“有个年轻的脑外伤患者,右侧瞳孔已经散大了!”近日,上海市中医医院外六科(神经外科)杜秀玉主任医师接到急诊值班医生电话,一位患者因严重外伤致颅内出血、颅骨骨折,120送至该院时,情况不容乐观。
医院迅速启动绿色通道,5分钟内迅速开展CT检查,明确诊断,同步做好手术准备。期间,患者另一侧瞳孔也开始散大,时间就是生命,大家争分夺秒,拼尽全力挽救这条生命。
“千万要挺住啊!”手术室里,医护紧盯监护仪心里默念着。麻醉团队在最短的时间内完成麻醉工作,手术团队全力配合,仅仅20分钟就已经释放压迫脑部的血块,不到一个小时,手术顺利结束。患者瞳孔直径恢复正常,大家都长长地舒了一口气。

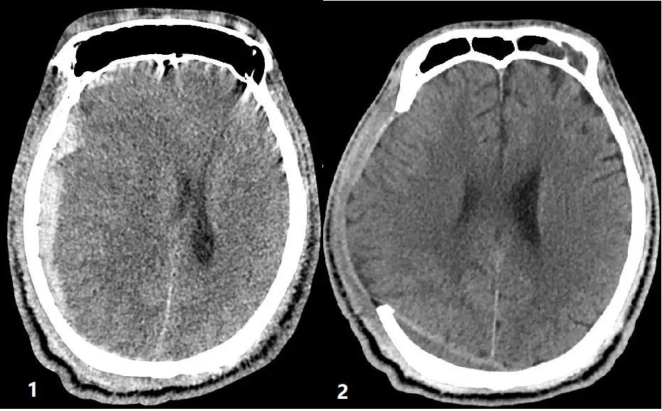
图片:手术前后头部CT对比
术后,患者被送往重症监护室,医护人员密切观察着各项生命体征和瞳孔变化,一夜平稳。第二天复查头部CT,颅内出血清除干净彻底,没有再次出血。第三天,患者苏醒并可以睁眼,还可以简单和医护人员交流。据悉,待患者病情稳定后,医院将开展针对性的中医调理和康复治疗,在医护人员的精心治疗下,患者逐步恢复。
“重型颅脑损伤患者早期病情变化急骤,颅脑损伤之后1小时称为‘黄金1小时’,若在短期内救治不及时,脑组织会出现不可逆的变化,可能会危及生命。”
外六科(神经外科)杜秀玉主任医师表示,院前急救、急诊室内的处理和院内治疗是救治重型颅脑损伤的三个重要环节,家属的配合程度、医院的响应速度是重要颅脑损伤救治的重要影响因素。医患通力合作,抓住关键的“黄金1小时”,共同努力挽救更多的生命。
记者:郁婷苈
编辑:梁慧
转载请注明来自上海静安官方微信