一个平常的工作日,一位坐在轮椅上的老先生在家属的陪同下,坚持带着锦旗来到奉贤区中心医院超声医学科,向王岚主治医师表达谢意。老先生紧握着王岚的手,激动地表示:“王医生,非常感谢你。因为你的细致检查让我及时发现了肿瘤,幸运地保住了我的肾脏。”

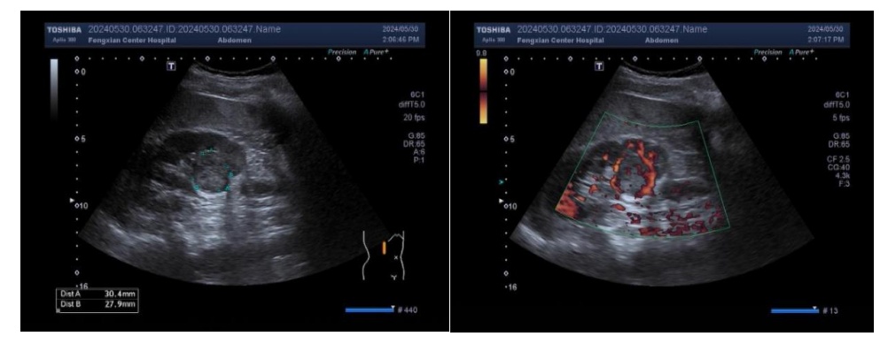
事情还要回溯至半年前。这位老先生姓钱,今年61岁。5月30日,钱先生因右下腹疼痛到区中心医院泌尿外科就诊。超声检查中,王岚发现钱先生的右肾有轻微积水,并在输尿管上端找到了引起尿路梗阻的结石。尽管引起钱先生腹痛的“真凶”已经找到,可“较真”的王岚仍对肾脏仔仔细细地扫查了一遍,意外地在右肾中下部发现了一个与正常肾脏组织极其相似的“可疑”团块。经过反复扫查比对,王岚确信这里藏着一个肿瘤,而且恶性的概率很大!

为了不耽误治疗,王岚第一时间将情况告诉了钱先生。看到钱先生焦虑不安,王岚耐心地向他解释了肾癌的治疗及预后,并宽慰他不必过于担心,尽早治疗。最终钱先生听取了王岚的建议,及时接受了进一步治疗,手术非常顺利,病理结果显示为肾透明细胞癌,且处于早期阶段(pT1aNx)。

通常情况下,早期肾透明细胞癌通常因为体积小,肿瘤回声与肾实质极其相似而容易漏诊,经造影检查下的检出率和诊断准确率较高。但王岚凭借其认真仔细的专业态度,敏锐地发现了早期肿瘤,帮助钱先生成功保住了右肾。
肾透明细胞癌是肾癌中最常见的类型,起源于肾实质泌尿小管上皮系统的恶性肿瘤。
其早期症状不明显,往往通过体检或者B超、CT检查时偶然发现肿块。晚期肾癌可出现血尿、腰痛、腹部肿块,称为肾癌“三联征”。
定期健康体检。对于可疑肿块进一步检查:超声造影或者CTU、MRI。超声造影可以更清晰显示灰阶超声难以显示或不能明确的小肾癌,透明细胞癌一般高增强快进快退,假包膜的环形增强为特征性表现,不均匀增强,可以更容易发现坏死区,提高诊断准确率。
报送:沈群(区卫健委)
编辑:夏阳
往期精彩回顾
海湾镇2024年十大实事工程完成情况来啦!您最满意哪项?
喜报!海之花青少年活动中心荣获2023年度上海市白玉兰优质建设工程
与你的生活密切相关!2024年金海街道“十项民生实事项目”进度条更新!
奉贤的绝美初冬!就藏在这些景色里→
找工作的看过来!柘林12月第三周岗位集锦