
什么是特殊染色?
常规使用的HE染色,只有苏木素蓝(染细胞核)和伊红(染细胞质和膜)红蓝两种颜色;特殊染色拥有更加丰富的色彩,这种染色方法,又叫组织化学染色,能把细胞内外不同的特殊化学物质直接显示出来。
特殊染色能染什么?
特殊染色应用范围广泛,通过特殊染料不仅能够以不同颜色显示纤维结缔组织、肌肉组织、神经组织、血液和淋巴组织、骨和软骨组织(这些组织在常规HE染色中只呈现红蓝两色),还可以着色于脂质、糖类、蛋白质和核酸、色素、淀粉样物、无机物、神经内分泌颗粒和其他细胞器、病原微生物等。
特殊染色有什么意义?
特殊染色能够显示无法通过常规染色观察的细胞结构或组织成分,有助于组织或细胞病变的鉴别,为诊断和治疗提供更加准确的信息。例如:网状纤维染色用于癌和肉瘤的鉴别诊断;弹力纤维染色用于观察肺癌是否侵犯胸膜,协助肺癌TNM分期;抗酸染色用于寻找组织中的结核杆菌;PAS染色用于真菌感染的诊断与鉴别诊断等。
下面将通过图片
带大家进入这个显微镜下的万花筒世界

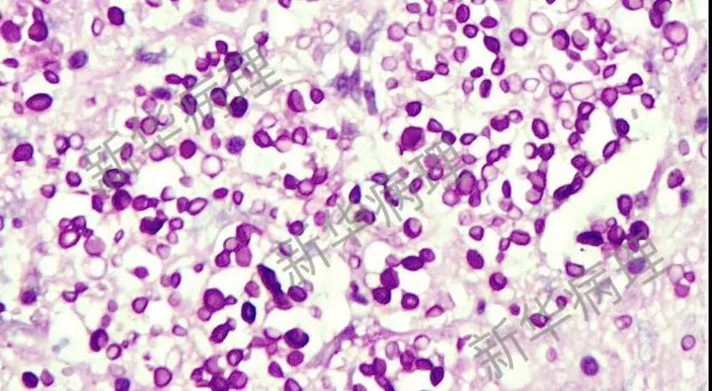
肺部感染的新生隐球菌(PAS染色)

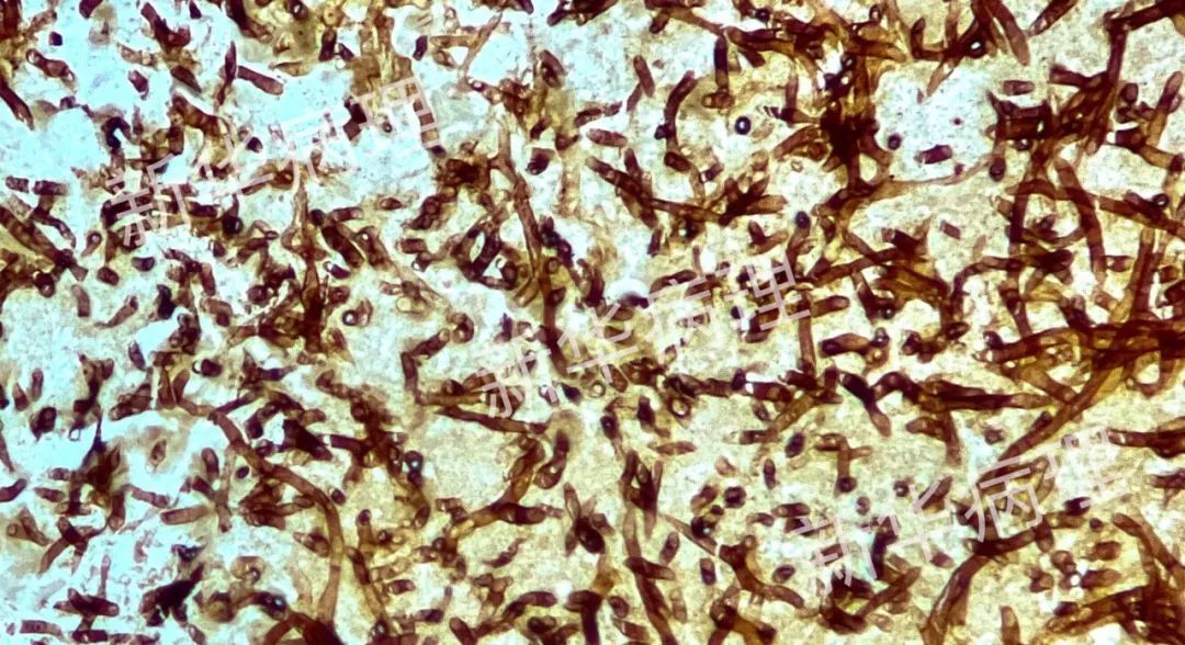
真菌(PASM染色)

