在现代医学检查中,肺结节这个词汇越来越多地进入人们的视野。很多人在体检或因其他疾病检查肺部时,发现了肺结节,这往往会引起大家的担忧。那么,肺结节究竟是怎么回事呢?
肺结节的定义与分类
肺结节是指在肺部影像(如 X 光、CT 等)上呈现为直径小于等于 3 厘米的局灶性、类圆形、密度增高的肺部阴影。如果直径超过 3 厘米,就被称为肺部肿块。
从大小来看,肺结节可分为微小结节(直径小于 5 毫米)、小结节(直径 5 - 10 毫米)和大结节(直径 10 - 30 毫米)。一般而言,结节越小,良性的可能性越大。
按照密度区分,有实性结节、部分实性结节(混合性结节)和磨玻璃结节。实性结节在影像上显示为密度均匀的白色阴影;磨玻璃结节如同磨砂玻璃,呈半透明状;部分实性结节则兼具两者特点。其中,部分实性结节恶性的可能性相对较高。

磨玻璃结节、混杂型磨玻璃结节、实性结节
肺结节的形成原因
1. 感染因素
细菌感染:例如肺结核,结核杆菌在肺部引发炎症反应,可能导致结节形成,经过有效的抗结核治疗,这些结节有可能逐渐缩小甚至消失。
真菌感染:像曲霉菌等真菌在肺部滋生时,也会产生结节样病变。免疫力低下的人群,更容易因真菌感染形成肺结节。
2. 自身免疫性疾病
如类风湿关节炎、结节病等。在这些疾病中,人体自身免疫系统错误地攻击肺部组织,导致肺部炎症,进而形成结节。
3. 良性肿瘤
它是由正常组织在发育过程中错误组合形成的瘤样畸形,通常生长缓慢,对身体危害相对较小。
4. 恶性肿瘤早期
肺癌是与肺结节相关且令人担忧的疾病。肺癌早期往往表现为肺结节,特别是部分实性结节和磨玻璃结节。长期吸烟、有肺癌家族史、接触石棉等致癌物质的人群,发现肺结节时需更加警惕肺癌的可能性。

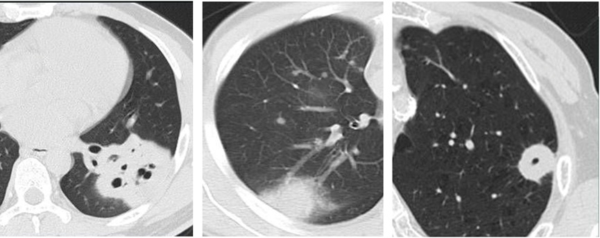
隐球菌、曲霉菌、结核杆菌引起的肺结节
肺结节的检查与诊断
1. 进一步检查的方法
- 如果发现肺结节,医生通常会建议进行更多检查来确定其性质。
- 对于怀疑感染性的结节,可能会进行痰培养、结核菌素试验等。
- 对于性质不明的结节,PET - CT 检查能够从代谢角度分析结节,如果结节代谢增高,恶性可能性较大。
- 支气管镜检查或者经皮肺穿刺活检也是获取结节组织进行病理诊断的重要手段。
2. 评估指标
- 结节大小与增长速度:这是两个重要的评估指标。通常结节越大,恶性可能性越高,而且结节逐渐增长也是恶性的表现之一。
- 结节密度与 CT 值:磨玻璃结节的密度及其量化指标 CT 值,能够反映结节内部的实性成分,密度不均或 CT 值较高的结节更需关注其恶性可能性。
- 结节形态与边界:良性结节往往形态规则、边界清晰;恶性结节可能形态不规则、边界模糊,还可能出现毛刺征、分叶征、空泡征等形态学特征。
- 结节与周围结构的关系:观察结节与周围血管、支气管等结构的关系,如血管集束征、支气管充气征等,有助于评估结节的恶性风险。
- 结节位置:尽管位置不直接决定性质,但不同位置的结节在手术和治疗上可能存在差异,需结合临床考虑。

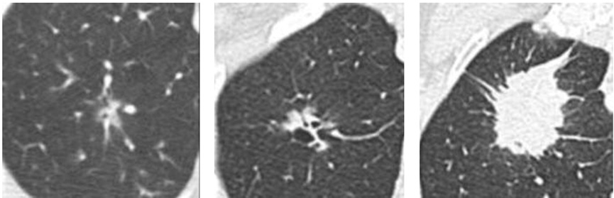
右上肺一枚磨玻璃结节随访过程中变成混杂密度磨玻璃结节(内有分叶、毛刺和空泡),最后进展为一实性肿块
肺结节的处理与治疗
1. 观察随访
对于较小的、考虑良性可能性大的结节,观察随访是重要的处理方式。例如微小结节可以 6 - 12 个月复查一次肺部 CT;小结节可能 3 - 6 个月复查一次。通过观察结节大小、形态、密度等变化来判断其性质。如果结节在一段时间内没有变化,良性的可能性就更大;如果结节逐渐增大或者出现形态改变,如边缘变得不规则、出现毛刺等,就需要更积极地处理。
2. 药物治疗
如果肺结节是由感染引起的,如细菌感染或真菌感染,针对性的药物治疗是有效的。肺结核患者需进行规范的抗结核治疗,常用药物有利福平、异烟肼等;真菌感染则需使用抗真菌药物,如伊曲康唑等。
3. 手术治疗
对于高度怀疑恶性或者已经确诊为恶性的肺结节,手术切除是主要治疗方法。目前,胸腔镜手术是常用的微创手术方式,具有创伤小、恢复快等优点。手术方式包括肺楔形切除术、肺段切除术和肺叶切除术等,具体手术方式需根据结节的大小、位置、性质等因素确定。
预防肺结节的方法
1. 戒烟:吸烟与肺癌的发生密切相关,烟草中的有害物质会损伤肺部细胞,增加肺结节和肺癌的发病风险。
2. 合理饮食:多吃蔬菜水果,富含维生素和抗氧化物质的食物有助于保护肺部健康。例如胡萝卜中的胡萝卜素、西兰花中的萝卜硫素等都具有抗氧化和抗癌作用。
3. 适当运动:有氧运动可以增强心肺功能,提高身体免疫力。每周进行至少 150 分钟的中等强度有氧运动,如快走、慢跑等是比较合适的。
4. 避免有害物质暴露:减少接触石棉、氡气等致癌物质。在工作环境中,如果存在石棉暴露风险,需采取防护措施,如佩戴防护口罩等。氡气是一种无色无味的放射性气体,在一些地下室或通风不良的房屋中可能存在较高浓度,需注意通风换气。
结语
肺结节虽然会引起人们的担忧,但大多数肺结节是良性的。发现肺结节后,应及时就医,按照医生的建议进行进一步检查、定期复查或适当治疗。同时,保持健康的生活方式对预防肺结节的发生至关重要。希望通过这篇科普文章,大家能对肺结节有更全面、科学的认识。