01
言传身教 倾囊相授
朱斌
援滇医疗队队长

朱斌作为第六批援滇医疗队的队长,无论是在生活还是工作上,总是细心照顾着每一位队员。

在他踏入所帮扶的南涧县人民医院内二科的第一天,便被这个年轻、充满活力又积极向上的团队深深吸引。尽管科室的分科尚不够细致,影响了学习氛围,但朱斌依然满怀热情,决心与同事们携手共创一个更加团结进取的工作环境。


朱斌是一名血液内科专科医生,而南涧县人民医院内二科是由神经内科、血液内科、肾内科及心血管内科组成。经过深入调研,他利用大内科基础结合血液专科知识,制定出既具广度又有深度,且实用的授课计划,针对全院及科室、社区医护人员开展了一系列主题授课,这些授课内容详实丰富,深受大家喜爱。在他的建议下,科室制定了每周二早上业务学习计划,随着业务学习的深入开展,科室的学术氛围越发浓烈。


为更好地诊治血液病患者,朱斌还积极培养血液科亚专业医生。因此,他不仅在日常工作中悉心指导年轻医生,还通过各种培训和学习机会,帮助他们不断提升专业水平。只要血液病患者病情变化或者全院血液科会诊有疑问,不管是晚上还是休息日,朱斌都会随时待命,为年轻医生的成长提供帮助。


02
循循善诱 诲人不倦
郑丽妹
援滇医疗队副队长

副队长郑丽妹在南涧县人民医院消化内科(内分泌代谢科)开展帮扶工作。在临床护理工作的二十多年间,消化内科和内分泌代谢科也是她工作时间最长的科室。通过交流和调研,她专门制定了针对性的培训计划,为科室护理人员开展了一系列专科培训,详实的内容使科室护理人员在临床工作中的专科健康教育能力有了质的提升。





同时,带教专科护士,围绕糖尿病饮食、运动、监测、药物、并发症、胰岛素规范注射、动态血糖监测、胰岛素泵护理等方面,提高专科护士业务能力,开展课堂教育。手把手带教健康科普资料以及二维码的制作。开展叙事护理培训,提升护理人员人文素养及服务意识,推动护理工作更加贴近患者、贴近临床。
03
责任担当 携手并进
瞿 军

南涧县人民医院普外科是一个十分年轻的团队,热情友好,瞿军很快就融入了这个大家庭。只要他们需要,瞿军就尽全力将自己所学所会教给同事;当有疑难、危重病人需要会诊时,瞿军都会第一时间赶到;当手术需求帮助、指导时他尽心尽力。彼此在工作中不断相互学习,相互成长。




瞿军不仅在科室的小讲堂上毫无保留地分享理论知识和个人宝贵的实践经验,他还在手术示教中,同样毫不吝啬,耐心地为年轻医生们讲解每一个手术细节和重要的注意事项。他经常给予年轻医生宝贵的实操机会,指导他们完成手术,帮助他们在实践中不断成长,为他们初次手术保驾护航。




04
倾心相助 精准守护
汤建燕

汤建燕来到南涧彝族自治县人民医院放射科开展帮扶工作,她以虚心真诚的态度,与科室同事相互交流学习,并经过调研因地制宜制定了相应帮扶计划。工作中汤建燕发挥专业特长,积极开展业务培训和指导活动,每个工作日参与科室晨读片、指导年轻医师掌握常规影像诊断思路及要点;指导科内疑难病例读片,提升报告医师的影像诊断技能;定期加强科室人员业务学习,根据实际情况开展了直肠癌影像分期、肾脏肿瘤影像诊断小讲课,小讲课的内容让放射科人员“听得懂、记得住、学得会、用得上”,做到真正学以致用,并促进相关影像诊断报告的规范化书写。

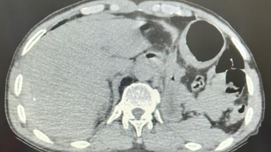
虽然是在医技科室开展援助工作,但作为医疗“侦察兵”的汤医生深知每一次精准的影像诊断都是对患者生命的尊重和守护。有一位患者因车祸伤来放射科进行胸腹部CT平扫检查,CT诊断为创伤性膈疝及肋骨骨折,但汤医生凭借其丰富的经验和敏锐的观察力,发现患者的肝脏外缘处有少许略高密度影及盆腔内血性积液,提示极大可能存在腹腔内脏损伤,该患者手术证实为局部肝破裂。汤医生的精准洞察不仅为患者及时解除病痛,更避免了潜在的严重并发症,充分展现了放射科医生在医疗团队中的重要角色,也为当地医生树立了榜样。




05
以身作则 教无止境
范宏佳

范宏佳在南涧县人民医院检验科开展工作,通过与科室人员交流及现场查看工作流程,制定了适宜的帮扶计划。通过与信息科、Lis系统厂家、仪器厂家的多方沟通,结束了需要手工抄写仪器结果、手工录入Lis系统的历史,减轻了人员工作量的同时避免了因此产生的错误报告。每日复核检验报告,及时拦截错误报告的发布,分享对疑难标本的处理方法,提高报告的准确性,使危急病人得到及时救治的同时也避免了部分病人受到错误的诊治。





在日常工作之余,范宏佳收集检验科实际工作中发生的问题,有针对性地开展业务学习,加深了检验人员对相应问题的重视程度,提升了检验质量。在帮扶南涧县人民医院检验科的同时,范宏佳下到基层,至碧溪、小湾东、公郎、拥翠等卫生院检验科进行指导生物安全工作,规范检验操作规程。




•
自入驻以来,奉贤区中心医院援滇医疗队凭借精湛的医疗技术和无私的奉献精神,迅速融入当地医疗工作,通过一系列创新举措和高效服务,提升了南涧县的医疗服务水平。
在接下来的三个月,医疗队将进一步融入当地医院,继续深入社区,开展健康科普教育,努力提高居民的健康意识,继续为当地医疗事业发光发热。
报送:沈群(区卫健委)
编辑:夏阳
往期精彩回顾