幽门螺杆菌(W-S染色)

抗酸杆菌(Ziehl-Neelsen染色)

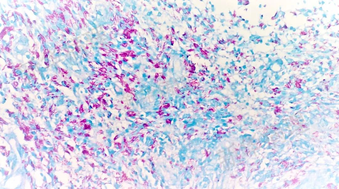
网状纤维(网状纤维染色)

弹力纤维(地衣红染色)

弹力纤维(维多利亚蓝染色)

胶原纤维(天狼星红染色)

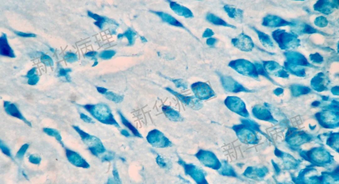
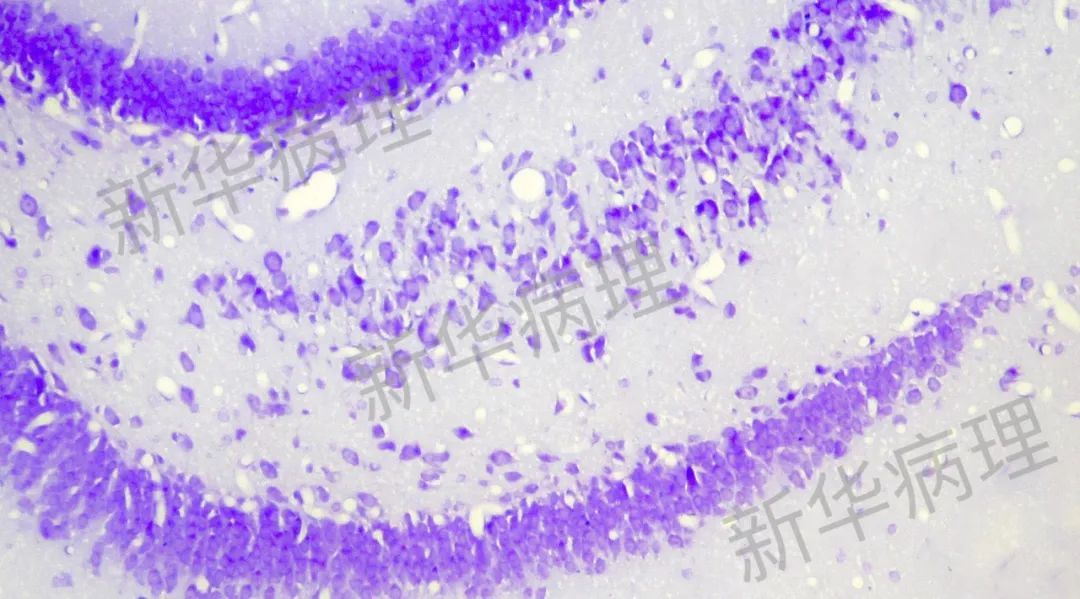
神经节细胞尼氏小体(甲苯胺蓝色染色)

神经节细胞(焦油紫染色)

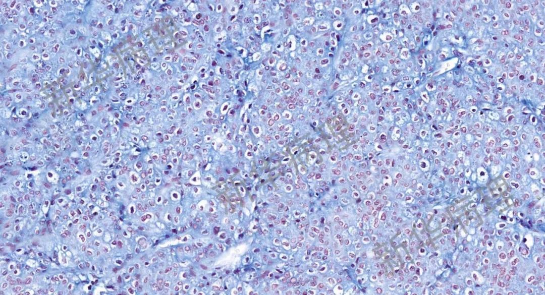
嫌色细胞型肾细胞癌(胶体铁染色)

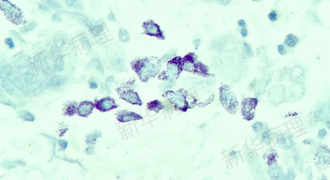
嗜铬细胞(硫堇染色)

中性及酸性黏液(AB-PAS)
科室介绍