于先生今年60岁,患糖尿病多年,平时血糖控制不佳。左眼视力下降2年、骤降1周后,到同济大学附属同济医院眼科就诊。门诊医师检查发现,于先生左眼仅能看见物品在眼前晃动(手动视力),玻璃体内大量积血,视网膜已看不清,而右眼视网膜前已见增殖膜形成,散在出血点及渗出,确诊为双眼糖尿病性视网膜病变增殖期。
随后,同济医院眼科团队为其制定了手术方案:左眼玻璃体切割术+玻璃体硅油填充+视网膜激光光凝术,由于糖网病较为严重,术中视网膜血管渗血较多,故施行硅油填充,压迫出血点,并进行了充足的视网膜激光光凝,减少血管渗漏、封闭视网膜内异常的血管。术后于先生定期规律复诊,左眼眼底情况平稳。在3个月后,医生为于先生进行了左眼硅油取出术,将硅油最大程度取净,视力手动提升至0.05。

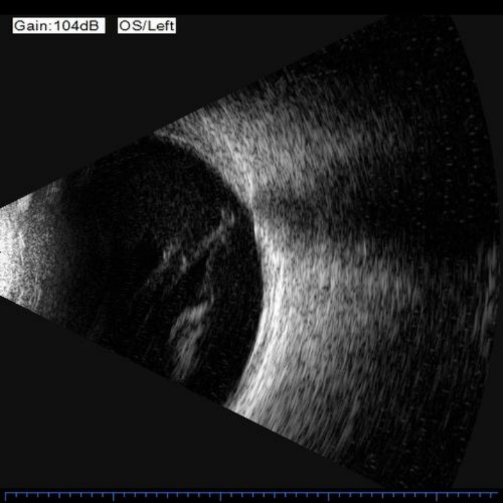
左眼术前B超图像,玻璃体积血

左眼玻璃体积血已清除,填充硅油状态
糖尿病视网膜病变(糖网病)是常见的糖尿病慢性并发症之一,也是导致成人失明的主要原因之一,严重威胁着糖尿病患者的生存质量,带来严重经济负担。主要危险因素包括高血糖或明显血糖波动、高血压、高血脂、糖尿病病程长、糖尿病肾病、肥胖等。主要临床表现为视网膜微血管瘤、视网膜内出血、血管迂曲和血管畸形,视网膜毛细血管闭塞、黄斑水肿等,导致不同程度的视力下降。
其实像于先生这样的糖尿病性视网膜病变患者并不在少数,往往出现了严重的视物问题才至医院就诊,正确的做法是一旦确诊糖尿病,就需要定期检查眼底,并做到每年随访1次,根据眼底情况及时进行治疗干预,尽量延缓疾病进展。如果就诊时已经出现了严重的糖尿病性视网膜病变,需要手术治疗,这时也不必过于惊慌,术中彻底地清除玻璃体积血、增殖膜,联合视网膜激光光凝可以有效的控制病情发展;若合并糖尿病性黄斑水肿,可以叠加玻璃体腔抗VEGF药物的使用,术后视力也可以处于平稳的状态。对于糖尿病性视网膜病变,糖友们切不可掉以轻心,控制血糖、定期随访都十分关键!

眼科主任
主任医师、教授
博士研究生导师、
德国雷根斯堡大学博士
德国科隆大学博士后
专家门诊:周一下午、周四上午
特需门诊:周三上午
担任德国眼科学会会员、美国眼科学会会员、教育部高等学校教学指导委员会眼视光专业分会委员、教育部高等教育教学专家、同济大学眼科研究所常务副所长、上海市医学会眼科分会眼底病学组副组长、上海市免疫学会眼免疫专业委员会副主委、全国智能医学专委会常委、全国智能眼科学会副主委、中国整形美容协会海峡两岸分会眼整形专委会副主委、上海市社会医疗机构眼科专委会副主委、中国医学装备协会眼科专委会委员(屈光不正防治学组副组长)等全国二三级以上学会委员职务20余项。全国白求恩式好医生、教育部新世纪优秀人才、上海市卫生系统优秀学科带头人、上海市“星光计划”创新之星、上海市优秀青年教师、同济大学师德师风优秀教师、同济大学倪天增教育教师、同济大学育才奖励教师、同济大学攀登高层次A类人才、上海市普陀区高层次A类人才、第八届医学家年会“十大医学贡献专家”等。以第一和通讯作者发表论文200余篇。
临床专长:眼科疾病诊治:1、眼后段:玻璃体视网膜手术(糖尿病视网膜病、增生性玻璃体视网膜病、视网膜脱离、视网膜中央动脉阻塞显微注射溶栓、玻璃体出血、黄斑前膜、黄斑孔、视网膜下手术等);2、眼前段:复杂白内障手术(如角膜移植后白内障、高度近视白内障、青光眼白内障、新生血管青光眼等)、角膜移植(如深板层角膜移植、穿透性角膜移植、角膜内皮移植等)、青光眼手术等;3、眼整形美容(独创微创重睑术、切开法及埋线法重睑术、眉部及眼袋手术等)。
网上预约挂号

眼科主治医师
同济大学眼科学博士
中国中医药信息学会中医临床药学分会常务理事,中国整形美容协会海峡两岸交流分会委员,眼底病人工智能研究编委,上海市及普陀区青年讲师团讲师,普陀区、崇明区及同济大学儿童青少年近视防控宣讲团讲师,共青团同济大学附属同济医院第十届委员会委员。
荣誉:主持上海市局级项目2项,作为主要参与人申报科研课题20余项,获发明专利1项,实用新型专利申请10项。带领团队获得上海市卫生健康行业青年五四奖章。获上海市优秀住院医师,优秀团干部,优秀志愿者,优秀教育管理者等多项医、教、研荣誉称号。
擅长:儿童近视防控, 斜视弱视诊治,接触镜验配,视疲劳及视觉康复治疗等。熟练掌握常见眼表及眼底疾病的诊治。开展白内障超声乳化术、微创斜视手术治疗等眼外科显微手术。
图文|眼科
编辑|陈轩
责任编辑|谢壮丽