19岁大二学生倩倩(化名)是糖炒山楂的忠实爱好者。这种酸酸涩涩的味道很上头,每年山楂一上市,她必定会买来解馋。但最近,她被这酸甜开胃的山楂整进了医院。

01
1斤多山楂下肚,巨大“石头”塞满整个胃
医生:多喝可乐
近日,倩倩买了1斤多糖霜小山楂来吃,结果当天晚上就感到肚子痛。起初还勉强能忍受,可到了第二天,腹痛却越来越严重,疼得她直打滚,最后来到了杭州市第一人民医院门诊。
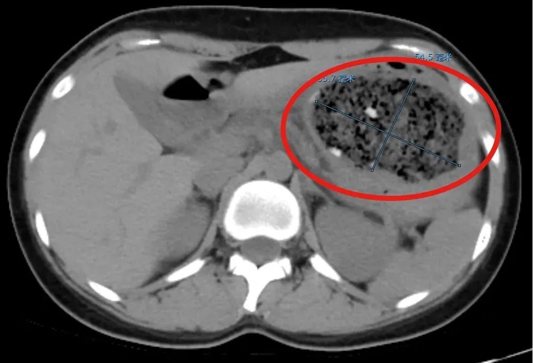
接诊的消化内科副主任杨晶简单问了病史后,给倩倩安排了腹部CT平扫检查,结果发现一个8.6cm×5.5cm左右的巨大的异物把她的胃塞得满满当当!

在进一步胃镜检查后,杨晶发现,倩倩胃里面的结石体积庞大,几乎不留什么空隙,这使得常规的异物圈套器无法施展。
为此,杨晶决定先用工具将结石分割成小块,但由于结石太多,如果直接一一取出,会对喉咙造成损伤,他选择让这些小块结石留在里面,并再三嘱咐倩倩,这几天多喝可乐。

根据医嘱,倩倩喝了两天的可乐,果然,四天后复查,检查结果显示,她胃内的结石已完全溶解消失。
02
不只是柿子!
很多食物都会引发结石
胃石并非仅限于“柿石”,其实只要富含“鞣酸”的食物,如香蕉、山楂等,在特定条件下同样可能形成结石,需引起高度警惕。

为什么可乐能消除结石呢?这是因为可口可乐含有大量二氧化碳,会产生膨胀效应,而磷酸、柠檬酸和碳酸氢钠,也会和结石中的钙等物质产生化学反应,破坏结石聚合,达到溶石的目的。
但注意,有胃石特别是合并溃疡症状的患者,不能盲目饮用可乐。因为可乐可能会造成溃疡的进一步加重,要在专业医生的指导下进行,并建议尽早去医院进行综合治疗。
03
注意健康饮食
不必“谈石色变”
今年门诊已经收到好几例类似的病例,每年到柿子、山楂上市的季节,更是高发。不过,不用过于恐慌,任何事情都不能抛开剂量讲毒性,产生胃结石的前提是大量食用。

因为“胃石”住院虽然惊险,但大多数预后良好。“只要有正确的饮食观念,在满足我们的口福同时,不必谈石色变。”
小贴士
●选择成熟的柿子或山楂等食物。
●注意摄入量,不可贪吃。
●避免高蛋白食物共同食用。
●消化功能差的人群要减少摄入,如老人、儿童要特别注意。
●进食后注意口腔清洁,避免鞣酸对牙齿造成损伤。
●如有不适及时入院就诊,千万不可听信偏方治疗。
编辑:李玲
资料:文汇报
*转载请注明来自上海杨浦官方微信