近日,70岁的陈老先生因腹腔肉瘤术后复发疼痛难忍,辗转前往上海市中医医院肿瘤六科(肿瘤介入科)就诊。
考虑到患者年龄较大、身体状况较差,无法耐受传统大手术,肿瘤介入科王伟昱专家团队通过详细的影像学评估,在与肿瘤临床医学中心、放射科共同讨论后,决定采用康博刀复合式冷热消融术为他治疗。

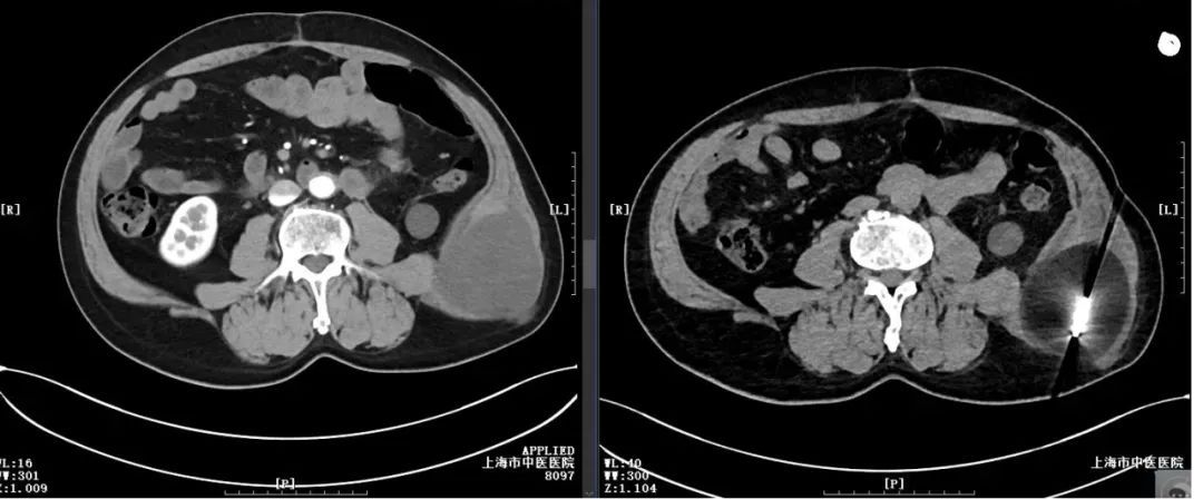
术前,根据影像所示肿瘤范围大小,共确定四个穿刺消融点。手术在镇静和局麻下进行,术中,王伟昱在CT的引导下,准确无误地将复合式冷热消融探针送达预定病灶位置。通过控制冷冻、复温循环,在术中CT监测下,产生的冰球不断增大直至冰球完全覆盖病灶。整个手术用时约70分钟,患者术中完全无痛感。
患者肿瘤部位疼痛立即消失,术后第二天,VAS疼痛评分由术前的6分降至0分;同时,消融术后予全身免疫治疗,联合中医药以增强整体抗肿瘤效果。3天后,陈先生顺利出院,出院前左侧腰腹部疼痛已经消失,达到治疗目的,提高了生活质量。

手术前后肿瘤对比(右图冰球已完全覆盖肿瘤)
王伟昱介绍,冷冻消融是近年来发展起来的一种新型肿瘤局部消融技术,与其它肿瘤局部治疗方法相比,具有治疗过程创伤小、出血少、无需麻醉镇痛等优点。其中,免疫效应是冷冻消融最具特色和优势的疗效之一,冷冻过程中,可引发机体强烈的肿瘤免疫原性反应,对于体内其它部位的肿瘤细胞(如转移灶)具有强大的免疫杀伤作用,配合PD-1抑制剂等免疫治疗具有极好的发展前景。
目前,该冷冻消融技术在肺癌、肝癌、肾癌、骨及软组织肿瘤应对领域都已取得了较好应用,可为患者提供更多个体化治疗以达到最佳治疗效果。