
“白肺”不怕,VV-ECMO保驾护航
2024年末,一阵急促的手机铃声划破了重症医学科的宁静,将正在睡梦中的汪涛医师唤醒。“重症流感患者,氧合差,可能需要紧急上VV-ECMO。”重症医学科的值班医师温珍亮急切地说道。一刻钟内,汪涛医师和黄焰霞医师便齐聚科室,准备迎接患者的到来。
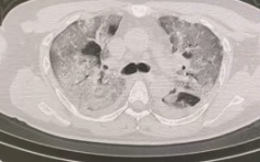
在这个甲型流感肆虐的冬季,一位32岁的体型健壮男性患者因“发热伴咳嗽咳痰1天”被120紧急送入瑞金医院嘉定院区急诊。急诊检查显示甲流阳性,指脉氧仅54%,病情迅速恶化并出现昏迷,PCO2高达12.0 kpa,CT显示肺部呈现“白肺”。在温珍亮医师的陪护下,患者经气管插管后入住重症医学科。

结合患者病史、实验室及辅助检查,患者被明确诊断为甲型流感病毒导致的社区获得性肺炎(重症)、急性呼吸窘迫综合征(重度)以及多器官功能障碍综合征(累计5个器官)。温珍亮医师迅速向重症医学科主任陈德昌及刘娇主任医师汇报了病情,一致决定采用VV-ECMO作为改善低氧和高碳酸血症、让肺部休息的最有效关键措施。
汪涛医师和温珍亮医师成功置管,同时黄焰霞医师也迅速完成了预充,半小时内成功启动了VV-ECMO。在刘娇主任医师、汪涛和陈一竹主治医师的精心制定下,患者接受了包括ECMO管理、保护肺通气策略、俯卧位休息、感染灶控制、右心保护、血流动力学监测、镇静镇痛、容量管理及器官功能支持等在内的精细化管理策略。顾芸芬护士长带领的护理团队也配合医生进行了严格的院感防控。
经过9天的治疗,患者肺部感染逐渐得到控制,氧合指数逐渐改善,成功撤离了VV-ECMO。12天后,患者成功脱机拔管,过渡至无创呼吸机。经过17天的诊疗后,患者终于成功转出重症监护病房。
心脏停搏,VA-ECMO显奇效
同样是2024年末的一天,瑞金医院嘉定院区重症医学科医生办公室再次响起了急促的电话铃声。当班的温珍亮医生接完电话后立即严阵以待,麻醉科医生告知手术台上发生心脏骤停的患者已做完冠状动脉搭桥手术,即将从手术室转入ICU。虽然已经交班完毕,但黄焰霞医生仍主动留下来协助抢救。
50岁的患者李先生因“反复出现劳力后胸闷4年,病情加重1月”在心内科住院治疗。因冠脉造影检查发现冠脉三支病变严重,需要外科搭桥手术治疗。然而,术中李先生出现恶性心律失常,室颤持续无法缓解,经心外科医师积极心肺复苏、除颤等治疗后李先生仍难以转复窦性心律。心脏外科裘佳培医生立即建立体外循环,并持续心脏按摩。经过20分钟的努力,李先生终于转复窦性心律,并在体外循环支持下成功完成三根冠脉的搭桥术。
下午5时30分左右,病情危重的李先生术后转入重症医学科。团队立即进行了充分的血流动力学评估,发现患者处于严重心源性休克状态,左心收缩功能严重顿抑,乳酸进行性升高。嘉定院区重症医学科主任陈德昌、刘娇教授对此高度重视,决定先后予以IABP(主动脉内球囊反搏)、VA-ECMO进行循环辅助,并使用CRRT(连续肾脏替代疗法)维持内环境稳定。
治疗组长刘永安主任医师为李先生制定了精细化的器官功能保护策略。主治医生黄焰霞、张李迪在床边轮流值守,根据患者ECMO运转参数、心脏超声、血流动力学、脑氧、脑电及呼吸力学变化,不断调整优化治疗方案。护理团队也积极配合,专人专班守护,严格记录出入量和各项指标,预防院感的发生。

经过精心的治疗和严密的守护,患者1周后顺利撤离ECMO。血管外科孙羽东、朱广浪医生床旁修复了穿刺的血管,尽可能减少穿刺的并发症。12天后顺利撤离IABP,17天后拔除经口气管插管过渡至高流量氧疗。3周后,患者转回心内科普通病房。4周后,患者顺利康复走出医院。
什么是VV-ECMO、VA-ECMO
ECMO(体外膜肺氧合)是挽救患者生命的最后防线,分为VV-ECMO和VA-ECMO两种模式。VV-ECMO主要用于单纯呼吸衰竭患者,通过泵将静脉血引流至体外氧合后回注静脉系统,操作简单安全,主要提供呼吸支持;而VA-ECMO适用于循环衰竭的患者,将氧合后的血液注入动脉系统,功能强大,可同时提供循环和呼吸支持,但操作复杂,适用于病情更严重的患者。
守护在生死线上,瑞金医院嘉定院区重症医学团队用实际行动践行了重症人的责任与担当,成功救治了两例重症患者,充分展现了过硬的医疗技术及团队协作精神。患者家属送来锦旗“ICU: I care You”以表感谢,这正是医护人员日复一日、年复一年不离不弃、日夜守护的写照。他们用慈爱和医术温暖患者,提高生命质量,延长生命长度。2025年,团队将不忘初心,持续努力,加强医疗技术提高和团队建设,继续为危重症患者保驾护航,无论是VV-ECMO还是VA-ECMO,都将是他们挽救生命的重要手段。
撰 文丨陈一竹 张李迪
编 辑丨温兆琦
往期精选内容:

国家最高荣誉!上海交通大学医学院附属瑞金医院终身教授王振义院士获“共和国勋章”
