21岁的花季少女
本应该无忧无虑
来自福建的大学生小宁(化名)
却被腹部巨大肿物困扰
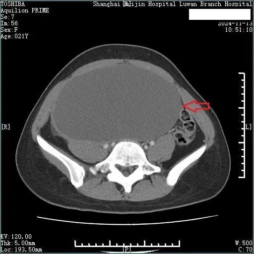
小宁5天前晚饭后突然上吐下泻,家里人以为吃坏肚子了赶紧送到了镇上的医院,结果令所有人大吃一惊,接诊医生发现小宁肚子如孕5月大小,可以摸到腹部巨大肿物,小宁说平时月经都正常,接诊医生安排她进一步检查,超声发现下腹部巨大肿瘤,大小23*15cm,当地医院告知其家属肿块巨大,可能是恶性的,无法手术处理。
这一消息让她家里人吓坏了,粗心的他们并没有意识到小宁的肚子这么大了,小宁自己也以为是胖了,她父亲因患胰腺癌早早地离开了,如今小宁的病情更是给这个家庭雪上加霜,家里人一致决定带小宁到上海的医院治疗,辗转间找到了上海交通大学医学院附属瑞金医院卢湾分院副院长王明亮教授。
王明亮教授接诊病人后通过仔细的病史询问及查体,当即将小宁收入病房,这给小宁还有家里人都吃了一颗定心丸。考虑到小宁还很年轻,若肿块是卵巢来源,很可能会影响生育功能。
为尽可能在最大限度保留生育功能的基础上切除肿瘤,王明亮教授团队联合妇科朱岚教授团队一起对小宁的病情做了评估,制定了详细的手术方案。术前CT评估显示中下腹部见巨大囊性肿块,大小为18.7*10.8*23.4cm。


在入院的第三天小宁接受了手术治疗,王明亮教授团队联合妇科朱岚主任团队精心设计了下腹部不到10cm的远小于肿块大小的切口,先对肿块进行抽液减压,抽出囊液约2400ml后再进行探查,肿块来源于右侧卵巢。完整剥离肿瘤并且保留了右侧卵巢,最大限度地保留生育功能。


妇科朱岚教授呼吁所有女性重视自身健康管理、定期全身体检,如遇到腹部隆起等情况,建议及时就诊,切勿讳疾忌医,延误诊疗时机。瑞金医院卢湾分院多科室携手共进,为女性的健康保驾护航,让更多的女性能够健康地工作和生活。
记者 / 邵林峰 瞿煌俊
编辑 / 陈露露
图片 / 邵林峰 瞿煌俊
转载请注明来自上海黄浦官方微信
1. 精彩回顾|2024思南赏艺会第四期:国乐童真
2. 黄浦各社区卫生服务中心12月全专联合门诊安排一览