
2025元旦前,瑞金医院嘉定院区泌尿外科正忙着准备一台大手术。患者是位中年人,看似健康,但最近因血尿查出左肾有肿瘤。肿瘤虽小,却已深入肾脏,导致血尿。影像显示,肿瘤周围长了很多新血管,说明肿瘤恶性度高、长得快。更糟糕的是,肿瘤已侵入左肾静脉,形成了癌栓,并延伸到了下腔静脉,距离心脏仅1-2cm,情况非常危急。
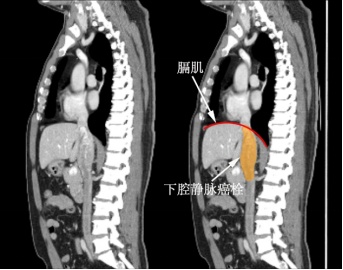
根据Mayo Clinic分级,患者癌栓处于Ⅲ-Ⅳ级交界,即超过肝静脉入口且接近膈肌。潘隽玮副主任医师阅片后,告诫患者保持平静,避免剧烈运动,以防癌栓脱落导致致命并发症。随后,潘医生安排了增强磁共振、血管CTA等精确检查,并在邵远主任的带领下与团队成员一起研究治疗方案。手术是首选,但Ⅲ级和Ⅳ级癌栓的手术方式不同,且部分Ⅳ级癌栓可通过膈肌途径处理,确认患者癌栓的分级成为制定手术方案的关键。邵远主任建议组织全院大会诊。

肿瘤及静脉癌栓等3D重建影像
医疗业务部组织了多科室专家会诊,包括泌尿外科、普外科、胸外科、放射科、麻醉科等,针对术中全肝血流阻断、下腔静脉切开后大出血及取栓等关键问题进行了深入分析。放射科王胜裕副主任读片后发现,癌栓顶端周围较游离,适合术中拖拽降低分期。最终,专家们制定了腹腔镜联合血管介入球囊的手术方案,并准备了体外循环下联合开胸手术的备选方案。心外科赵强副院长团队将为手术提供安全保障。潘隽玮医师团队则致力于全腹腔镜下完成手术,并完善了微创手术方案的细节。

术前增强磁共振矢状位影像
手术定于12月26日,术前,泌尿外科团队完成了用血申备等准备工作。手术当天,麻醉科董榕主任团队和手术室杨利英护士长团队派出了强大阵容,各相关科室专家均到场指导。在邵远主任医师的帮助下,潘隽玮医师主刀,采用联合入路,先离断左肾动脉及新生血管,游离出含癌栓的左肾静脉。随后进入关键的下腔静脉癌栓切除阶段。泌尿外科团队离断了多条静脉,游离出右肾动脉及静脉,在普外科医师指导下显露肝静脉入口。

术中经食道超声影像
麻醉科副主任医师沈子珒通过超声探查发现分离层面未到癌栓顶端。在胸外科陈中元主任医师、陈学瑜副主任医师指导下,潘隽玮切开膈肌,分离至癌栓顶端。普外科医师又分离出第一肝门。血管准备完毕后,血管外科团队置入介入球囊,跨越癌栓并在右心房内展开。

潘隽玮副主任医师(右2)在全腹腔镜下
行下腔静脉癌栓切除术中
潘隽玮副主任医师逐一阻断下腔静脉各入口,叶靳华医师阻断第一肝门。在麻醉科超声监控下,冯家煊副主任医师用球囊封堵住下腔静脉出口。潘隽玮切开下腔静脉壁时,发现活动性出血,但泌尿外科团队加强阻断后,出血立即停止。

冯家煊副主任(左1)在放置下腔静脉球囊
随后,潘隽玮在球囊帮助下,将癌栓上部翻拽出来,叶医师顺势撤除第一肝门阻断,肝脏血流阻断时长控制在安全范围内。分离过程中,发现癌栓中下段与下腔静脉粘连,潘隽玮耐心剥离,并完成下腔静脉壁修补。撤除阻断后,检查切口无渗血,重要阶段顺利完成,手术室内气氛缓解。最后,手术团队切除肿瘤源头的左肾。

手术标本
术后,经过ICU孟玫副主任医师、邓云新医师团队精心调整,患者很快便转回泌尿外科病房。在泌尿外科护士长朱晓宁带领的护理团队悉心照料下,患者不久即下床活动,影像学复查见下腔静脉通畅,术后第12日便顺利出院,患者及家属非常满意。

患者苏醒后,在ICU与女儿首次相见,两人的内心都激动不已。回顾整台手术,风险高且操作范围广。医院各相关科室齐心协力,对于Mayo Ⅲ-Ⅳ级交界水平癌栓这一高难度手术,勇于面对技术挑战,成功在腹腔镜、介入双微创技术下顺利完成手术,并实现了手术难度大但创伤缩小的目标,肩负起患者及家属的信任与重托。
文、编丨温兆琦
往期精选内容:

国家最高荣誉!上海交通大学医学院附属瑞金医院终身教授王振义院士获“共和国勋章”

今天,又一瑞金新技术平移!
