表现来确定。
通过检测钙化的发生位置和程度,医生可及时发现和诊断疾病,了解病情进展,评估治疗效果。钙化的发生与多种因素相关。
年龄:随着年龄增长,体内钙化现象会更为常见,这与自然的衰老过程有关。一般来说,组织和器官功能逐渐退化,钙盐沉积会慢慢增加,从而导致钙化。
生活方式:高盐饮食会导致钠摄入过量,从而限制钙代谢,增加钙沉积。吸烟会损伤血管内皮细胞,影响钙的吸收和利用,从而增加血管钙化风险。酗酒和血压控制不佳,可能促进血管粥样硬化,并导致钙化。

疾病:某些慢性疾病可能诱发钙化,比如糖尿病长期未得到有效控制,会导致高血糖和代谢紊乱,并影响肾脏对钙的排泄和代谢,引起钙化。疾病的修复和愈合也可能导致钙化,比如结核性肺炎病变区域的组织,就可能在炎症后的修复过程中形成钙化。
钙化,可以预防吗?
据科普中国,钙化的发生有些是老化的自然现象,这一类无法预防,也无需预防,我们需要做的是管理好自己的心态,避免看见钙化而焦虑。
其他的钙化大多与疾病相关,与其说预防钙化,不如说预防疾病。预防疾病关键在于保持健康的生活方式以及对潜在风险因素的管理。
戒烟限酒也是预防钙化的重要环节。吸烟和酗酒都会损害血管健康,加速动脉硬化和钙化的进程。同时,烟酒对肺、肝等器官的损害也可能增加这些部位钙化的风险,因此养成良好的生活习惯,远离烟酒,有助于减少钙化的发生。
定期体检不可忽视。定期体检可以帮助我们及时发现潜在的钙化问题,尤其是对于高危人群,如有心血管疾病、糖尿病、肾功能不全等基础疾病的患者。通过定期检查,早发现早治疗,避免钙化导致的进一步健康问题。
除了戒烟限酒和定期体检,日常还要注意对血管的保养。因为动脉钙化与心血管疾病息息相关,所以控制胆固醇、血压和血糖水平至关重要。建议减少高脂、高盐、高糖的饮食,尤其是避免油炸食品和加工食品。同时,坚持适量运动,每天保持 30 分钟的有氧运动有助于改善血液循环,保持血管弹性。
总之,以合理的态度看待钙化,不过度恐慌,也不要完全忽视。
同时保持健康的生活方式和积极的疾病管理,做到早预防、早检查、早应对,才能降低钙化对健康的影响。
来源:新闻晨报 生命时报 科普中国
戳这里为我加颗小星星⭐️
公众号一言不合就改版,
“星标”我才能更方便接收消息哦。
现在只需三步: