近日,一男性患者因腹痛两天难以忍受,前往华东医院急诊救助。CT检查提示:腹腔多发游离气体影,腹腔少量积液,穿孔可能。
医生果断紧急剖腹探查,发现患者直肠乙状结肠交界处有一巨大撕裂口,长约10余公分,这种情况存活率小于20%。同时由于患者就诊不及时,导致整个腹腔内充满大量粪便,右侧腹部、小肠、升结肠周围等多处已形成脓苔。患者生命危在旦夕。
手术中,患者出现严重感染性休克,医护团队配合默契,与时间赛跑,顺利完成肠道修补术。随后,患者被转入重症医学科继续严密监护治疗。
期间,患者出现急性呼吸衰竭、多器官功能衰竭,同时合并肾功能不全,脓毒性心肌病、凝血功能障碍等危急情况,医护团队启动PICCO精准监测循环、CRRT血液净化清除毒素、呼吸机联合支气管镜为患者搭建起“人工生命支持系统”。

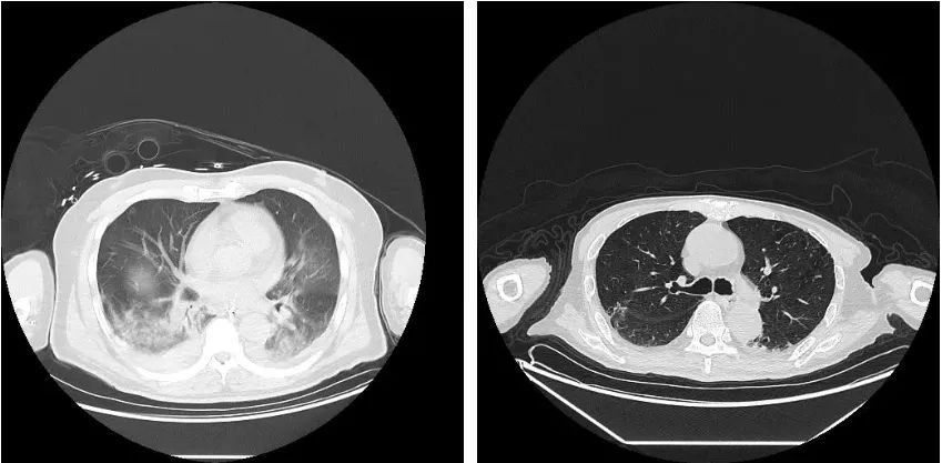
图片:患者前后肺部CT对比
在患者最脆弱的时刻,华东医护化身“临时家属”,当患者因气管切开而无法说话时,护士便用“眨眼沟通法”与其交流;每天在床边为患者做肢体锻炼;耐心为家属解释病情缓解焦虑。
接力守护半个多月,患者终于出院与家人团聚。
是你们给了我第二次生命!”
出院时,患者家属含泪送上锦旗表达感激之情。

肠道穿孔如同“腹腔炸弹”,每延误1小时生存率下降10%。尤其是低位肠段的穿孔,由于其肠道内容物细菌含量极高,常常导致严重的腹腔感染并极易出现多器官功能障碍。重症医学科吴志雄主任医师提醒,如出现不明原因腹痛短时间内未有缓解,应及时就诊以免延误病情。