
近日,74岁的蔡老伯在吃饭时不慎将一只河虾误吸入气管,由于一时大意未及时就医,险些酿成生命危险。所幸,华山医院宝山院区的医护人员救治及时,成功将河虾取出,挽救了蔡老伯的生命。这一惊险事件也为我们敲响了警钟——误吸可能随时发生,切莫大意!



“因为河虾比较鲜,里面有汤汁,我就吸了一下,一吸,这个虾就进去了。”事发当天,蔡老伯在吃午饭时,不慎将一只河虾吸入了气管。当时,蔡老伯虽然感到不适,但并未意识到问题的严重性,以为河虾只是卡在了食管里,“我马上呕吐,但吐不出来,后面吃饭、喝汤全都没问题,我就大意了。”
然而,到了晚上,蔡老伯开始出现咳嗽、气喘等症状,气管里还发出“呼噜呼噜”的发泡声。尽管如此,蔡老伯和老伴仍未引起足够重视:“我就喝了点水,身体再抖一抖,感觉好点了,就睡觉去了。”
到了半夜,蔡老伯的咳嗽突然加剧,甚至咳出了血,呼吸困难,声音也变得嘶哑。老伴见状,立即将蔡老伯送往华山医院宝山院区急诊科。此时,蔡老伯的病情已经非常危急。




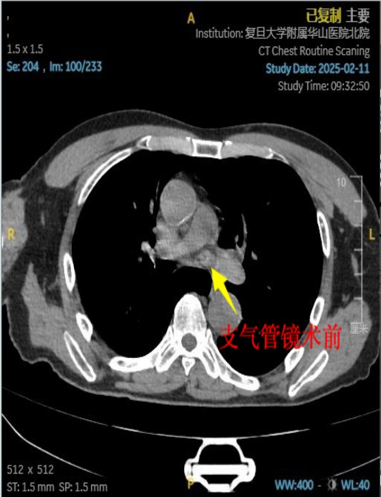
接诊的华山医院宝山院区呼吸与危重症医学科副主任医师杨海华介绍:“患者的虾是在左侧支气管里面,整个左侧主支气管被完全阻塞,无法通气,导致患者出现严重缺氧状态。当时我们给他测的氧饱和度只有85%,血气分析显示氧合指数只有157,属于Ⅰ型呼吸衰竭的情况。”



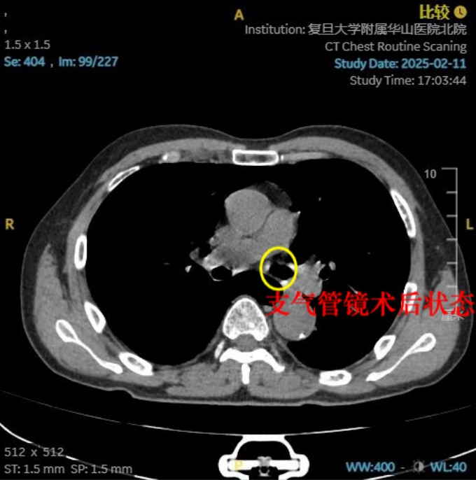
医护团队立即为蔡老伯安排支气管镜取出异物。然而由于虾体有小拇指大小,虾壳表面光滑,虾肉部分因煮熟后质地松软,再加上虾头的虾枪部位尖锐锋利,取出过程中极易划伤气道黏膜,这些都给夹取带来了不小难度。最终,经过半个多小时的紧张手术,整只河虾被成功取出,老人呼吸困难的症状马上缓解。“非常感谢医护人员,因为这条命是他们救回来的!”老人感激地说。



杨主任表示,食管和气管在咽喉处相邻,仅靠会厌分隔。所以,误吸是一种常见的危险情况,尤其在老年人群中更为常见。进食时说话或大笑、进食过快、胃食管反流等情况都容易使食物误入气管。对于老年人群来说,随着年龄增长,吞咽反射减弱,肌肉力量下降,更容易发生误吸。若合并神经系统疾病,如脑卒中、帕金森病等,吞咽功能障碍会进一步增加误吸风险。




“大家在进食的时候要注意力集中,切忌大笑、聊天等,这些情况容易分散注意力,吞咽不协调的时候容易发生误吸的情况。”医生建议日常生活中,通过调整进食习惯、保持注意力集中,可以有效预防误吸的发生。
杨主任同时提醒,一旦发生误吸,及时采取急救措施并就医至关重要:“市民朋友如果发生呛咳之后要引起重视,有时呛咳之后,当时的状症不是很明显,但不代表疾病没有发生,所以后期如果出现咳嗽、咳痰、呼吸困难、痰里面带血等情况,一定要及时到医院做CT检查,及早发现吸入的情况。”


误吸后的急救措施



1、鼓励咳嗽
如果患者神志清楚且能够咳嗽,应鼓励其用力咳嗽。咳嗽反射可以利用肺内高压气流冲击气道内的异物,促使其排出。

2、协助拍背
让患者采取头低脚高位侧卧位,这种体位有助于误吸物顺体位流出。拍背时,施救者手掌呈弓形,从下往上、从外向内有节奏地拍打患者背部,力度适中,以促进痰液和异物排出。

3、海姆立克急救法
成人:站在患者身后,双手环绕其腰部,一手握拳,拳眼置于肚脐上方,另一手握住拳头,快速向内、向上冲击腹部,重复多次,直到异物排出。
儿童:采用同样的方法,但力度要轻柔,避免损伤。

4、紧急就医
如果异物未能排出,患者出现呼吸困难、面色青紫等窒息症状,应立即拨打急救电话(120),并尽快将患者送往医院。
记者:孙子璎 薛峰
编辑:潘乔雨
*转载请注明来自上海宝山官方微信