异物进气管让人头痛,而人体因为炎症等原因自己生成的“异物”,同样也有致命危机……近日,上海市儿童医院呼吸科成功救治一名因肺部内生性异物造成呼吸衰竭的四岁患儿。
该患儿疑因重症肺炎被收治入院后发现“罪魁祸首”是其右上肺部内生的树枝样的异物——痰栓。在该院呼吸科内镜医护团队的合作下,仅用不到10分钟时间,即用支气管镜完整吸出右肺上叶长约5厘米的塑形痰栓。取出后第二天,患儿缺氧症状明显改善,一周后顺利康复出院。
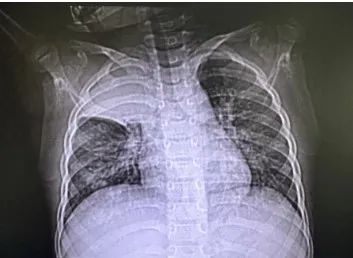
记者了解到,该患儿入院前三天突发咳喘,出现发热后前往上海市儿童医院呼吸科就诊。呼吸专科门诊医生胸片检查发现两肺纹理增多,右上肺高密度影,可能存在感染性病变;随即被收治入呼吸科病房。入院后患儿血氧饱和度最低仅89%,出现呼吸衰竭,紧急肺部CT检查发现右肺上叶影像完全消失,右肺少量胸腔积液。
呼吸科副主任顾浩翔第一时间检查患儿,并与家长沟通,告知病情危重且进展迅速,需进行电子支气管镜检查,明确右肺上叶影像消失的原因,同时做病原学检测。

患儿术前的影像
顾浩翔为患儿在全麻下做了电子支气管镜,术中发现右肺上叶开口处被白色痰栓完全填塞。痰栓指肺内或者气管里没有及时排出或者比较黏稠的炎性的分泌物堵塞在气道内形成的物质。
经呼吸科内镜团队讨论,最终使用较粗直径的(4.0毫米)支气管镜,经内镜下2.0毫米吸引孔,异物钳钳取联合负压吸引,取出两条长约5厘米,看上去就像短树枝一样的完整塑形痰栓。

取出的异物(痰栓)
取出痰栓后第二天,患儿病情明显缓解,缺氧症状消失,氧饱和度稳定于98%以上。随后抗感染治疗一周后复查胸片予以出院门诊随访。
顾浩翔介绍,患儿患的是塑形性支气管炎,为儿科急危重症之一,往往较常见于重症支原体感染,特点是气道的内生性异物造成广泛性支气管堵塞,影响肺的通气功能,严重者发生呼吸衰竭甚至危及生命。塑形性支气管炎起病急、进展快,可引起严重气道阻塞、呼吸困难,选择合适的支气管镜尽早取出塑形痰栓是治疗塑形支气管炎,避免呼吸衰竭最行之有效的方法,但完整取出塑形痰栓难度较大。
记者了解到,上海市儿童医院呼吸科是我国最早开展可弯曲支气管镜检查的儿童专科医院之一,同时也是全国首批儿科呼吸内镜培训合作单位之一。两院区科室共计床位数80张,为上海地区最大规模儿童呼吸专科。

自2006年开展支气管镜检查至今,累计完成儿童局麻及全麻下支气管镜三、四级手术超10000例,年均完成千余例支气管镜检查及治疗,包括儿童重症肺炎、深部支气管异物、中央气道狭窄、中央气道占位、食管气管瘘、先天性气道畸形、肺部间质性疾病、肺动脉吊带、咯血等高难度病种。
“在这里建议家长,一旦发现孩子突然出现发热不退、呼吸困难、面色发紫、烦躁不安等症状,应立即将孩子尽快送往医院救治,以免延误治疗危及生命”,顾浩翔表示。