前来就诊时,徐奶奶的家人回忆,老人活动时不慎摔倒,右边髋部着地,当时她感觉髋部有剧烈疼痛,不能活动。在家中休息一段时间后,疼痛迟迟无法缓解,于是来到方塔中医医院骨伤科就诊。接诊医师经过仔细问诊、查体及影像学检查后,诊断徐奶奶为右股骨颈骨折,且断端错位。

髋关节作为人体的主要负重关节,骨折后往往导致患者需要长期卧床。然而长期卧床会提高肺部感染、褥疮、血栓等并发症的发生概率,对高龄患者的伤害更难治愈。骨伤科主任李宝林带领团队,针对徐奶奶的个人情况,进行周密的病例分析,并邀请心内科、呼吸科和麻醉科进行会诊讨论。李宝林认为,徐奶奶已有84岁的高龄,且具有高血压、腔隙性脑梗塞、慢性肺部感染等基础疾病。“虽然患者在受伤前生活尚能自理,但因为社区范围内的活动对于功能活动的需求量不高,还是需要综合考虑患者的情况。”李宝林说。


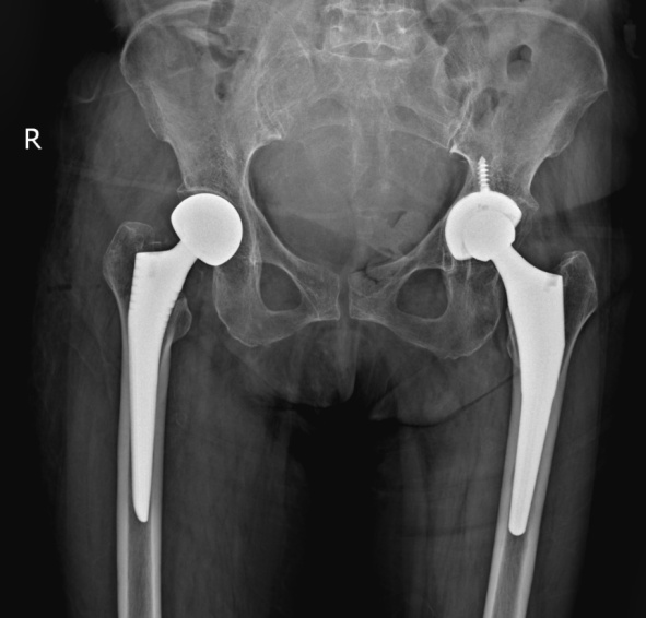
为此,团队想到了人工髋关节置换。其中,人工股骨头置换(半髋)较人工全髋关节置换手术时间更短,出血量更少,手术可以在麻醉医师团队的配合下进行局部麻醉,可以降低高龄患者的麻醉风险和手术意外,具有一定优势。此外,相较于股骨颈骨折空心钉内固定,术后患者不能下地负重行走,人工髋关节置换的患者则可以在术后早期、疼痛耐受的情况下进行地面活动,对于高龄患者是更优的手术方案,具有快速康复,减少术后并发症等优点。经过严密的讨论,手术团队最终制定了人工股骨头置换(半髋)的手术方案。
骨伤科团队与患者及其家属充分沟通病情,患者和家属同意接受手术治疗。手术团队仅用不到一个小时,顺利进行了右侧人工股骨头置换(半髋)术。目前,徐奶奶已康复出院。而在出院前,她已能够在助行器的辅助下进行走路练习,避免了骨折后因长期卧床引起的一系列并发症,对于改善创伤后的生活质量有很大帮助。
文字:李天蔚
图片:受访单位提供
编辑:周雨薇