上海交通大学医学院附属新华医院核医学科最近接诊了一位愁眉苦脸的7岁小姑娘悠悠,悠悠妈妈跟我们说起小姑娘的烦心事儿:
大概一个多月前,悠悠突然开始小便明显增多,每天要上几十趟厕所,基本上40分钟就得去一次,晚上睡觉也要爬起来4、5次小便。
不仅如此,悠悠还总觉得口渴难耐,不停地要水喝,一个多月折腾下来,悠悠课上不好,觉也睡不好,很是痛苦。
悠悠的妈妈带她去当地医院检查,发现这种症状是精氨酸加压素缺乏症(AVP-D,旧称中枢性尿崩症)导致的尿崩症,但是引起这种尿崩症的原因有很多,大多是后天因素造成脑神经垂体无法正常的合成抗利尿激素导致,必须首先明确病因才能根治,解决悠悠不停小便的情况。
当地医院给悠悠做了脑垂体磁共振发现垂体上的确有一个约1厘米的肿物,但是这个肿物是什么来路?是不是恶性的肿瘤?是不是引起悠悠不停小便的真正罪魁祸首?医生说要手术取出来才能知道......
这可吓坏了悠悠妈妈,小小年纪就要给脑袋开个刀,还在这么重要的部位动手术,开出来能不能解决悠悠的问题?会不会出现什么更多可怕的后果?
悠悠妈妈越想越怕,带着悠悠来到上海新华医院儿神经外科就诊,新华医院儿神经外科医生了解到悠悠妈妈的担忧,在积极准备头颅手术的情况下,一边用药物对症改善悠悠频繁小便的症状,一边进行多学科MDT会诊,完善小朋友的检查,期望找到真正病因,让悠悠少受苦,让妈妈少担心。
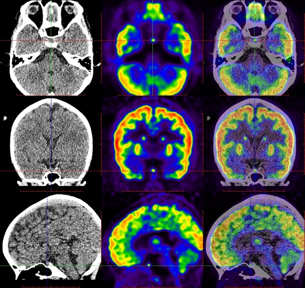
于是,新华医院核医学科第一时间给悠悠做了全身PET/CT检查,评估全身情况,垂体内肿物是否恶性肿瘤,全身其他部位还有没有累及。检查结果令大家大跌眼镜,原来悠悠不仅脑垂体有个FDG高摄取的肿物,她的右侧髂骨和左侧第10肋骨都出现了明显骨质破坏和FDG摄取增高。

图1:垂体隆起的FDG高代谢肿物

图2:左侧第10后肋(黄箭),右侧髂骨(白箭)骨质破坏伴FDG高代谢病灶
到底是垂体的恶性肿瘤
造成的骨多发转移,还是其他疾病?
PET/CT医生团队结合悠悠的病史和临床检查结果,认为悠悠脑垂体的肿物很可能是一种特殊的疾病——朗格汉斯组织细胞增生症(LCH)或非朗格汉斯组织细胞增生症。
在跟临床医生沟通后,建议取比较安全且容易获得的髂骨高代谢病灶处进行穿刺活检,明确病因。
医生在给悠悠的右侧髂骨病灶进行穿刺活检后,病理印证了这一猜测——非朗格汉斯组织细胞增生症。
非朗格汉斯细胞组织细胞增生症是一组起源于巨噬细胞的增生性病变,可累及全身多个组织器官,国内罕见报道。由于临床表现多为累及颅内相应部位导致的症状和体征,不具有特异性,因此确定诊断主要依靠病灶的组织病理学检查。
PET/CT全身检查可以及时发现除中枢神经系统以外的其他病灶,为临床医生找到更易实施、风险度小的活检部位,帮助临床更早、更及时的诊断、治疗。
之后,悠悠顺利从外科转入内科进行治疗,这次核医学科PET/CT中心给悠悠做的全身检查成功地让悠悠避免了一次不必要的开颅手术,让医生不再“盲人摸象”,通过一次性的解剖+功能显像了解全身情况,不遗漏任何病灶,精准定位穿刺活检部位,为悠悠明确诊断和后续治疗指引了正确方向。
作者:新华医院核医学科 王少雁
审校:新华医院核医学科 傅宏亮、陈素芸

