寒冬时节,进入脑血管疾病高发期。近日,年仅51岁的纪先生(化名)在工作中突然出现右侧肢体瘫痪、言语不清,周围的同事发现后立刻拨打120急救电话,将其送往附近的上海市中医医院。
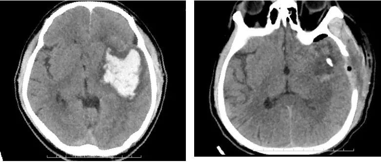
接诊后,医院急诊科迅速联系神经外科医生并立即启动了绿色通道,第一时间对患者进行了全面而精准的检查评估,确诊为高血压脑出血,头部CT报告显示出血量超过了60毫升,病人危在旦夕。
神经外科团队立即为患者实施了颅内血肿清除手术治疗,在急诊科、神经外科、放射科、麻醉科、手术室等相关科室的高效配合下,为患者彻底清除了颅内血块,患者各项功能逐步恢复。经过几天的康复治疗,患者右侧偏瘫和言语障碍也几乎接近正常。

手术之前(左)和手术之后(右)对比
患者家属激动地表示:“看到他突然发病,我们觉得天都要塌了,他可是家里的顶梁柱啊!没想到现在恢复得这么好,真的像做梦一样。”
脑卒中俗称“中风”,是一种急性脑血管疾病。患者由于脑部血管突然破裂引起出血(脑出血)或因血管阻塞导致血液不能流入大脑引起缺血(脑梗死),造成脑组织损伤,可导致残疾甚至生命危险。脑卒中在我国居民死因中居第一位,也是成年人致残率最高的疾病。
上海市中医医院外六科(神经外科)杜秀玉主任介绍,脑卒中急性发作,救治的时间越快越好。医患通力合作,抓住关键的“黄金1小时”,不仅能大幅度减少创伤患者的早期死亡,也能明显降低创伤后各类并发症发生率,明显提高患者生存率。
杜秀玉提醒广大市民,冬季是脑血管疾病的高发季,尤其是患有高血压等基础疾病的人群,一定要注意按时规律服药,密切监测血压变化,远离不良的生活方式。一旦出现头晕、头痛、肢体麻木无力、言语不清、意识不清等异常症状,要立即就医,争取最佳的救治时机。